Foram encontradas 2.178 questões.
Uma paciente do sexo feminino, 42 anos de idade, foi submetida
ao transplante de medula óssea devido linfoma.
Foi documentado que houve infecção pregressa por citomegalovírus. Receptores de alto risco, soropositivos para CMV que recebem transplante alogênicos são potencialmente susceptíveis e devem receber profilaxia até o dia 100 após o transplante.
O medicamento de primeira linha mais indicado é
Foi documentado que houve infecção pregressa por citomegalovírus. Receptores de alto risco, soropositivos para CMV que recebem transplante alogênicos são potencialmente susceptíveis e devem receber profilaxia até o dia 100 após o transplante.
O medicamento de primeira linha mais indicado é
Provas
Questão presente nas seguintes provas
Paciente com 64 anos de idade, passando por momento de
divórcio, procura atendimento devido aparecimento de dor
lancinante, disestésica em região fronto-temporal direita,
acometendo também o olho e couro cabeludo ipsilateral em
típico trajeto do ramo do nervo oftálmico.
Dois dias após início da dor surgiu exantema com formação de vesículas em uma base eritematosa, febre, mal-estar, e sinais de infecção bacteriana superposta. Exames complementares revelaram leucocitose importante com desvio à esquerda (32.000 leucócitos 10% bastões). Creatinina 3,6 Ureia 142 (TFGe: 21.99mL/min). Cultura de swab da secreção mostrou Staphylococcus aureus sensível à amoxicilina+clavulanato. Foi firmado o diagnóstico de herpes zoster em ramo oftálmico. Optou-se por tratamento venoso com amoxicilina + clavulanato + sintomáticos.
Nesse caso, o tratamento específico mais indicado seria aciclovir venoso na dose 10 mg/kg a cada
Dois dias após início da dor surgiu exantema com formação de vesículas em uma base eritematosa, febre, mal-estar, e sinais de infecção bacteriana superposta. Exames complementares revelaram leucocitose importante com desvio à esquerda (32.000 leucócitos 10% bastões). Creatinina 3,6 Ureia 142 (TFGe: 21.99mL/min). Cultura de swab da secreção mostrou Staphylococcus aureus sensível à amoxicilina+clavulanato. Foi firmado o diagnóstico de herpes zoster em ramo oftálmico. Optou-se por tratamento venoso com amoxicilina + clavulanato + sintomáticos.
Nesse caso, o tratamento específico mais indicado seria aciclovir venoso na dose 10 mg/kg a cada
Provas
Questão presente nas seguintes provas
Um paciente com placas brancacentas na faringe fez coleta de
amostra que a cultura revelou tratar-se de Corynebacterium spp,
bacilo Gram-positivo irregular, pleomórfico, não esporulado, com
estruturas claviformes semelhantes a “letras chinesas” ou
“paliçadas”, produtora de uma toxina proteica, que é o principal
fator de virulência da doença, codificada pelo gene tox adquirido
através da lisogênese pelo fago β, que foram detectados também
pela técnica da reação em cadeia da polimerase (PCR).
A doença do caso relatado e o tratamento preconizado pelo Ministério da Saúde são, respectivamente,
A doença do caso relatado e o tratamento preconizado pelo Ministério da Saúde são, respectivamente,
Provas
Questão presente nas seguintes provas
O período de incubação da leptospirose é de 5 a 14 dias, com
variação de 2 a 30 dias. A doença pode se apresentar de várias
maneiras e se manifestar com uma ampla gama de sintomas
inespecíficos que podem estar associados ou não: febre, cefaleia.
calafrios, mialgia, vômitos, náusea, diarreia, dor abdominal,
tosse, icterícia, sufusão conjuntival e às vezes erupção cutânea.
Os sinais e sintomas são comuns a muitas doenças e, às vezes, o
diagnóstico é um desafio.
Pacientes não tratados podem desenvolver insuficiência renal, icterícia, dificuldade ou insuficiência respiratória, insuficiência hepática e meningite. Recente revisão publicada estima que são registradas, por ano, cerca de 60.000 mortes no mundo.
Nos casos de leptospirose grave (Síndrome de Weil), o antibiótico de escolha é
Pacientes não tratados podem desenvolver insuficiência renal, icterícia, dificuldade ou insuficiência respiratória, insuficiência hepática e meningite. Recente revisão publicada estima que são registradas, por ano, cerca de 60.000 mortes no mundo.
Nos casos de leptospirose grave (Síndrome de Weil), o antibiótico de escolha é
Provas
Questão presente nas seguintes provas
Uma Engenheira de Telecomunicações, 38 anos, atleta de
fisiculturismo, moradora de Florianópolis, Santa Catarina, foi
trabalhar no interior de Sergipe. Ao retornar para sua residência,
relatou que o quadro clínico se iniciou com manifestações
pruriginosas na pele, semelhantes a picadas de inseto, que
duraram cinco dias e melhoraram espontaneamente. Após sete
semanas, desenvolveu sinais/sintomas gerais que
compreenderam febre alta, mialgia, fraqueza, cansaço,
linfodenopatia, febre, cefaléia, anorexia, dor abdominal; diarreia,
náuseas, vômitos e tosse seca. Ao exame físico foi detectado
hepatoesplenomegalia. O hemograma revelou eosinofilia
elevada. Foram prescritos medicamentos de suporte e específico.
Foi aventada a hipótese de febre de Katayama. A febre de Katayama foi descrita pela primeira vez em 1847, na região de Katayama (prefeitura de Hiroshima, Japão). O relato original foi feito por Yoshinao Fujii (também transliterado como Fujii Kōchoku), que documentou os sintomas clínicos em pessoas que trabalhavam em campos alagados, observando febre, coceira intensa e inchaço abdominal logo após contato com água doce.
O diagnóstico e a medicação específica mais indicada para o caso são
Foi aventada a hipótese de febre de Katayama. A febre de Katayama foi descrita pela primeira vez em 1847, na região de Katayama (prefeitura de Hiroshima, Japão). O relato original foi feito por Yoshinao Fujii (também transliterado como Fujii Kōchoku), que documentou os sintomas clínicos em pessoas que trabalhavam em campos alagados, observando febre, coceira intensa e inchaço abdominal logo após contato com água doce.
O diagnóstico e a medicação específica mais indicada para o caso são
Provas
Questão presente nas seguintes provas
Um jornalista foi trabalhar em uma reportagem sobre
desmatamento na Amazônia. Ao retornar ao domicílio em São
Paulo, ele desenvolveu um quadro de icterícia, anemia
importante, febre alta, oligúria, vômitos persistentes
(inviabilizando alimentação, ingesta de água ou medicamentos),
sangramento gengival, cianose, prostração.
Foi admitido na emergência de um hospital com dor abdominal intensa devido ruptura espontânea do baço. Exames laboratoriais revelaram anemia grave, hipoglicemia, acidose metabólica, insuficiência renal e hiperlactatemia. Após esplenectomia, todos os cuidados e tratamentos de suporte indicados em unidade de terapia intensiva foram instituídos com melhora clínica. Na internação foi prescrito Artesunato por via endovenosa.
Nesse caso, o agente etiológico da doença é
Foi admitido na emergência de um hospital com dor abdominal intensa devido ruptura espontânea do baço. Exames laboratoriais revelaram anemia grave, hipoglicemia, acidose metabólica, insuficiência renal e hiperlactatemia. Após esplenectomia, todos os cuidados e tratamentos de suporte indicados em unidade de terapia intensiva foram instituídos com melhora clínica. Na internação foi prescrito Artesunato por via endovenosa.
Nesse caso, o agente etiológico da doença é
Provas
Questão presente nas seguintes provas
Um paciente do sexo masculino, com 56 anos de idade,
hipertenso, diabético e portador de insuficiência renal crônica em
tratamento conservador, procurou uma emergência hospitalar
devido ao aparecimento de icterícia (4+/6+), mal estar, náusea,
vômitos e inapetência. Exames laboratoriais revelaram
aumento das transaminases hepáticas, aumento das bilirrubinas
(BT 16, BD 9 BI 7) e anemia. Foi solicitado sorologia para HBV com
HBsAg positivo, anti-HBs negativo, HBeAg positivo, Anti-HBe
negativo.
Carga viral do HBV 10 x 106 cópias. O medicamento de escolha é
Carga viral do HBV 10 x 106 cópias. O medicamento de escolha é
Provas
Questão presente nas seguintes provas
Paciente com 73 anos de idade, morador de rua, usuário de
crack, etilista pesado e tabagista de longa data. Admitido na sala
vermelha de uma emergência com quadro de dispneia
(FR:31 irpm), saturação de O2 84% e hipoglicemia. Anasarca.
Extremidades frias e cianóticas. Relato de febre e perda ponderal
20%. Ao exame físico observou-se que o paciente se encontrava
em regular estado geral, emagrecido, hipocorado (2+/4+),
desidratado, taquipneico, Glasgow 14. Tosse não produtiva.
À ausculta pulmonar: murmúrios vesiculares reduzidos por
crepitações em bases bilateralmente. Abdome: plano, tenso,
bastante resistente à palpação globalmente. Peristalse débil.
Membros inferiores com edema (3+/4+) com cacifo positivo. AntiHIV negativo.
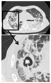
A seguir, está a imagem da tomografia computadorizada realizada.
O laudo da tomografia computadorizada do tórax foi: derrame pleural laminar bilateralmente. Sinais de enfisema centrolobular Cavitações de paredes espessadas no pulmão direito, uma delas apresentando formação nodular com densidade de partes moles no seu interior, medindo cerca de 1,1 x 0,9 cm, de aspecto pouco específico. Múltiplas opacidades centrolobulares esparsas por ambos os pulmões, assumindo configuração com aspecto de árvore em brotamento bilateralmente, associados a opacidades em vidro fosco na sua adjacência. Dentre os diagnósticos diferenciais deve-se considerar a possibilidade de processo infeccioso específico em atividade Espessamento difuso das paredes brônquicas. Traqueia e brônquios-fonte pérvios. Linfonodos proeminentes mediastinais e hilares, muitos calcificados. Aorta de calibre preservado. Calcificações vasculares. Coração de dimensões aumentadas.
Com base nas informações acima, e considerando as doenças mais prevalentes na população de rua no Brasil, as principais hipóteses diagnósticas seriam
A seguir, está a imagem da tomografia computadorizada realizada.
O laudo da tomografia computadorizada do tórax foi: derrame pleural laminar bilateralmente. Sinais de enfisema centrolobular Cavitações de paredes espessadas no pulmão direito, uma delas apresentando formação nodular com densidade de partes moles no seu interior, medindo cerca de 1,1 x 0,9 cm, de aspecto pouco específico. Múltiplas opacidades centrolobulares esparsas por ambos os pulmões, assumindo configuração com aspecto de árvore em brotamento bilateralmente, associados a opacidades em vidro fosco na sua adjacência. Dentre os diagnósticos diferenciais deve-se considerar a possibilidade de processo infeccioso específico em atividade Espessamento difuso das paredes brônquicas. Traqueia e brônquios-fonte pérvios. Linfonodos proeminentes mediastinais e hilares, muitos calcificados. Aorta de calibre preservado. Calcificações vasculares. Coração de dimensões aumentadas.
Com base nas informações acima, e considerando as doenças mais prevalentes na população de rua no Brasil, as principais hipóteses diagnósticas seriam
Provas
Questão presente nas seguintes provas
No Brasil diversos surtos de doença de Chagas aguda por
transmissão oral têm sido relatados, inclusive com óbitos.
Os alimentos mais relacionados a estes casos foram caldo de
cana, açaí e suco de acerola (colhidas de uma árvore próxima a
um galinheiro). Possivelmente triatomíneos foram triturados com
as frutas, contaminado o suco.
Os sinais e sintomas mais relatados foram febre e fraqueza, seguidos de mialgia, prostração, inapetência e edema de membros inferiores. Têm sido relatados também o exantema cutâneo, hemorragia digestiva (hematêmese, hematoquezia ou melena), icterícia, aumento das aminotransferases, além de quadros mais frequentes e mais graves de insuficiência cardíaca (miocardite, pericardite, derrame pericárdico e pleural, tosse, palpitações e arritmias). Fenômenos de enterite, abdome agudo, sangramento fecal, choque, hepatite focal podem ocorrer e têm significação prognóstica variada, devendo ser rotineiramente pesquisados e monitorados. Ressalta-se que a morbimortalidade é mais elevada na transmissão oral que a observada nos casos agudos por transmissão vetorial.
Para o tratamento da doença de Chagas, a droga de escolha é o benznidazol, sendo que o nifurtimox pode ser uma alternativa em casos de intolerância.
Em relação ao mecanismo de ação do benznidazol, é correto afirmar que
Os sinais e sintomas mais relatados foram febre e fraqueza, seguidos de mialgia, prostração, inapetência e edema de membros inferiores. Têm sido relatados também o exantema cutâneo, hemorragia digestiva (hematêmese, hematoquezia ou melena), icterícia, aumento das aminotransferases, além de quadros mais frequentes e mais graves de insuficiência cardíaca (miocardite, pericardite, derrame pericárdico e pleural, tosse, palpitações e arritmias). Fenômenos de enterite, abdome agudo, sangramento fecal, choque, hepatite focal podem ocorrer e têm significação prognóstica variada, devendo ser rotineiramente pesquisados e monitorados. Ressalta-se que a morbimortalidade é mais elevada na transmissão oral que a observada nos casos agudos por transmissão vetorial.
Para o tratamento da doença de Chagas, a droga de escolha é o benznidazol, sendo que o nifurtimox pode ser uma alternativa em casos de intolerância.
Em relação ao mecanismo de ação do benznidazol, é correto afirmar que
Provas
Questão presente nas seguintes provas
Paciente do sexo masculino, 44 anos, previamente saudável, foi internado com histórico de febre recorrente, anorexia, fadiga crônica, perda de peso, aumento da circunferência abdominal, epistaxe e edema podal, com evolução progressiva por cerca de um ano. Procurou atendimento médico em diversas ocasiões e em diversos serviços, mas sua doença permaneceu sem diagnóstico. Medicamentos sintomáticos foram prescritos, bem como suplementos de ferro e cobalamina para tratar pancitopenia. Seu quadro clínico progrediu lentamente para uma doença debilitante.
O exame clínico revelou um paciente desnutrido, com palidez, taquicardia, taquipneia, hepatomegalia (10 cm do rebordo costal direito), esplenomegalia (7 cm abaixo do rebordo costal esquerdo) e ascite. As avaliações laboratoriais mostraram hemoglobina de 8,6 g/dL (13,8-17,2 g/dL), contagem total de leucócitos de 1.200 por mm³ (4.000-10.000 por mm³), contagem de plaquetas de 9,9 x 10⁻³ por mm³ (15-45 x 10⁻³ por mm³), albumina de 1,7 g/dL (3,5-5,2 g/dL) e tempo de tromboplastina parcial ativada de 11,7 s (30-40 s), função renal preservada. Não havia evidência sorológica de hepatite B ou hepatite C. Sorologia para infecção pelo HIV foi reator, com contagem de linfócitos TCD4 146 células/mm3 e não havia histórico de doença hepática ou abuso de álcool.
O diagnóstico de Leishmaniose Visceral foi feito pela demonstração de parasitas compatíveis com Leishmania spp. em estágio amastigota no aspirado de medula óssea e na biópsia. A cultura do aspirado de medula óssea revelou formas promastigotas compatíveis com Leishmania spp.
Com relação ao caso acima descrito, para o tratamento de primeira linha (de acordo com o Ministério da Saúde Brasileiro), a droga de escolha é
O exame clínico revelou um paciente desnutrido, com palidez, taquicardia, taquipneia, hepatomegalia (10 cm do rebordo costal direito), esplenomegalia (7 cm abaixo do rebordo costal esquerdo) e ascite. As avaliações laboratoriais mostraram hemoglobina de 8,6 g/dL (13,8-17,2 g/dL), contagem total de leucócitos de 1.200 por mm³ (4.000-10.000 por mm³), contagem de plaquetas de 9,9 x 10⁻³ por mm³ (15-45 x 10⁻³ por mm³), albumina de 1,7 g/dL (3,5-5,2 g/dL) e tempo de tromboplastina parcial ativada de 11,7 s (30-40 s), função renal preservada. Não havia evidência sorológica de hepatite B ou hepatite C. Sorologia para infecção pelo HIV foi reator, com contagem de linfócitos TCD4 146 células/mm3 e não havia histórico de doença hepática ou abuso de álcool.
O diagnóstico de Leishmaniose Visceral foi feito pela demonstração de parasitas compatíveis com Leishmania spp. em estágio amastigota no aspirado de medula óssea e na biópsia. A cultura do aspirado de medula óssea revelou formas promastigotas compatíveis com Leishmania spp.
Com relação ao caso acima descrito, para o tratamento de primeira linha (de acordo com o Ministério da Saúde Brasileiro), a droga de escolha é
Provas
Questão presente nas seguintes provas
Cadernos
Caderno Container