Foram encontradas 910 questões.
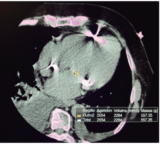
Homem de 81 anos, hipertenso, dislipidêmico, diabético, com histórico de angioplastia da artéria descendente anterior com stent farmacológico há 5 anos, comparece ao consultório do cardiologista com queixa de dispneia progressiva nos últimos 4 meses, atualmente aos moderados esforços. Faz uso de anlodipino 5 mg + perindopril 5 mg, 1x ao dia. Nega angina, palpitações ou síncope. Ao exame: RCR, 2T, sopro sistólico de ejeção em foco aórtico 2+/6+, FC 80 bpm, PA 136x68 mmHg. Pulsos simétricos, com amplitude normal. Ausculta pulmonar sem alterações. Eletrocardiograma com sobrecarga atrial e ventricular esquerda. Foi solicitado ecocardiograma, que evidenciou área valvar aórtica de 0.8 cm2 e área valvar indexada de 0,58 cm²/m², gradiente médio de 33 mmHg, função sistólica preservada (FE 71%), disfunção diastólica, hipertrofia ventricular esquerda e volume ejetado indexado de 32 mL/m². Realizou o escore de cálcio da valva aórtica mostrado abaixo.

Nesse caso, a tomografia de cálcio valvar indica a presença de estenose aórtica importante, baixo fluxo e
Provas
Nas últimas décadas, a Fibrilação Atrial (FA) tornou-se um importante problema de saúde pública. Apresenta repercussão na qualidade de vida, em especial devido a suas consequências clínicas, fenômenos tromboembólicos e alterações cognitivas. Em relação ao uso de anticoagulantes na prevenção de fenômenos tromboembólicos na fibrilação atrial,
Provas
Homem de 49 anos mantém acompanhamento com cardiologista devido a prolapso de valva mitral. Refere realizar caminhadas regulares de aproximadamente 30 minutos, 5 vezes na semana, sem sintomas. Ao exame físico, apresentou: PA = 126x74 mmHg; FC = 68 bpm; ritmo cardíaco regular em dois tempos; bulhas normofonéticas com sopro sistólico 4+/6+ em foco mitral; murmúrio vesicular presente sem ruídos adventícios. Realizou ecocardiograma que demonstrou: FE = 61%, diâmetro diastólico do VE de 59 e sistólico de 42 mm, PSAP de 51 mmHg e insuficiência mitral importante secundária a prolapso de cúspide posterior (P2). Conforme a Atualização das Diretrizes Brasileiras de Valvopatias – 2020, o tratamento mais apropriado, nesse momento, é
Provas
A lavagem laparoscópica consiste em uma laparoscopia diagnóstica seguida de irrigação com soro aquecido e colocação de dreno. Essa modalidade de tratamento da diverticulite aguda surgiu como uma abordagem terapêutica alternativa atraente para pacientes com classificação de Hinchey de estágio
Provas
A classificação de Forrest foi desenvolvida para classificar endoscopicamente a gravidade do sangramento e quantificar o risco de ressangramento. Nesse sentido, uma correlação correta entre o achado endoscópico e o risco de ressangramento é
Provas
Na abordagem do paciente vítima de trauma vascular, busca-se, após a avaliação primária, colher o histórico e realizar o exame físico na tentativa de discernir o paciente que pode prosseguir sua investigação por meio de exame de imagem (achados menores) do paciente que deve ser conduzido para intervenção cirúrgica imediata (achados maiores). A situação clínica na qual o paciente pode ser encaminhado para ângio-TC ou arteriografia, para prosseguir sua investigação, é a de
Provas
A pancreatite aguda é uma doença que, no diagnóstico inicial, precisa ter sua gravidade definida, existindo várias formas de quantificar essa gravidade. Nesse contexto, o sistema
Provas
As terapias imunossupressoras atuais, nos transplantes, alcançaram excelentes resultados nas taxas de sobrevida dos pacientes e do aloenxerto. Porém, nenhuma dessas substâncias imunossupressoras tem ação específica contra a resposta ao aloenxerto, já que elas atuam na resposta imunológica geral, o que resulta em diversos efeitos adversos. Nesse contexto, uma correlação correta entre o medicamento imunossupressor e um efeito colateral é
Provas
O conhecimento pormenorizado da anatomia do fígado é essencial para a prática da operação hepática segura. Uma reunião em 2000, em Brisbane, na Austrália, traçou diretrizes para as principais abordagens hepáticas e suas nomenclaturas. Nesse sentido, uma correlação correta entre a nomenclatura do procedimento cirúrgico e os segmentos hepáticos ressecados é:
Provas
Paciente do sexo feminino, 46 anos, deu entrada em pronto socorro referindo, no atendimento, dor latejante, prurido e "caroço" em ânus, há dois dias. Referiu, ainda, dois episódios prévios no último ano, sempre desencadeados por esforço ao evacuar. Hoje, relata a incapacidade de redução, além de pequeno sangramento vermelho vivo. Refere também ter feito uso de antiinflamatórios e analgésicos por conta própria, sem melhora significativa do quadro. De acordo com esse quadro, a doença hemorroidária em questão é classificada como
Provas
Caderno Container