Foram encontradas 600 questões.
No contexto do desenvolvimento de coleções, a explosão bibliográfica está relacionada
Provas
Questão presente nas seguintes provas
Conforme a NBR 6023, analise as afirmativas a seguir.
I. As obras de responsabilidade de órgãos governamentais têm sua entrada pelo título.
II. Quando houver uma indicação de edição, esta deve ser transcrita, utilizando-se abreviaturas dos numerais ordinais e da palavra edição, ambas na forma adotada na língua do documento.
III. Quando a publicação apresentar mais de duas editoras em sua folha de rosto, ambas devem ser indicadas na referência.
Está(ão) INCORRETA(S) a(s) afirmativa(s)
Provas
Questão presente nas seguintes provas
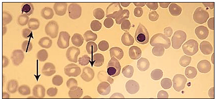
Ao analisar uma lâmina de um esfregaço sanguíneo no microscópio, o bioquímico encontrou a seguinte alteração morfológica indicada pelas setas.

Esse tipo de alteração morfológica caracteriza qual tipo de anemia?
Provas
Questão presente nas seguintes provas
“Paciente, sexo feminino, 36 anos, internada na enfermaria de cirurgia com quadro de obstrução intestinal. Sem histórico de cirurgias prévias. Na rotina radiológica observa-se pneumobilia.” Assinale, a seguir, o provável diagnóstico da paciente.
Provas
Questão presente nas seguintes provas
A diarreia é uma das principais causas de óbito em menores de cinco anos nos países em desenvolvimento, sendo fundamental o reconhecimento dos achados sugestivos da desidratação para a eficácia terapêutica e abordagem precoce no quadro. Diante das principais características exemplificadas a seguir, relacione adequadamente com a etiologia mais provável da diarreia.
I. Ocorre, principalmente, em menores de 5 anos – predominantemente de 6 meses a 2 anos – persistente, febre baixa por dois dias em geral, vômitos frequentes no início do quadro.
II. Líquida, volumosa, frequência evacuatória alta, geralmente por mais de dois dias. Pode causar desidratação grave em curto período.
III. Líquida, frequente e abundante. Pode provocar distensão abdominal. Melhora com o jejum.
IV. Dor abdominal, cólicas frequentes, urgência retal, tenesmo, dor à evacuação, pequenos volumes, pode conter pus nas fezes e ter febre alta.
A sequência está correta em
Provas
Questão presente nas seguintes provas
Em relação aos fatores de proteção para o Câncer Colorretal (CCR), assinale a afirmativa INCORRETA.
Provas
Questão presente nas seguintes provas
O Lúpus Eritematoso Sistêmico (LES) geralmente é uma doença autoimune que afeta vários órgãos e sistemas. Vários fatores predisponentes foram identificados. A predisposição genética é complexa e, provavelmente, envolve mais de 100 genes. Os alelos HLA-DR e DQ estão associados não apenas ao risco de desenvolver lúpus, como também aos tipos de autoanticorpos produzidos. Sobre as manifestações hematológicas do LES, é INCORRETO afirmar que
Provas
Questão presente nas seguintes provas
Um dos indicadores importantes no estudo, o otimismo é a capacidade que os indivíduos possuem de generalização. A respeito desse indicador e em conformidade com o trecho citado, quando se generaliza a causa de um insucesso a todas as situações com que nos deparamos, é possível afirmar que essa causa se caracteriza por
Provas
Questão presente nas seguintes provas
A soldagem por oxiacetilênica é um processo de soldagem por fusão, no qual a união entre os metais é conseguida através da aplicação do calor gerado por uma chama, podendo, ou não, haver metal de adição. O poder de fusão de uma chama oxiacetilênica pode ser regulado pelo aumento ou diminuição dos gases. Há um perfil de temperatura em função da posição da chama, conforme ilustração a seguir.

Distribuição de temperatura ao longo do eixo neutro da chama oxiacetilênica.
Mantendo uma mesma regulagem da chama, como é possível variar seu poder de fusão durante a operação de soldagem ou de brasagem?
Provas
Questão presente nas seguintes provas
O retalho periodontal é uma secção da gengiva e/ou mucosa cirurgicamente separada dos tecidos subjacentes para proporcionar visibilidade e acesso ao osso e à superfície radicular. Sobre a cicatrização de uma cirurgia a retalho, analise as afirmativas a seguir.
I. Imediatamente após a sutura é estabelecida um ligação entre o retalho e o dente ou superfície óssea por meio de um coágulo sanguíneo.
II. De um a três dias após a cirurgia a retalho, o espaço entre o retalho e o dente ou osso é mais largo.
III. Os retalhos de espessura total, que desnudam osso, resultam em necrose óssea superficial após 1 a 3 dias.
Estão corretas as afirmativas
Provas
Questão presente nas seguintes provas
Cadernos
Caderno Container