Foram encontradas 2.178 questões.
Pré-escolar, quatro anos, feminino, apresenta história de dois
dias de febre alta, ardência para urinar e aumento da frequência
urinária. Exame de urina mostrou leucocitúria e urocultura
confirma crescimento de mais de 100.000 UFC/mL de uma única
espécie bacteriana. Foi terminado o tratamento com antibióticos
e, no momento, o pré-escolar retornou ao ambulatório sem
queixas e com exame físico normal.
A investigação diagnóstica por imagem deve ser iniciada por
A investigação diagnóstica por imagem deve ser iniciada por
Provas
Questão presente nas seguintes provas
Mulher de 45 anos, residente no interior da Bahia, há 1 ano vem
apresentando com quadro progressivo de fraqueza em membros
inferiores, associada à rigidez e espasticidade muscular e
distúrbios esfincterianos (urgência urinaria e constipação
crônica). Relata queixas de lombalgia e dificuldade de
deambulação, necessitando auxilio ao caminhar.
Nos últimos 10 dias, evoluiu com quadro de linfonodomegalia generalizada, hepatoesplenomegalia, derrame pleural, febre, mal estar, hipotensão, taquicardia, sudorese, configurando uma forma agressiva e de rápida evolução. Exames complementares apresentando linfocitose acentuada, elevação da lactato desidrogenase 9x o normal, aumento do cálcio sérico e leões cutâneas.
O técnico de laboratório contactou o médico assistente pois no sangue periférico haviam as células atípicas exibidas abaixo, e que definiram o diagnóstico da enfermidade da paciente.
O diagnóstico da doença em questão e o agente etiológico são, respectivamente,
Nos últimos 10 dias, evoluiu com quadro de linfonodomegalia generalizada, hepatoesplenomegalia, derrame pleural, febre, mal estar, hipotensão, taquicardia, sudorese, configurando uma forma agressiva e de rápida evolução. Exames complementares apresentando linfocitose acentuada, elevação da lactato desidrogenase 9x o normal, aumento do cálcio sérico e leões cutâneas.
O técnico de laboratório contactou o médico assistente pois no sangue periférico haviam as células atípicas exibidas abaixo, e que definiram o diagnóstico da enfermidade da paciente.
O diagnóstico da doença em questão e o agente etiológico são, respectivamente,
Provas
Questão presente nas seguintes provas
Uma mulher com 37 anos de idade, residente na zona rural de
Minas Gerais, apresenta crises convulsivas recorrentes de difícil
controle.
Tomografia computadorizada do crânio revelou múltiplas lesões calcificadas corticais e a ressonância Magnética mostrou lesões císticas viáveis com presença de escólex. Sorologia positiva para Taenia solium.
O hospedeiro intermediário e a terapêutica específica mais adequada são, respectivamente,
Tomografia computadorizada do crânio revelou múltiplas lesões calcificadas corticais e a ressonância Magnética mostrou lesões císticas viáveis com presença de escólex. Sorologia positiva para Taenia solium.
O hospedeiro intermediário e a terapêutica específica mais adequada são, respectivamente,
Provas
Questão presente nas seguintes provas
Uma mulher com 32 anos de idade relatou que há três semanas
atrás apresentou cefaléia, febre baixa, hemorragia conjuntival,
mal estar e mialgia, apresentou também exantema, os sintomas
melhoraram ao longo de 5 dias com uso de sintomáticos.
O teste para Zika vírus foi reagente. Procurou emergência de um hospital porque estava com fraqueza ascendente em membros inferiores, arreflexia e disautonomia. A eletroneuromiografia detectou diminuição da velocidade de condução nervosa e evidências de desmielinização segmentar (polirradiculopatia desmielinizante). LCR mostrou dissociação albuminocitológica (aumento de proteínas com contagem de leucócitos normal).
O diagnóstico mais provável e o tratamento indicado são:
O teste para Zika vírus foi reagente. Procurou emergência de um hospital porque estava com fraqueza ascendente em membros inferiores, arreflexia e disautonomia. A eletroneuromiografia detectou diminuição da velocidade de condução nervosa e evidências de desmielinização segmentar (polirradiculopatia desmielinizante). LCR mostrou dissociação albuminocitológica (aumento de proteínas com contagem de leucócitos normal).
O diagnóstico mais provável e o tratamento indicado são:
Provas
Questão presente nas seguintes provas
Homem de 60 anos, vítima de acidente automobilístico,
politraumatizado, encontra-se internado há 21 dias na UTI.
Desenvolve pielonefrite. A cultura revelou tratar-se de
Acinetobacter baumannii resistente a quase todos os antibióticos
(XDR), em especial carbapenêmicos. A. baumannii é considerado
um dos patógenos mais importantes causadores de Infecções
Relacionadas à Assistência à Saúde (IRAS), e está na lista de
patógenos prioritários do documento Global Priority List of
Antibiotic-resistant Bacteria To Guide Research, Discovery, And
Development Of New Antibiotics, da Organização Mundial da
Saúde, como microrganismo crítico, prioridade 1 para pesquisa e
desenvolvimento de novos antibióticos.
Nesse caso específico, assinale a opção que apresenta a classe do antibiótico a ser administrado como opção terapêutica.
Nesse caso específico, assinale a opção que apresenta a classe do antibiótico a ser administrado como opção terapêutica.
Provas
Questão presente nas seguintes provas
Em 1972, o pneumologista Richard W. Light publicou, no Annals
of Internal Medicine, um artigo que estabeleceu os “critérios de
Light” para diferenciar exudatos de transudatos no derrame
pleural. Até hoje é uma ferramenta simples e bastante utilizada,
principalmente em regiões onde não se dispõe de exames
complementares mais modernos e de maior custo. Compreender
a diferença entre exudato e transudato em derrame pleural é
uma ferramenta que orienta a hipótese diagnóstica, a decisão
clínica e tem impacto no tratamento dos enfermos.
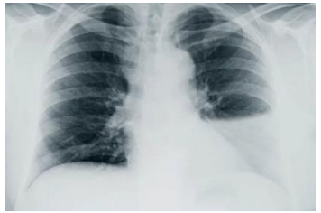
Analise a telerradiografia a seguir.
A telerradiografia de tórax acima é de um paciente do sexo masculino, diabético controlado, 45 anos de idade, que estava há uma semana com tosse produtiva, febre 39ºC, dor torácica à esquerda. Exames de sangue com os seguintes resultados: hemograma exibindo 14.480 leucócitos/mm3 , proteína C reativa 9,8mg/L, velocidade de hemossedimentação 80 mm/h, glicose 150mg/dL, lactato desidrogenase sérico 1.280 U/L, proteínas totais 14g/dL, ureia e creatinina normais.
O líquido pleural foi coletado e análise laboratorial revelou: líquido turvo, adenosina deaminase negativo, incontáveis polimorfonucleares, alguns mononucleares, proteína 9g/dL, glicose 40mg/dL, lactato desidrogenase 900 U/L.
Com base nessas informações, assinale a opção que melhor responde, respectivamente, às seguintes questões: o líquido pleural do paciente se caracteriza como exudato ou transudato? Qual o diagnóstico mais plausível e razoável? Como tratar?
Analise a telerradiografia a seguir.
A telerradiografia de tórax acima é de um paciente do sexo masculino, diabético controlado, 45 anos de idade, que estava há uma semana com tosse produtiva, febre 39ºC, dor torácica à esquerda. Exames de sangue com os seguintes resultados: hemograma exibindo 14.480 leucócitos/mm3 , proteína C reativa 9,8mg/L, velocidade de hemossedimentação 80 mm/h, glicose 150mg/dL, lactato desidrogenase sérico 1.280 U/L, proteínas totais 14g/dL, ureia e creatinina normais.
O líquido pleural foi coletado e análise laboratorial revelou: líquido turvo, adenosina deaminase negativo, incontáveis polimorfonucleares, alguns mononucleares, proteína 9g/dL, glicose 40mg/dL, lactato desidrogenase 900 U/L.
Com base nessas informações, assinale a opção que melhor responde, respectivamente, às seguintes questões: o líquido pleural do paciente se caracteriza como exudato ou transudato? Qual o diagnóstico mais plausível e razoável? Como tratar?
Provas
Questão presente nas seguintes provas
Trabalhar em uma emergência pública traz grandes desafios para
os médicos e demais membros da equipe de saúde, estão sempre
expostos a riscos biológicos e a adquirir germes patogênicos,
obviamente estas observações são extensivas à população em
geral que entram em contado com estes pacientes. Há urgente
necessidade de se estabelecer políticas públicas e criar
infraestrutura adequada para acolher e tratar estes enfermos, em
especial os mais vulneráveis e frágeis.
Analise as imagens a seguir.
As imagens acima foram obtidas por intermédio de Rx e tomografia computadorizada de tórax de dois pacientes: as imagens A e B são de um homem de 45 anos, morador de rua, alcoólatra, usuário de crack, vivendo com HIV em tratamento irregular e várias passagens na clínica da família sem segmento adequado, pois somente procura atendimento em unidade de saúde quando a falta de ar se torna intensa. Tanto o Rx quanto a tomografia de tórax exibem sinais de alta suspeição para tuberculose pulmonar.
As fotos C e D representam a tomografia de tórax de uma paciente com 35 anos, técnica de enfermagem, com tosse, febre e sudorese, mas que se automedicava com sintomáticos, até que resolveu procurar atendimento, observe que não está tão emagrecida quanto o outro paciente. O achado das cavernas em ápice (foto C) e a didática imagem em “árvore em brotamento” (foto B) são quase patognomônicas da tuberculose pulmonar.
Em ambos os casos, as amostras de escarro foram submetidas ao exame Xpert MTB/RIF (GeneXpert®) que é um ensaio de PCR (reação em cadeia da polimerase) em tempo real automatizado que detecta simultaneamente presença do Mycobacterium tuberculosis complexo e resistência à rifampicina. A detecção de fluorescência ao longo da reação de PCR confirma a presença do DNA de M. tuberculosis. Nestes casos, o paciente morador de rua apresentou resistência à rifampicina.
O teste amplifica segmentos específicos do gene que codifica a subunidade β da RNA polimerase. Ele utiliza sondas moleculares (“molecular beacons”) que se ligam a regiões altamente conservadas do gene.
Com relação à resistência à rifampicina, o seguinte gene é detectado pelo método:
Analise as imagens a seguir.
As imagens acima foram obtidas por intermédio de Rx e tomografia computadorizada de tórax de dois pacientes: as imagens A e B são de um homem de 45 anos, morador de rua, alcoólatra, usuário de crack, vivendo com HIV em tratamento irregular e várias passagens na clínica da família sem segmento adequado, pois somente procura atendimento em unidade de saúde quando a falta de ar se torna intensa. Tanto o Rx quanto a tomografia de tórax exibem sinais de alta suspeição para tuberculose pulmonar.
As fotos C e D representam a tomografia de tórax de uma paciente com 35 anos, técnica de enfermagem, com tosse, febre e sudorese, mas que se automedicava com sintomáticos, até que resolveu procurar atendimento, observe que não está tão emagrecida quanto o outro paciente. O achado das cavernas em ápice (foto C) e a didática imagem em “árvore em brotamento” (foto B) são quase patognomônicas da tuberculose pulmonar.
Em ambos os casos, as amostras de escarro foram submetidas ao exame Xpert MTB/RIF (GeneXpert®) que é um ensaio de PCR (reação em cadeia da polimerase) em tempo real automatizado que detecta simultaneamente presença do Mycobacterium tuberculosis complexo e resistência à rifampicina. A detecção de fluorescência ao longo da reação de PCR confirma a presença do DNA de M. tuberculosis. Nestes casos, o paciente morador de rua apresentou resistência à rifampicina.
O teste amplifica segmentos específicos do gene que codifica a subunidade β da RNA polimerase. Ele utiliza sondas moleculares (“molecular beacons”) que se ligam a regiões altamente conservadas do gene.
Com relação à resistência à rifampicina, o seguinte gene é detectado pelo método:
Provas
Questão presente nas seguintes provas
Paciente do sexo masculino, 19 anos de idade, recruta militar
recém-integrado em alojamento coletivo no quartel, comparece
na enfermaria com quadro de febre alta súbita (39,5 ºC), cefaleia
intensa, náuseas, vômitos e rigidez de nuca. No exame físico
observa-se sonolência, fotofobia, sinais de irritação meníngea e
exantema petequial difuso em tronco e membros. Nas horas
seguintes o paciente evoluiu com taquicardia (FC: 135 bpm),
hipotensão arterial (PA: 80 x 50 mmHg), extremidades frias,
tempo de enchimento capilar prolongado e sinais de choque
séptico.
Diante desse quadro, assinale a opção que apresenta a conduta imediata mais adequada, o mais provável diagnóstico e o agente etiológico envolvido.
Diante desse quadro, assinale a opção que apresenta a conduta imediata mais adequada, o mais provável diagnóstico e o agente etiológico envolvido.
Provas
Questão presente nas seguintes provas
Existem muitas lagartas venenosas, larvas de mariposas da Ordem Lepidoptera, que podem causar ferimentos graves aos humanos. As reações variam de dermatite urticariforme, reações alérgicas, insuficiência renal e osteocondrite a sangramento intracerebral.
Entre essas lagartas peçonhentas, a mariposa brasileira Premolis semirufa (família Erebidae), conhecida como pararama em seu estágio larval, habita seringais encontrados na floresta amazônica e produz uma manifestação clínica singular de envenenamento nos trabalhadores que coletam a seiva das seringueiras. Por ano são notificados cerca de 60 novos casos, em especial no estado do Pará.
A pararamose (periartrite falangeana associada à pararama) é uma doença causada pelo contato com cerdas finas urticantes das lagartas. Esse contato causa uma sensação intensa de coceira, seguida de sintomas de inflamação aguda. Após contato repetido com essa lagarta, o processo inflamatório torna-se crônico, levando à imobilidade articular que se caracteriza pelo espessamento da membrana sinovial articular com deformidades articulares semelhantes à artrite reumatóide.
Entre as opções a seguir, a mais eficaz no combate à pararamose seria a
Entre essas lagartas peçonhentas, a mariposa brasileira Premolis semirufa (família Erebidae), conhecida como pararama em seu estágio larval, habita seringais encontrados na floresta amazônica e produz uma manifestação clínica singular de envenenamento nos trabalhadores que coletam a seiva das seringueiras. Por ano são notificados cerca de 60 novos casos, em especial no estado do Pará.
A pararamose (periartrite falangeana associada à pararama) é uma doença causada pelo contato com cerdas finas urticantes das lagartas. Esse contato causa uma sensação intensa de coceira, seguida de sintomas de inflamação aguda. Após contato repetido com essa lagarta, o processo inflamatório torna-se crônico, levando à imobilidade articular que se caracteriza pelo espessamento da membrana sinovial articular com deformidades articulares semelhantes à artrite reumatóide.
Entre as opções a seguir, a mais eficaz no combate à pararamose seria a
Provas
Questão presente nas seguintes provas
A pneumocistose (PCP) é o quadro pulmonar mais
frequente em pacientes com aids e contagem de linfócitos
T CD4 < 200 céluals/mm3
. O Pneumocystis jirovecii foi
inicialmente classificado como um protozoário com base em suas
características morfológicas. Em 1988, uma análise da pequena
subunidade rRNA do Pneumocystis estabeleceu uma ligação
filogenética com o reino Fungi, e toda a informação genômica
subsequente corroborou a morfologia do Pneumocystis dentro
dos fungos actinomicetos.
Esses fungos respondem ao tratamento antimicrobianos antimetabólitos antagonistas do folato, especificamente uma associação de sulfonamida (sulfametoxazol) com inibidor da dihidrofolato redutase (trimetoprima). Entretanto, ao se iniciar o tratamento dos enfermos é frequente a piora paradoxal, com exacerbação dos sinais clínicos e agravamento do quadro.
Para evitarmos essa piora, deve-se associar ao tratamento antimicrobiano
Esses fungos respondem ao tratamento antimicrobianos antimetabólitos antagonistas do folato, especificamente uma associação de sulfonamida (sulfametoxazol) com inibidor da dihidrofolato redutase (trimetoprima). Entretanto, ao se iniciar o tratamento dos enfermos é frequente a piora paradoxal, com exacerbação dos sinais clínicos e agravamento do quadro.
Para evitarmos essa piora, deve-se associar ao tratamento antimicrobiano
Provas
Questão presente nas seguintes provas
Cadernos
Caderno Container