Foram encontradas 749 questões.
Curvas de nível, entendidas como o lugar geométrico de todos os pontos que possuem a mesma cota ou altitude, são determinadas pelas interseções de planos horizontais equidistantes com a superfície do terreno. Em relação à equidistância, informe se é verdadeiro (V) ou falso (F) o que se afirma abaixo. A seguir, assinale a alternativa que apresenta a sequência correta.
( ) É a distância vertical constante entre os planos verticais sucessivos, que determinaram os pontos de passagem das curvas de nível representados na planta.
( ) Representa as distâncias verticais entre curvas de nível sucessivas.
( ) Depende do rigor com que se pretende representar o relevo do terreno e também da escala usada no desenho.
( ) Conforme a natureza do trabalho, ela já é prefixada.
( ) Em cartas batimétricas, que representa o relevo submarino, a equidistância varia de 1 a 2 metros perto da costa, até atingir valores de 500 metros.
Provas
Nos casos de próteses parciais removíveis com apenas seis elementos dentais remanescentes sendo eles 31, 32, 33, 41, 42 e 43 quanto à sua forma de moldagem, preencha as lacunas abaixo e, em seguida, assinale a alternativa correta. Deverá ser utilizada a técnica de moldagem sob compressão com a finalidade de captar a em seu estado de trabalho e, também, estabelecer os limites precisos da .
Provas
Segundo Misch (2008) , os primeiros molares são os dentes que primeiro sofrem perdas dentárias, sendo, geralmente, preparados para receber coroa total, porém a falha na restauração é a principal causa da perda dentária do indivíduo adulto. A indicação da utilização de implantes unitários nessas reposições justifica-se por, exceto:
Provas
Disciplina: TI - Redes de Computadores
Banca: DIRENS Aeronáutica
Orgão: CIAAR
Provas
Provas
Os aparelhos panorâmicos funcionam com o mesmo princípio, mas diferem em como o movimento rotacional é modificado para formar a imagem da arcada dentária. Assinale o princípio de rotação que produz imagens com maior grau de detalhes.
Provas
Sobre a função das bobinas receptoras menores ou bobinas de superfície utilizadas no exame de ressonância magnética, analise as afirmativas.
I. Aumenta o sinal da região examinada onde a bobina se localiza.
II. Diminui o tempo do exame.
III. Diminui a quantidade de ruído na imagem.
IV. Aumenta a quantidade de detalhes da região examinada.
Estão corretas somente as afirmativas
Provas
Provas
Disciplina: TI - Organização e Arquitetura dos Computadores
Banca: DIRENS Aeronáutica
Orgão: CIAAR
Protocolo é um conjunto de regras que governa a conversa entre duas partes. Uma pilha de protocolos é uma hierarquia de protocolos que trata de questões diferentes em camadas diferentes. O sistema PCI Express tem uma pilha de protocolos em camadas, com exceção da camada
Provas
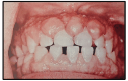
Observe a figura abaixo.

(Carranza et al. 2007.)
A condição apresentada é comum em pacientes que, além da inflamação gengival, utilizam alguns medicamentos. Qual é essa condição?
Provas
Caderno Container