Foram encontradas 160 questões.
Para realização da pesquisa de anticorpos anticardiolipina, na sífilis, é necessário que o teste de triagem seja realizado no soro puro e diluído a 1/10.
As proporções corretas para se obter a diluição requerida são
Provas
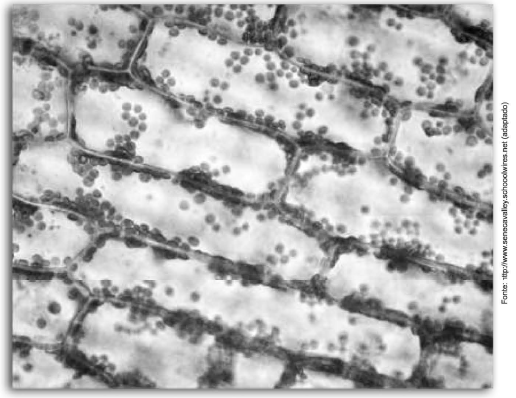
Analise a figura e assinale verdadeiro (V) ou falso (F) em cada uma das afirmativas a seguir.

( ) As células apresentadas na imagem são de um tecido vegetal.
( ) A imagem apresenta um tecido com células polinucleadas.
( ) Essa imagem foi obtida através de um microscópio eletrônico.
( ) As estruturas celulares indicam claramente que as células estão em meio hipertônico.
A sequência correta é
Provas
Aparência, cor e odor são especificações de matérias-primas para determinar características
Provas
Para realizar a pesquisa semi-quantitativa de autoanticorpos por imunofluorescência indireta , é necessário diluira soro deforma seriada.A diluição inicial preparada na cavidade 1 é 1/40, correspondendo a __ de soro diluídoem __ detampão PBS.
Após, são distribuídos 50ul de PBS em 5 cavidades da placa de diluição. Transfere-se, então, 50ul do soro diluído previamente a 1/40 para a cavidade 2, homogeiniza-se e transfere-se 50ul para a cavidade 3, e assim consecutivamente até a cavidade 5. O valor das diluições em cada cavidade serão: __ ; __ ; __ ; __ , __ .
A sequência que completa corretamente as lacunas é
Provas
O cloreto de potássio é utilizado para a calibração dos condutivímetros. Uma solução 0,745 g dm-3 de KCI tem uma condutividade de 1,41 mS cm-1 na temperatura de 25ºC. A concentração dessa solução de KCI, em g ml1, é de
Provas
Observe a figura.

A figura representa, através de ________ , o conjunto de estruturas que constituem uma flor com .
A sequência correta é
Provas
Disciplina: Legislação Específica das Agências Reguladoras
Banca: UFSM
Orgão: UFSM
Relacione a primeira coluna com a segunda, de acordo com os referenciais fornecidos pela RDC 24, da Agência Nacional de Vigilância Sanitária (Anvisa):
| a. Dose diária recomendada | ( ) é a quantidade de proteína, vitaminas e minerais que deve ser |
| b. Excipiente | ( ) solução parenteral acondicionada em recipiente de dose única, em sistema fechado, com um volume nominal igual ou acima de 100 ml é até volume máximo de 1000 ml. |
| c. Nutrição Parenteral (NP) | ( ) substância adicionada ao medicamento com a finalidade de |
| d. Opoterápico | ( ) preparação obtida a partir de glândulas, tecidos, outros órgãos e |
| e. Soluções parenterais de | ( ) solução ou emulsão, composta basicamente de carboidratos, |
A sequência correta é
Provas
A hepatite C é, atualmente, um dos maiores problemas de saúde pública. Existem aproximadamente 170 milhões de infectados no mundo, o que corresponde a 3% da população mundial. A transmissão pode se dar por
I- uso de seringas não estéreis compartilhadas.
II - ato sexual sem proteção.
III- utilização de água contaminada por coliformes.
IV - respingos de secreções contaminadas em lesões de pele.
V- utilização de água apirogênica.
Está(ão) correta(s)
Provas
Asecagem de vidrarias pode ser feita na bancada do laboratório, em local livre de pó ou em estufa. É CORRETO secar
Provas
As duas formas de administração que contemplam a via parenteral são:
Provas
Caderno Container