Foram encontradas 815 questões.
Um cão macho de 7 anos, 11 kg, SRD, foi atendido após um atropelamento. Paciente
ativo e alerta, sem evidências de fraturas ósseas. Radiografia de abdômen evidenciou radiopacidade
aumentada, sugestivo de líquido livre na cavidade abdominal, o qual foi confirmado por
ultrassonografia. Foi realizada uma laparotomia exploratória abdominal, tendo sido observada
laceração do fígado, que se encontrava friável e hemorrágico. Também foi constatada uma grande
área de necrose de aspecto caseoso no lobo lateral esquerdo hepático, possivelmente anterior ao
atropelamento. Realizada lobectomia hepática. Exames bioquímicos realizados no dia 0,
imediatamente anteriores à lobectomia, indicavam atividades séricas elevadas das enzimas
ALT-alanina transaminase (1876 u/L, intervalo de referência de <102 U/L) e AST-aspartato
transaminase (1687 U/L, intervalo de referência <66 U/L). No dia 7, a atividade sérica de ALT ainda
permanecia elevada (567 U/L), enquanto a atividade sérica de AST era de 60 U/L. Com base nas
informações do caso, qual alternativa explica um motivo que poderia ser aventado para essa
discrepância nos valores de ALT e AST no dia 7?
Provas
Questão presente nas seguintes provas
No laboratório clínico veterinário, os histogramas e gráficos de dispersão devem ser avaliados em
cada rodada de contagens celulares para avaliar a performance da análise para cada amostra. As
imagens abaixo são do analisador hematológico ProCyte Dx (Idexx Laboratories):
Comparando os gráficos 3, 4 e 5 com as referências (Gráficos 1 e 2), analise as assertivas a seguir:
I. No gráfico 3, pode-se observar que há uma anemia com tendência a uma população eritrocitária microcítica, além de leucocitose.
II. No gráfico 3, os pontos em roxo representam os reticulócitos, e o fato de estarem mais deslocados para a esquerda significa que estão mais maduros do que as células do mesmo tipo classificadas mais à direita do gráfico.
III. O gráfico 4 demonstra uma imagem de dispersão normal em número da população leucocitária da amostra. A área em vermelho apresentada no topo do gráfico é esperada para uma população normal de monócitos.
IV. A representação da classificação celular do gráfico 5 demonstra que o equipamento não teve a habilidade de classificar adequadamente os tipos celulares pela presença de alterações morfológicas nos neutrófilos e linfócitos.
V. O gráfico 5 é de uma amostra com leucopenia e neutropenia, além de discretas linfocitose e monocitose.
Quais estão corretas?
Comparando os gráficos 3, 4 e 5 com as referências (Gráficos 1 e 2), analise as assertivas a seguir:
I. No gráfico 3, pode-se observar que há uma anemia com tendência a uma população eritrocitária microcítica, além de leucocitose.
II. No gráfico 3, os pontos em roxo representam os reticulócitos, e o fato de estarem mais deslocados para a esquerda significa que estão mais maduros do que as células do mesmo tipo classificadas mais à direita do gráfico.
III. O gráfico 4 demonstra uma imagem de dispersão normal em número da população leucocitária da amostra. A área em vermelho apresentada no topo do gráfico é esperada para uma população normal de monócitos.
IV. A representação da classificação celular do gráfico 5 demonstra que o equipamento não teve a habilidade de classificar adequadamente os tipos celulares pela presença de alterações morfológicas nos neutrófilos e linfócitos.
V. O gráfico 5 é de uma amostra com leucopenia e neutropenia, além de discretas linfocitose e monocitose.
Quais estão corretas?
Provas
Questão presente nas seguintes provas
As inclusões neutrofílicas azul-esverdeadas (também conhecidas como inclusões
críticas ou grânulos da morte) raramente são observadas em esfregaços sanguíneos e estão
fortemente associadas à alta taxa de mortalidade em humanos. Sobre essas inclusões em cães,
assinale a alternativa correta.
Provas
Questão presente nas seguintes provas
Em algumas anemias não regenerativas, a citologia da medula óssea (mielograma)
deve ser realizada para determinar a causa da anemia. Algumas condições medulares não apresentam
alterações exatamente específicas na medula óssea, e por isso devem ser interpretadas pelo conjunto
das alterações na medula. Com base nisso, um cão de 5 anos de idade apresentando anemia
normocítica normocrômica persistente foi submetido à coleta de medula óssea (úmero direito). No
exame, foram observados os seguintes achados: celularidade de 40 a 45%, estoques de ferro (Fe)
discretamente elevados, maturação ordenada e completa das linhagens mieloide e megacariocítica,
hiperplasia relativa da linhagem eritroide, linhagem eritroide com desvio à esquerda, contagem de
blastos de 10%, relação M:E normal, hiperplasia plasmocítica e linfocítica, fagocitose de rubrícitos e
de ocasionais eritrócitos maduros. Com base nas alterações observadas na medula, qual é o provável
diagnóstico?
Provas
Questão presente nas seguintes provas
A análise do liquor é uma importante ferramenta para auxiliar no diagnóstico de
enfermidades que afetam o Sistema Nervoso Central (SNC). Sobre esse assunto, assinale a alternativa
INCORRETA.
Provas
Questão presente nas seguintes provas
Sobre técnicas de colheita de amostras para o exame citológico, assinale a alternativa
INCORRETA.
Provas
Questão presente nas seguintes provas
As avaliações citológicas da doença inflamatória das vias aéreas são as principais
aplicações do lavado broncoalveolar (LBA) na clínica médica de animais domésticos. Sobre essa análise
laboratorial, é correto afirmar que:
Provas
Questão presente nas seguintes provas
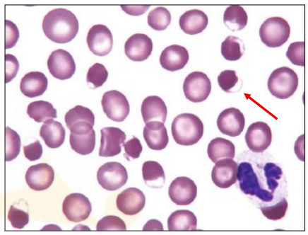
Chega ao laboratório clínico uma amostra de sangue de um cão. No esfregaço
sanguíneo, é observada a imagem abaixo:
Identifique a célula sinalizada pela seta vermelha.
Identifique a célula sinalizada pela seta vermelha.
Provas
Questão presente nas seguintes provas
Sobre os produtos de degradação de fibrina ou fibrinogênio (PDFs) e D-dímeros, é
correto afirmar que:
Provas
Questão presente nas seguintes provas
Sobre a citopatologia de neoplasias cutâneas e subcutâneas, é INCORRETO afirmar
que:
Provas
Questão presente nas seguintes provas
Cadernos
Caderno Container