Foram encontradas 55 questões.
Ao dispor sobre a ordem social e, mais especificamente, sobre a educação, a Constituição do Estado de Minas Gerais estabelece uma série de princípios que devem fundamentar o ensino.
Entre tais princípios, não se inclui a(o)
Provas
Questão presente nas seguintes provas
Em um experimento de química, um estudante colocou em um recipiente 500 mL de uma solução aquosa de hidróxido de sódio (NaOH) em uma chapa de aquecimento. O pOH da solução antes do aquecimento era igual a 2. Após um tempo, considerando que se evaporou apenas água, o pOH da solução se reduziu à metade.
Nessas condições, é correto afirmar que o volume, em mililitros, da solução que permaneceu no recipiente ao fim do experimento é igual a
Provas
Questão presente nas seguintes provas
La supervivencia al cáncer aumenta en todo el planeta, pero sobre todo para los pacientes ricos
Los autores del mayor estudio de la historia, con 37 millones de personas, denuncian una “oncoplutocracia”
Manuel Ansede 31/01/2018
El cáncer no es una sentencia de muerte. El mayor estudio hasta la fecha, con datos de 37,5 millones de pacientes en 71 países, revela un aumento generalizado de la supervivencia desde el año 2000. En España, por ejemplo, la supervivencia cinco años después del diagnóstico ha pasado del 56% al 63% en los pacientes de cáncer de colon y del 21% al 27% en los de tumores cerebrales. Y esta supervivencia a los cinco años prácticamente se puede considerar curación en muchos tipos de cáncer, según recuerdan los autores del trabajo, encabezados por la epidemióloga italiana Claudia Allemani.
Los investigadores han detectado mejorías incluso en los tumores de peor pronóstico. […]. “En todos los tumores que se han analizado ha habido una mejoría destacada de la supervivencia”, resume Rafael Marcos-Gragera, epidemiólogo del Instituto Catalán de Oncología y participante en el macroestudio internacional.
El trabajo, pese a los datos positivos, constata una “inaceptable” desigualdad en el acceso a los servicios médicos. La supervivencia a los cinco años de un cáncer de mama es del 90% en EE UU, frente al 66% de India. En Finlandia, más del 95% de los niños diagnosticados con leucemia linfoblástica aguda siguen vivos a los cinco años. En Ecuador, solo el 49,8%. “Hay que acabar con la oncoplutocracia, en la que los progresos en la lucha contra el cáncer solo benefician a los países y pacientes ricos”, exige el oncólogo Richard Sullivan, del King’s College de Londres, en la revista médica que publica hoy los nuevos datos, The Lancet.
El estudio internacional, bautizado Concord-3, analiza 18 de los tipos de cáncer más habituales. En la mayoría de ellos, las supervivencias más altas se registran en EE UU, Canadá, Australia, Nueva Zelanda y en los países nórdicos. El código postal sigue siendo más importante que el código genético en la salud pública. Por ejemplo, la supervivencia a los cinco años de un niño diagnosticado con un tumor cerebral es del 29% en Brasil, del 36% en México, del 41% en China, del 66% en España, del 78% en EE UU y del 80% en Suecia.
“Podemos utilizar el neologismo oncoplutocracia, creado por el profesor Sullivan, para resumir la idea de que los pacientes ricos tienen un mejor pronóstico y que las diferencias en el resultado de un cáncer son cada vez mayores, como también lo son las diferencias en los ingresos económicos, tanto entre unos países y otros como entre unos ciudadanos y otros dentro del mismo país”, denuncia la epidemióloga Claudia Allemani, profesora de la Escuela de Higiene y Medicina Tropical de Londres.
“Las disparidades en la supervivencia del cáncer entre diferentes grupos de población también existen en los países ricos, por ejemplo entre personas blancas y negras en EE UU”, subraya Allemani. Su equipo mostró hace unas semanas que la supervivencia a los cinco años de los pacientes de cáncer de colon en EE UU estaba relacionada con el color de la piel: era del 65% en el caso de los blancos y del 56% en el de los negros.
Allemani también pone el foco en otro problema: “Algunas de las nuevas terapias contra el cáncer son extremadamente caras y solo están disponibles para los más ricos de los países más ricos. Con estos precios, no son un producto sostenible para todos los pacientes, ni siquiera en los países más ricos”. La primera terapia génica contra el cáncer aprobada en EE UU, desarrollada por la farmacéutica Novartis contra un tipo de leucemia, cuesta unos 400.000 euros por paciente.
[…]
El epidemiólogo Miquel Porta cree que, más allá de aplicar tratamientos carísimos, es urgente “acelerar el camino que el paciente recorre desde que tiene síntomas hasta que se diagnostica”. El sistema sanitario está en peligro por “las políticas ultraliberales”, a juicio de Porta, catedrático de Salud Pública en el Instituto de Investigaciones Médicas del Hospital del Mar, en Barcelona. […]
Los autores del nuevo estudio hacen un llamamiento a las autoridades sanitarias de todo el mundo para que mejoren el registro de los pacientes con cáncer, “una herramienta clave” para medir la eficacia de un sistema sanitario. “En España no tenemos un registro nacional, como sí existe en los países nórdicos. Tenemos registros regionales que cubren solo el 30% de la población. Solo tenemos una fotografía parcial de lo que está ocurriendo”, lamenta el epidemiólogo Rafael Marcos-Gragera.
<https://elpais.com/elpais/2018/01/29/ciencia/1517264606_707249.html?rel=mas>
En “Los investigadores han detectado mejorías incluso en los tumores de peor pronóstico…”, el tiempo verbal expresa una acción:
Provas
Questão presente nas seguintes provas
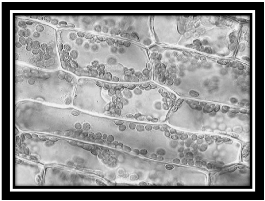
Observe a figura, a seguir, que evidencia determinadas organelas celulares vegetais.

Disponível em: <https://www.thinglink.com/scene/734036539838824449>. Acesso em: 8 abr. 2018.
São processos que ocorrem dentro dessa organela, exceto:
Provas
Questão presente nas seguintes provas
2558200
Ano: 2018
Disciplina: Literatura Brasileira e Estrangeira
Banca: FUNDEP
Orgão: CBM-MG
Disciplina: Literatura Brasileira e Estrangeira
Banca: FUNDEP
Orgão: CBM-MG
Provas:
Em relação aos gêneros literários, é correto afirmar que
Provas
Questão presente nas seguintes provas
“[...] O movimento tenentista (é) conhecido como o primeiro movimento político comandado pelos setores médios do Brasil [...]. A oposição ao pacto conservador da República Velha, com suas eleições fraudadas e restritas, era o ponto de união entre os tenentistas. Dentro do movimento, no entanto, conviviam desde as demandas liberais por voto secreto e por maior liberdade de imprensa até o desejo de um Estado forte como meio de se contrapor ao mandonismo rural. [...]”
SOUZA, Jessé de. A Elite do Atraso. Da escravidão à lava jato. Rio de Janeiro: Leya, 2017. p. 130 (Adaptação).
Com base no trecho de Jessé de Souza sobre as bases sociais que culminaram no movimento brasileiro conhecido como Revolução de 30, é correto afirmar que
Provas
Questão presente nas seguintes provas
Em 1948, o governo da África do Sul (país mais industrializado do continente africano até aquele momento) instituiu um sistema legal de segregação racial conhecido como Apartheid, que durou até o período de 1989-1992.
O fato que levou ao fim do Apartheid sul-africano foi a(o)
Provas
Questão presente nas seguintes provas
O uso de preservativos masculinos é uma eficiente profilaxia para as chamadas doenças sexuais transmissíveis. Entretanto, nem todas DSTs podem ser evitadas com o uso das camisinhas.
A patologia para a qual essa medida profilática é de baixa eficiência é
Provas
Questão presente nas seguintes provas
“Assim como os animais, as plantas também tiveram dificuldades para se fixar em terra firme. Os desafios eram muitos e as plantas precisavam enfrentar problemas, tais como: dessecação, trocas gasosas na atmosfera, sustentar-se fora da água e reprodução. Esses problemas foram os mesmos enfrentados pelos animais ao tentarem conquistar esse novo ambiente.”
Disponível em: <http://mundoeducacao.bol.uol.com.br/biologia/plantas-meio-terrestre.htm>. Acesso em: 9 abr. 2018.
São processos que permitiram essa adaptação, exceto:
Provas
Questão presente nas seguintes provas
INSTRUCTIONS: Read the following text carefully and mark the correct alternative that completes the sentences presented after it.
International Civil Defence Organisation
1. Introduction
Fires are the accidents which occur most frequently, whose causes are the most diverse and which require intervention methods and techniques adapted to the conditions and needs of each incident. Depending on the type of fire (nature of the material ablaze), meteorological conditions (wind) and the effectiveness of the intervention, material damage can be limited (a single car, building or production or storage warehouse installation), or affect wide areas (forest or agricultural fires, hydrocarbons, gas or other highly flammable products, storage or piping installations, harbour installations and rail or marine transport equipment). […]
2. Preventive and protective measures
Fires can spread more or less rapidly depending on their causes, the nature of the material and goods alight, the fire prevention installations (automatic sprinklers), meteorological conditions, the ways the population is informed and the initiative it shows, as well as the speed and efficiency of the intervening services and of their fire-fighting equipment. In the light of experience, prevention is seen to be most important and consists of two distinct components. On the one hand, the primary responsibility falling upon the political authorities empowered to implement the legal prescriptions concerning fire protection, to forecast accidents and to inform the population, as well as to set up measures and means for fighting fires and explosions. On the other hand, the responsible behaviour of each individual based upon an education geared towards caution and the respect of instructions in case of fire. Defining, and controlling the implementation of, the particular rules of protection against fires, specific to each enterprise presenting a potential danger, including the training of security personnel, is also relevant in this context. The many types of fire and the preventive and protective measures which relate to them, make it advisable to limit the present study to the specific measures falling to the political authorities in one area only, namely that of “forest fires”. This type of fire is of particular interest to developing countries and the preventive measures to be applied have a general representative value, that is:
– organising an observation service, prevention and alarm (security) service at local and regional levels;
– implementing legislation regulating the use of fire by all the population present in or at the edge of forests, and more particularly by owners and individuals exercising a professional activity in sensitive areas;
– planning and concrete preparation (periodic maintenance) for fire-fighting through adequate landscaping of the territory and appropriate forest cultivation limiting fire propagation (alternating vegetation, clearance, trimming), creating and maintaining access paths (extinction) and fire-break areas as well as fire-fighting equipment such as water supplies (conduits, cisterns), watch towers and meteorological posts, and the construction of helicopter landing pads;
– surveillance and detection of fires as soon as the danger of fires is forecast by the ad hoc meteorological service (which comprises automatic or mobile statistics posts observing the winds and the vegetation: dryness, force, direction, evolution);
– as soon as the danger of fire increases, activating an alarm plan (basic intervention plan) requiring the engagement of preventive intervention squads (firemen), and their wide positioning as near as possible to the threatened zones, and making available water bombers and specialised aerial machines ready for action;
– preparation and concretisation (organisation) of an intervention mechanism: this requires the setting up of specialised management programmes ensuring the coordination of powerful and efficient equipment and means for fighting forest fires (instruction);
– preparedness management and the coordination of the use of the means of intervention of the authorities and the information and alarm services for the population require a secure transmission network (radio network);
– planning the evacuation of the population possibly under threat in the various sensitive areas, particularly if there are risks of explosion (reservoirs and gas conduits explosives or ammunition dumps, hydrocarbon production, handling or transport installations, other dangerous material, etc.).
[...]
Available at: <http://www.icdo.org/en/disasters/man-made-disasters/industrial-accidents/fire>. Accessed on: April 6th, 2018 (Fragment).
According to the text, in a fire incident
According to the text, two elements are important to prevent fires to occur. They are
Provas
Questão presente nas seguintes provas
Cadernos
Caderno Container