Foram encontradas 200 questões.
Em um software CAD, foram criados dois círculos concêntricos de mesmo diâmetro D, um no plano XY e outro
no plano YZ. Posteriormente, foi feita a extrusão dos dois
círculos nas duas direções por 10D. E, finalmente, foi
feita a intersecção dos sólidos resultantes. Qual é a geometria resultante desse processo?
Provas
Questão presente nas seguintes provas
A Stratasys, fabricante de impressoras 3D, disponibiliza o
software GrabCAD Print. Sobre esse software, é correto
afirmar:
Provas
Questão presente nas seguintes provas
A fabricação de peças por impressão 3D com filamentos
termoplásticos se tornou acessível e possibilitou a prototipagem rápida de objetos com geometria complexa.
A prototipagem rápida permite iterar sobre geometrias
e materiais diferentes para obter estruturas otimizadas.
Porém, para aplicações nas quais a peça é submetida à
esforços mecânicos, a orientação da impressão se torna
relevante, resultando na resistência dependente da direção e sentido do esforço. Esse fenômeno é chamado de
Provas
Questão presente nas seguintes provas
Assinale a alternativa que indica, correta e respectivamente, qual a tecnologia de impressão utilizada pela
Stratasys J850 e qual o tipo de material utilizado na
impressão.
Provas
Questão presente nas seguintes provas
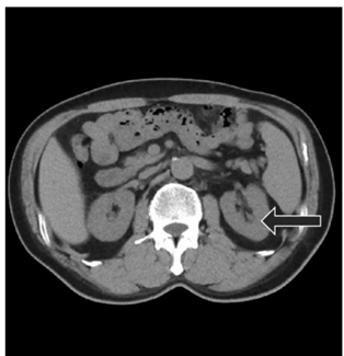
Observe a imagem a seguir: Qual alternativa representa
o corte visualizado na imagem de tomografia a seguir e o
órgão apontado pela seta?
(Disponível em: https://upload.wikimedia.org/wikipedia/commons/ 7/7f/CT_Scan_General_Illustration_Upper_Abdomen.jpg. Adaptado)
Qual alternativa representa o corte visualizado na imagem de tomografia apresentada e o órgão apontado pela seta?
(Disponível em: https://upload.wikimedia.org/wikipedia/commons/ 7/7f/CT_Scan_General_Illustration_Upper_Abdomen.jpg. Adaptado)
Qual alternativa representa o corte visualizado na imagem de tomografia apresentada e o órgão apontado pela seta?
Provas
Questão presente nas seguintes provas
É correto afirmar que os órgão-em-chip são
Provas
Questão presente nas seguintes provas
Para o projeto de uma prótese de membro inferior, foi
determinado o valor máximo da tensão flexora que poderia ser aplicado na prótese nas condições de uso mais
extremo. Foi também estabelecido que o material da prótese deve ser dúctil e que não é desejável que haja deformações plásticas. Na busca de materiais para produzir
a prótese segundo o critério de flexão, e também considerando um fator de segurança de 2, é mais adequado
que a tensão admissível à flexão utilizada no cálculo seja
Provas
Questão presente nas seguintes provas
Qual das seguintes opções normalmente não é uma
função do microcontrolador em uma impressora 3D?
Provas
Questão presente nas seguintes provas
A impressão 3D possibilita a fabricação de peças com
alta complexidade geométrica. Contudo, algumas peças
necessitam de materiais de suporte para viabilizar sua
impressão, sendo necessária a remoção desse material
posteriormente. Em um contexto de automação industrial e
considerando as especificidades da impressora Stratasys
J850, qual é o método mais indicado para a remoção dos
materiais de suporte sem qualquer intervenção manual?
Provas
Questão presente nas seguintes provas
- Fundamentos de ProgramaçãoAlgoritmosConceitos Básicos de Algoritmos
- Paradigmas de ProgramaçãoProgramação Estruturada
Uma pesquisadora desenvolveu algumas geometrias
que podem ser repetidas para formar um padrão de preenchimento para peças sólidas impressas em 3D. Para
testar o desempenho de cada padrão, a pesquisadora
solicitou um programa que gera pontos para que o software CAD posicione as geometrias. Elas foram criadas
partindo da origem de um sistema cartesiano 3D (x,y,z),
que é o ponto de referência para o posicionamento e todas têm o volume definido por um cubo de lado ‘d’. Qual
das alternativas representa o pseudocódigo do programa
que gera os pontos para posicionar as geometrias em um
volume cúbico de lado ‘L’, divisível por ‘d’?
Dados: A sintaxe utilizada para o PARA é, inclusive, o último valor. Ou seja, PARA x de 1 ATÉ 10 FAÇA, produz 10 valores de x, começando do 1 e indo até o 10, de 1 em 1.
Dados: A sintaxe utilizada para o PARA é, inclusive, o último valor. Ou seja, PARA x de 1 ATÉ 10 FAÇA, produz 10 valores de x, começando do 1 e indo até o 10, de 1 em 1.
Provas
Questão presente nas seguintes provas
Cadernos
Caderno Container