Foram encontradas 1.810 questões.
O vírus sincicial respiratório (VSR) é um dos principais agentes etiológicos das infecções que acometem o trato respiratório inferior entre lactentes e crianças menores de 2 anos de idade, podendo ser responsável por até 75% das bronquiolites. De acordo com a Portaria nº 522, de 13 de maio de 2013, que trata da prevenção da infecção do VSR, assinale a alternativa INCORRETA.
Provas
Questão presente nas seguintes provas
Uma das hipóteses mais aceitas em Vertebrados quanto ao surgimento das mandíbulas é sua origem a partir de modificações do arco mandibular (primeiro arco branquial), o que levou à diversificação dos Gnatostomados. Algumas das modificações estão relacionadas à articulação (suspensão) das mandíbulas ao condrocrânio. Entre as modificações, algumas linhagens apresentavam a condição na qual o elemento dorsal das mandíbulas (palatoquadrado) se articula anteriormente com o condrocrânio e posteriormente com a hiomandíbula (elemento do segundo arco branquial – arco hioide). Outra condição é aquela na qual as mandíbulas se articulam apenas com a hiomandíbula, o que resulta num mecanismo articular mais flexível. Assinale a alternativa correta quanto à designação de cada uma das condições, respectivamente.
Provas
Questão presente nas seguintes provas
Assinale a alternativa que apresenta e descreve corretamente o método utilizado para introduzir plasmídeos em células de bactéria E.coli no laboratório.
Provas
Questão presente nas seguintes provas
Classicamente, foram definidos pontos de cálculo para definição de dose em Braquiterapia. Assinale a alternativa que apresenta o significado do ponto B descrito pelas recomendações do ICRU 38.
Provas
Questão presente nas seguintes provas
Com relação ao sangramento pós-operatório de cirurgia cardíaca, pode-se afirmar que:
Provas
Questão presente nas seguintes provas
Assinale, dentre as alternativas a seguir, aquela que representa corretamente os princípios básicos da Tomografia Computadorizada.
Provas
Questão presente nas seguintes provas
Assinale a opção que apresenta o diagnóstico suspeito em uma lesão do meato acústico externo, com granulações crônicas e ulcerativas, que pode ocorrer na otite média.
Provas
Questão presente nas seguintes provas
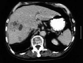
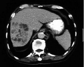
Um homem de 65 anos apresenta febre, astenia, perda de apetite, náusea e emagrecimento há cerca de 3 semanas. Os exames laboratoriais revelaram Htc 30%, Hgb 10g%, Leucócitos 11000 (0 – 0 – 0 – 0 – 7 – 68 – 17 – 8), AST 29 U/L (normal até 31 U/L), ALT 30 (normal até 37 U/L), fosfatase alcalina 320 U/L (normal até 120 U/L), bilirrubina total 0,9 mg/dL, bilirrubina indireta 0,7 mg/dL. USG abdominal: massa heterogênea de limites pouco definidos em lobo direito do fígado. TC de abdômen (a seguir). Observe as imagens e assinale a alternativa que apresenta o diagnóstico provável.


Provas
Questão presente nas seguintes provas
Considerando a utilização de medicações antes e durante a anestesia e sua relação com nefrotoxicidade, pode-se afirmar que:
Provas
Questão presente nas seguintes provas
No tratamento da toxoplasmose ocular durante a gestação, a espiramicina pode ser utilizada. Assinale a alternativa que apresenta o seu mecanismo de ação.
Provas
Questão presente nas seguintes provas
Cadernos
Caderno Container