Foram encontradas 80 questões.
Um município notificou os seguintes indicadores ao analisar grupos de causas básicas: mortalidade proporcional devido a doenças cardiovasculares de 30% e de causas externas de 11%; percentual de anos potenciais de vida perdidos de 11% por causas cardiovasculares e 30% por causas externas. ASSINALE A ALTERNATIVA CORRETA:
Provas
Mulher, 29a, G3P2C0A0, 33 semanas e 4 dias de gestação, vem à Unidade de Emergência com queixa de contrações uterinas dolorosas e redução da movimentação fetal há 4 horas. Nega queixas nos demais aparelhos e não tem comorbidades. Exame físico: regular estado geral, Temp= 39o C, FC= 117 bpm, FR=18 irpm, PA= 100x60 mmHg; exame obstétrico: altura uterina 31 cm, dinâmica uterina 3 contrações de 30 segundos em 10 minutos, batimentos cardíacos fetais 166 bpm, toque vaginal: colo 70% esvaecido, medianizado, 4 cm de dilatação, bolsa íntegra, feto cefálico. Exame sumário de urina: normal, Leucócitos= 22.570 mm3 (20% de bastões). Foram coletadas: cultura para estreptococo do grupo B, hemocultura e urocultura. ALÉM DA ANTIBIOTICOTERAPIA DE AMPLO ESPECTRO E SUPORTE A CONDUTA É:
Provas
Mulher, 29a, procurou Unidade Básica de Saúde por irregularidade menstrual há dois anos. Encontra-se em amenorreia há cinco meses com teste de gravidez negativo. Refere menarca aos 12 anos. Método contraceptivo: condom. Antecedente pessoal: fibromialgia em tratamento com amitriptilina há três anos. A ETIOLOGIA MAIS PROVÁVEL DA IRREGULARIDADE MENSTRUAL É:
Provas
O uso de testes de biologia molecular para pesquisa de HPV de alto risco oncogênico no colo uterino pode ser utilizado como estratégia de rastreamento de câncer de colo. No Brasil, o principal motivo desta estratégia não ser utilizada é:
Provas
Mulher, 34a, G1P1C0A0, mastectomizada há 40 dias por carcinoma ductal invasor, com receptores negativos para estrogênios e progestagênios e status HER-2 negativo. Nega outras comorbidades. O MÉTODO CONTRACEPTIVO INDICADO É:
Provas
Primigesta, 18a, com idade gestacional de 10 semanas comparece à primeira consulta de pré-natal. Sorologia sífilis: teste rápido= positivo, CMIA= positivo, TPHA= positivo e VDRL= 1/4. Não se recorda de ter tomado penicilina previamente. Os exames físico e ginecológico são normais. Prescrita Penicilina Benzatina 4.800.000 UI, dose única, aplicada após a consulta. É CORRETO:
Provas
Mulher, 22a, G1P0A0, idade gestacional de 38 semanas, procura o pronto atendimento obstétrico com queixa de perda de líquido há uma hora. Realizou duas consultas de pré-natal, com abandono após as 20 semanas. Sorologias realizadas com 15 semanas de gestação: HIV, hepatite C e sífilis negativas; hepatite B: AgHBs não reagente, anti-HBs reagente, anti-HBc reagente. Exame especular: saída de líquido claro com grumos de colo impérvio; dinâmica uterina ausente. Vitalidade fetal adequada. Na internação apresenta teste rápido positivo para HIV. A CONDUTA É:
Provas
Menino, 35 dias, comparece para consulta de puericultura e mão nega queixas. Refere aleitamento materno exclusivo, diurese 8 vezes ao dia e evacuações em dias alternados. APRNT AIG, alta com 48 horas de vida. Situação vacinal atualizada e ganho ponderal diário de 35 gramas desde a última consulta. Exame físico: bom estado geral corado, acianótico, ictérico (zona 2 de Kramer), FR=45 irpm. Abdome: fígado a 1cm do rebordo costal direito com consistência fibroelástica, borda lisa e superfície aguda, baço não palpável. A CONDUTA É:
Provas
Menino, 2a, é trazida à Emergência em parada cardiorrespiratória (PCR). A checagem de ritmo identifica assistolia. O PRINCIPAL BENEFÍCIO EM INTUBAR O PACIENTE NESTE TIPO DE PCR, NO QUE DIZ RESPEITO AO RETORNO DA CIRCULAÇÃO ESPONTÂNEA, É:
Provas
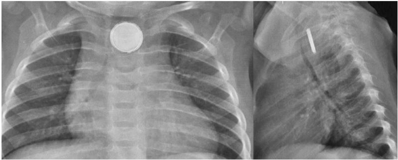
Menino, 2 a, é levado ao pronto-socorro com história de um episódio de vômito após engasgo enquanto brincava sem supervisão. No momento assintomático. Última mamadeira de 200 ml de leite há duas horas. O acompanhante acredita que faltam peças do brinquedo e que a criança pode ter ingerido algo. Radiograma de tórax:

A CONDUTA É:
Provas
Caderno Container