Foram encontradas 840 questões.
Diversos cenários clínicos podem resultar em graus variáveis de interação entre os sistemas cardiovascular e renal, com implicações terapêuticas e prognósticas significativas. Essa interação complexa resultou no desenvolvimento de uma classificação que contempla as diferentes situações fisiopatológicas em que a síndrome cardiorrenal pode ocorrer.
Neste contexto, considere as afirmativas a seguir.
I. A realização de coronariografia nos 5 dias que antecedem uma cirurgia cardíaca aumenta o risco de injúria renal aguda no pós-operatório.
II. Amiloidose sistêmica, cirrose hepática e sepse são potenciais etiologias de síndrome cardiorrenal tipo 5.
III. Idade avançada e sexo feminino são preditores de síndrome cardiorrenal tipo 1 em pacientes com insuficiência cardíaca aguda.
Está correto o que se afirma em
Provas
Atenção: use o caso a seguir para responder às duas próximas questões.
Homem de 64 anos, hipertenso e dislipidêmico, foi submetido à coronariografia eletiva via artéria radial direita, devido à angina progressiva aos esforços, refratária ao tratamento medicamentoso. Estava em uso de aspirina, atorvastatina, atenolol, anlodipina e mononitrato de isossorbida. O exame revelou duas lesões calcificadas de 80% no terço médio da artéria descendente anterior e 70% na região proximal da coronária direita. Foi submetido, no mesmo momento, à angioplastia com implante de 1 stent farmacológico em cada lesão. Duas horas após chegar na unidade cardiointensiva, o paciente evoluiu com rebaixamento do nível de consciência, palidez cutânea e PA: 78x40 mmHg.
O registro do ECG no monitor (A) e o ecocardiograma de urgência na beira do leito (B e C) estão dispostos a seguir.

Considerando o diagnóstico mais provável associado à piora clínica do caso anterior, assinale a opção que indica o que seria esperado encontrar no exame físico do paciente.
Provas
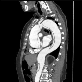
Observe a imagem.

Das condições a seguir, assinale a que não está geralmente associada à emergência cardiovascular visualizada na imagem.
Provas
Paciente no pós-operatório de cirurgia de troca de válvula aórtica eletiva, função ventricular com leve disfunção ventricular esquerda. Foi admitido na unidade de pós operatória em boas condições. Aproximadamente cinco horas após sua admissão, apresentou pressão arterial de 80 mmHg X 40 mmHg, pressão venosa central de 20 mmHg, frequência cardíaca de 120 bpm e em ritmo sinusal, a diurese de 20mL na última hora. Dreno de mediastino tubular 34, apresentou 100mL nas últimas três horas.
Nesse caso, o diagnóstico mais provável do problema é:
Provas
Atenção: use o caso a seguir para responder às duas próximas questões.
Homem de 42 anos, com obesidade, sem outras comorbidades conhecidas, procura atendimento de emergência devido a dor torácica súbita no hemitórax direito e dispneia. Nega uso de qualquer medicação e sintomas semelhantes previamente. Entretanto, refere internação recente devido à pneumonia por SARS-COV-2, com necessidade de oxigênio suplementar e tratamento com remdesivir e dexametasona. Permaneceu 7 dias internado e recebeu alta há 5 dias. Relata apenas duas doses da vacina contra a doença há 3 anos, composta por vírus inativado. Os sintomas atuais começaram hoje quando levantou da cama pela manhã.
Ao exame: Lúcido, orientado, acianótico, afebril, sem esforço respiratório em ar ambiente. FR: 26 irpm, FC: 120 bpm, PA: 110x60 mmHg, SatO2: 92%. MVUA sem RA, RCR 2T BNF, P2>A2, sem sopros ou turgência jugular. Abdome sem alterações. Membro inferior direito com edema 2+/4+ até o joelho e empastamento da panturrilha. O ECG de admissão está abaixo.

O exame mais adequado para seguir com a investigação diagnóstica é
Provas
Considere a descrição a seguir.
É um patógeno predominantemente Yin, tende a obstruir progressivamente as atividades funcionais do Qi. É pesada e turva por natureza, insidiosa e tende a descer e a atacar a parte inferior do corpo.
A descrição refere-se ao seguinte fator patogênico:
Provas
Paciente de 44 anos, diabético e hipertenso apresenta, no pós-operatório imediato de cirurgia cardíaca de revascularização do miocárdio, quando foram utilizados quatro enxertos sendo um com artéria torácica interna para DA (descendente anterior), dois de veia safena interna para DP (descendente posterior) da coronária direita e outro para ramo marginal da CX(artéria circunflexa) e um de artéria radial esquerda para primeiro ramo diagonal da DA.
Realizada com circulação extracorpórea, o paciente apresenta subitamente fibrilação ventricular, prontamente revertida com cardioversão, seguida de mais dois episódios de FV (fibrilação ventricular) na hora seguinte. O ECG (eletrocardiograma) apresentou, após a reversão desses eventos, ritmo sinusal e com supradesnivelamento de ST de V2 a V6 e piora da contratilidade do VE à ecocardiografia.
A melhor conduta nesse caso é:
Provas
Assinale a opção que correlaciona adequadamente o órgão Zang, os cinco elementos e a respectiva emoção associada.
Provas
A insolação é um evento potencialmente grave, associada à exposição excessiva ao calor. O acometimento do centro termorregulador pode resultar em hiperpirexia, insuficiência renal, discrasia sanguínea e disfunção do sistema nervoso central.
Neste contexto, assinale a afirmativa incorreta em relação aos efeitos cardiovasculares da insolação.
Provas
Entre as indicações do uso de suporte circulatório de contrapulsação aórtica com o balão intra-aórtico, a condição em que está contraindicado o uso desse método é
Provas
Caderno Container