Foram encontradas 300 questões.
Pode-se considerar, em paciente com débito cardíaco normal:
Provas
R.C.C., masculino 34 anos, estava em uso de RHZE (rifampicina, Isoniazida, Pirazinamida e etambutol respectivamente) há 15 dias devido a Tuberculose Óssea. O mesmo relata ser portador de Hepatite B Crônica, em uso de Tenofovir 300mg/dia há 5 anos com boa tolerância, com resposta virológica sustentada e sem evidências de cirrose hepática. Da entrada na emergência referindo perda do apetite, icterícia 2+/4+. Bioquímica mostrando TGO/TGP < 3 x LSN (limite superior da normalidade). A conduta correta seria:
Provas
Segundo o Protocolo Clínico da Campanha de Sobrevivência a Sepse, atualizado em 2016, o paciente hipotenso e/ou com hiperlactatemia inicial, a despeito da otimização da reposição volêmica, tem indicação de reavaliação do estado volêmico ou de parâmetros perfusionais pela equipe médica, dentro das primeiras 6 horas de tratamento. As seguintes formas de reavaliação poderão ser consideradas, exceto:
Provas
Paciente feminina, 24 anos, com diagnóstico de hidrocefalia, internada há 7 dias pois retirou a válvula e colocou derivação ventricular externa. Estava em uso de Cefalotina desde a indução anestésica. Há 24 horas iniciou quadro febril de 38.0ºC, associado a rebaixamento do nível de consciência. Antibioticoterapia de escolha seria:
Provas
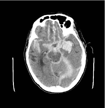
Paciente feminina, 55 anos de idade, tabagista há 25 anos com carga de 10 maços ano. Deu entrada no Grande Trauma com Glasgow 6, trazida pelo SAMU com relato de ter sido encontrada desacordada em casa pela vizinha. Realizada TC Crâneo (imagem 1):

Segundo o diagnóstico pela TC de Crâneo, as medidas a seguir fazem parte da prevenção da lesão neurológica secundária, exceto:
Provas
Um paciente de 29 anos, foi admitido com quadro de febre, cefaléia e alteração do estado mental de início há cerca de 48 hs. Um estudo liquórico revlou pleiocitose de 450 células por campo com predomínio polimorfonuclear e glicorraquia de 36 mg/dl. Foi iniciado esquema com ceftriaxona e vancomicina, e diante da piora do quadro foi solicitado RNM que revelou somente alteração de sinal em mastóide. Qual conduta abaixo é a mais adequada
Provas
Um paciente de 28 anos, mudou-se recentemente de uma zona rural de Pernambuco, e há cerca de uma semana começou a apresentar dor lobar, e há 48 horas começou a apresentar fraqueza progressiva e simétrica dos membros inferiores e dificuldade para urinar. Um RNM revelou alteração de sinal em segmentos L4-L5, L5-S1, no entanto o diagnóstico efetivo só ocorreu após a realização de um outro exame complementar:
Provas
Ainda relativo à TAC de crânio do caso anterior, qual descrição abaixo caracteriza melhor a imagem no contexto do caso:
Provas
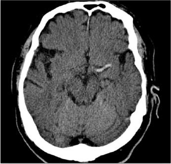
Uma mulher de 65 anos, em pós-operatório de bypass coronariano, desenvolveu hemiparesia direita e dificuldade de expressão ao despertar da anestesia as 15:00 hs. Ela não apresentava nenhum déficit neurológico até 12:00 hs.
Uma TAC de crânio foi feita imediatamente:

As 16 hs, a equipe teve que tomar uma decisão terapeutica: Qual das opções abaixo ofereceria a melhor chance de recuperação funcional neurológica para a paciente:
Provas
Um Homem de 71 anos, deu entrada no Hospital com quadro de mudança de comportamento e perda de memória. Segundo filha o mesmo vem apresentando nas últimas semanas contraturas tônicas da hemiface e braço esquerdos, tendo sido iniciado carabamazepina (200 mg tid) sem melhoras. Uma RNM magnética revelou alteração de sinal hipocampal bilateral e pesquisa de anticorpos de canais de voltagem de potássio foi posisitiva. Diante do quadro, escolha entre as opções abaixo a melhor conduta para controle dos sintomas acima :
Provas
Caderno Container