Foram encontradas 1.727 questões.
Com referência aos agentes antineoplásicos — substâncias capazes de prevenir, destruir ou bloquear o crescimento de células neoplásicas, evitando assim a sua disseminação —, julgue o item subseqüente.
Anticorpos monoclonais anti-CD20 são utilizados como uma alternativa terapêutica contra neoplasias, sendo considerados drogas antineoplásicas.
Provas
Questão presente nas seguintes provas
Um enfermeiro, durante uma visita domiciliar, identificou fatores de risco importantes associados a quedas de um paciente de 78 anos de idade com doença de Parkinson. O paciente havia recebido alta recente de um hospital, após ter sofrido queda no banheiro que resultou em fratura na mão direita. Apresentava bradicinesia, tremor lento e ritmado do antebraço e das mãos, com movimentos de rotação, rigidez que comprometia pescoço, tronco e ombros. Caminhava com dificuldade e apresentava, freqüentemente, hipotensão postural e movimentos involuntários. O paciente não tinha filhos e, após a morte da esposa, há seis meses, vinha contando com a ajuda de uma diarista que permanecia em casa durante o período diurno, cinco vezes por semana. O enfermeiro observou que, embora a casa fosse térrea, existiam desníveis em alguns cômodos, havendo degraus para o acesso à cozinha e ao banheiro.
Considerando essa situação hipotética e aspectos do cuidado domiciliar, julgue o item que se segue.
Os objetivos de aprendizado e os resultados previstos devem ser discutidos com o indivíduo e com seu cuidador tão logo tenham sido avaliadas as necessidades educacionais.
Provas
Questão presente nas seguintes provas
Karl Jaspers (1883-1969), um dos principais autores da psicopatologia moderna, afirma que esta é uma ciência básica que serve de auxílio à psiquiatria, que é, por sua vez, um conhecimento aplicado a uma prática profissional e social concreta.
Tendo o texto acima como referência, julgue o item que se segue, acerca de avaliação clínica e de exame do paciente psiquiátrico.
Como salientou o psiquiatra brasileiro José Leme Lopes, o diagnóstico psiquiátrico deve ser sempre pluridimensional.
Provas
Questão presente nas seguintes provas
Acerca da cinesioterapia, da fisioterapia neurológica e da geriatria, julgue o próximo item.
Pacientes idosos confinados ao leito, por longo período, tendem a desenvolver distúrbios musculares graves, diferentemente dos jovens em situação semelhante. Isso ocorre, principalmente, devido à sarcopenia característica do processo de envelhecimento.
Provas
Questão presente nas seguintes provas
1373180
Ano: 2007
Disciplina: Atualidades e Conhecimentos Gerais
Banca: CESPE / CEBRASPE
Orgão: CBM-DF
Disciplina: Atualidades e Conhecimentos Gerais
Banca: CESPE / CEBRASPE
Orgão: CBM-DF
Pesquisas recentes demonstram que morrem muitos jovens nas grandes cidades brasileiras. Acerca do tema segurança nas cidades brasileiras, julgue o item subseqüente.
Além da dimensão de segurança, as mortes de jovens nas grandes cidades tornaram-se também um problema de ordem social e de saúde pública.
Provas
Questão presente nas seguintes provas
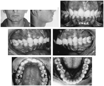
Um paciente apresenta má oclusão em que há envolvimento esquelético, por ter uma idade fora do período de crescimento. Os procedimentos ortopédicos, nesse paciente, são contra-indicados. Além disso, o paciente refutou a idéia de tratamento ortocirúrgico, restando apenas a possibilidade de compensação dentária, com risco de prejuízo estético. As ilustrações e os dados a seguir são referentes a esse paciente.

- discrepância de modelo do arco inferior: -4,00 mm
- discrepância de modelo do arco superior: -9,00 mm

| grandezas | norma | paciente |
| SNA | 82º | 80º |
| SNB | 80º | 74º |
| ANB | 2º | 6º |
| WITS | -1 mm | +8 mm |
| SNGoGn | 32º | 24º |
| FMA | 25º | 22º |
| ENAENP.GoMe | 25º | 14º |
| 1.NA | 22º | 19º |
| 1-NA | 4 mm | 2 mm |
| 1.NB | 25º | 27º |
| 1-NB | 4 mm | 4 mm |
| Pog-NB | 2,5 mm | 3 mm |
| FMIA | 68º | 56º |
| IMPA | 87º | 107º |
| H.NB | 12º | 13º |
| H-Nariz | 9-11 mm | 6 mm |
| ângulo nasolabial | 110º | 127º |
| S-Go × 100% / N-Me | 62% a 65% | 71% |
Com relação à situação hipotética apresentada, julgue o item a seguir.
Caso se opte pela extração de dois pré-molares superiores, o tipo de ancoragem requerido é do tipo moderado para mínimo.
Provas
Questão presente nas seguintes provas
A tabela a seguir apresenta o balancete de verificação de uma empresa, em que os valores estão em reais.
| conta | valor | ||
| 1 | caixa | 250 | |
| 2 | condomínio a pagar | 870 | |
| 3 | seguros a pagar | 920 | |
| 4 | assinaturas antecipadas | 980 | |
| 5 | telefones pré-pagos | 980 | |
| 6 | provisão para perda de estoques | 1.100 | |
| 7 | despesa de condomínio | 1.280 | |
| 8 | aluguel a pagar | 2.140 | |
| 9 | despesa de telefone | 2.150 | |
| 10 | provisão para devedores duvidosos | 2.450 | |
| 11 | despesa de assinaturas | 2.490 | |
| 12 | telefone a pagar | 2.580 | |
| 13 | combustíveis a pagar | 2.580 | |
| 14 | aluguéis antecipados | 2.890 | |
| 15 | seguros antecipados | 3.150 | |
| 16 | despesa de Internet | 3.214 | |
| 17 | despesa de impostos e taxas | 3.325 | |
| 18 | serviços de Internet a pagar | 3.325 | |
| 19 | impostos a recuperar | 3.342 | |
| 20 | energia a pagar | 3.532 | |
| 21 | salários a pagar | 4.415 | |
| 22 | despesa de combustíveis e lubrificantes | 4.418 | |
| 23 | receita antecipada | 4.520 | |
| 24 | despesa de energia | 4.580 | |
| 25 | imposto e contribuição sobre lucro | 4.580 | |
| 26 | fornecedores | 4.870 | |
| 27 | adiantamento de salários | 4.980 | |
| 28 | suprimentos de informática | 5.400 | |
| 29 | despesa de seguros | 5.470 | |
| 30 | impostos a pagar | 5.524 | |
| 31 | notas promissórias a receber | 6.150 | |
| 32 | contas a pagar | 6.870 | |
| 33 | banco | 6.890 | |
| 34 | contas a receber | 7.150 | |
| 35 | títulos a receber | 8.410 | |
| 36 | deságio na emissão de debêntures de curto prazo | 8.570 | |
| 37 | provisão para perda de investimentos | 8.875 | |
| 38 | despesa de aluguel | 8.950 | |
| 39 | receita financeira | 8.980 | |
| 40 | despesa de salários | 9.850 | |
| 41 | financiamentos a pagar | 10.000 | |
| 42 | material de consumo | 10.480 | |
| 43 | empréstimos a pagar | 10.740 | |
| 44 | debêntures emitidas com resgate em longo prazo | 12.500 | |
| 45 | despesa financeira | 12.580 | |
| 46 | investimentos em ações | 13.250 | |
| 47 | abatimentos sobre vendas | 13.520 | |
| 48 | provisão para contingências judiciais | 14.500 | |
| 49 | lucros ou prejuízos acumulados após a apuração do resultado | 14.500 | |
| 50 | investimentos em debêntures | 14.580 | |
| 51 | empréstimos a diretores | 14.780 | |
| 52 | mercadorias para revenda | 14.870 | |
| 53 | impostos sobre vendas | 18.590 | |
| 54 | reservas | 19.041 | |
| 55 | debêntures a pagar em curto prazo | 20.000 | |
| 56 | despesa de depreciação | 20.580 | |
| 57 | impressoras e aparelhos de fax | 24.150 | |
| 58 | despesa de amortização | 25.000 | |
| 59 | aparelhos de ar-condicionado | 25.600 | |
| 60 | participações em coligadas | 25.800 | |
| 61 | televisores e reprodutores de DVD | 32.140 | |
| 62 | títulos a receber de longo prazo | 32.580 | |
| 63 | assinaturas a pagar | 33.120 | |
| 64 | investimentos em títulos públicos | 41.200 | |
| 65 | computadores e periféricos | 45.200 | |
| 66 | custo da mercadoria vendida | 52.400 | |
| 67 | debêntures adquiridas com resgate em longo prazo | 52.800 | |
| 68 | veículos leves | 68.500 | |
| 69 | títulos a pagar de longo prazo | 78.500 | |
| 70 | tratores e implementos agrícolas | 78.900 | |
| 71 | móveis e utensílios diversos | 90.000 | |
| 72 | terrenos | 125.000 | |
| 73 | prédios | 145.000 | |
| 74 | empréstimos a pagar de longo prazo | 187.500 | |
| 75 | equipamentos de manutenção e conservação | 198.500 | |
| 76 | receita operacional bruta | 198.500 | |
| 77 | apartamentos | 250.000 | |
| 78 | amortização acumulada | 250.000 | |
| 79 | pesquisa de novos produtos | 258.000 | |
| 80 | capital social | 380.000 | |
| 81 | máquinas e equipamentos de produção | 452.000 | |
| 82 | depreciação acumulada | 1.000.00 | |
Com base nos dados fornecidos na tabela, julgue o item seguinte, referente ao balancete de verificação apresentado.
O índice de liquidez imediata é maior que 0,35.
Provas
Questão presente nas seguintes provas
Em relação às facetas estéticas, julgue o seguinte item.
A faceta laminada cerâmica é uma alternativa atraente, por exigir preparo mínimo do dente.
Provas
Questão presente nas seguintes provas
O uso abusivo de drogas tem-se tornado um problema de saúde de difícil controle, assim como o vício de uso de etanol ou de tabaco. Acerca desse tema, julgue o item que se segue.
Existem poucos benzodiazepínicos capazes de produzir dependência fisiológica, que se manifesta apenas com o consumo de altas doses por tempo prolongado.
Provas
Questão presente nas seguintes provas
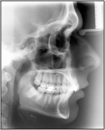
Um paciente apresenta má oclusão em que há envolvimento esquelético, por ter uma idade fora do período de crescimento. Os procedimentos ortopédicos, nesse paciente, são contra-indicados. Além disso, o paciente refutou a idéia de tratamento ortocirúrgico, restando apenas a possibilidade de compensação dentária, com risco de prejuízo estético. As ilustrações e os dados a seguir são referentes a esse paciente.

- discrepância de modelo do arco inferior: -4,00 mm
- discrepância de modelo do arco superior: -9,00 mm

| grandezas | norma | paciente |
| SNA | 82º | 80º |
| SNB | 80º | 74º |
| ANB | 2º | 6º |
| WITS | -1 mm | +8 mm |
| SNGoGn | 32º | 24º |
| FMA | 25º | 22º |
| ENAENP.GoMe | 25º | 14º |
| 1.NA | 22º | 19º |
| 1-NA | 4 mm | 2 mm |
| 1.NB | 25º | 27º |
| 1-NB | 4 mm | 4 mm |
| Pog-NB | 2,5 mm | 3 mm |
| FMIA | 68º | 56º |
| IMPA | 87º | 107º |
| H.NB | 12º | 13º |
| H-Nariz | 9-11 mm | 6 mm |
| ângulo nasolabial | 110º | 127º |
| S-Go × 100% / N-Me | 62% a 65% | 71% |
Com relação à situação hipotética apresentada, julgue o item a seguir.
A compensação sem extração pode ser uma alternativa para o caso clínico em apreço. Nessa situação, deve ser utilizado aparelho protrator mandibular, que permite promover maior vestibularização dentária inferior, ignorando a discrepância cefalométrica.
Provas
Questão presente nas seguintes provas
Cadernos
Caderno Container