Foram encontradas 2.200 questões.

Julgue os itens subseqüentes, quanto às idéias, à tipologia textual e à grafia do texto Lição de sabedoria.
O título justifica-se porque, em função dos fatos narrados, depreende-se que o mundo só estará concertado quando houver harmonia entre os homens.
Provas
Um médico, na avaliação de paciente com suspeita de coagulopatia e sangramentos, solicitou os seguintes exames laboratoriais: hematócrito, hemoglobina, contagem de eritrócitos, leucograma, velocidade de hemossedimentação, tempo de trombina, tempo de tromboplastina parcial, tempo de tromboplastina parcial ativada, tempo de protrombina; fezes — parasitológico e pesquisa de sangue oculto.
Em face da situação acima descrita e de assuntos a ela relacionados, julgue os itens a seguir.
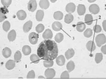
Na figura abaixo, os algarismos de 1 a 3 correspondem, respectivamente, a granulócito, plaquetas e eritrócito.

Provas
Material recebido em laboratório para análise microbiológica por bacterioscopia, cultura e antibiograma revelou a presença de Staphylococcus sp. O material é proveniente de swab coletado de ferida cirúrgica que apresenta resposta inflamatória intensa e secreção purulenta. Como o objetivo do médico era identificar o foco infeccioso, e havia suspeita de infecção urinária, também foram solicitados EAS e urocultura.
Acerca da situação acima e de informações a ela relacionadas, julgue o item que se segue.
A figura abaixo é compatível com a morfologia do microrganismo identificado na secreção.

Provas

Ministério da Saúde-Comissão Nacional de Prevenção do Cólera.
Cólera: manual de diagnóstico laboratorial. Brasília: MS-CNPC, 1992 (com adaptações).
A figura acima mostra um esquema de processo de isolamento e identificação de Vibrio cholerae em amostras de fezes. Com base nesse esquema, julgue o item subseqüente.
A e B correspondem aos tipos Inaba e Ogawa, determinados pela sorotipagem.
Provas

Ministério da Saúde-Comissão Nacional de Prevenção do Cólera.
Cólera: manual de diagnóstico laboratorial. Brasília: MS-CNPC, 1992 (com adaptações).
A figura acima mostra um esquema de processo de isolamento e identificação de Vibrio cholerae em amostras de fezes. Com base nesse esquema, julgue o item subseqüente.
Z corresponde ao plaqueamento.
Provas

Ministério da Saúde-Comissão Nacional de Prevenção do Cólera.
Cólera: manual de diagnóstico laboratorial. Brasília: MS-CNPC, 1992 (com adaptações).
A figura acima mostra um esquema de processo de isolamento e identificação de Vibrio cholerae em amostras de fezes. Com base nesse esquema, julgue o item subseqüente.
O repique em TCBS-ágar deverá permanecer incubado por 2-4 horas a 25 ºC.
Provas
Nas áreas endêmicas de malária, os princípios que fundamentavam os programas de sua erradicação, no passado, eram os seguintes:
I a transmissão da malária é fundamentalmente intradomiciliar;
II a malária humana não tem reservatórios animais e, portanto, o esgotamento do parasita no homem, naturalmente ou por medicação, leva à interrupção da transmissão;
III a disponibilidade de um inseticida de efeito residual, de ação por contato superficial — o DDT — viabiliza a eliminação de mosquitos infectados nas zonas endêmicas.
Idem, ibidem.
A partir das informações do texto acima, e dos conhecimentos acerca desse assunto, julgue o item que se segue.
O inseticida citado no princípio III é comercialmente utilizado no Brasil.
Provas
Nas áreas endêmicas de malária, os princípios que fundamentavam os programas de sua erradicação, no passado, eram os seguintes:
I a transmissão da malária é fundamentalmente intradomiciliar;
II a malária humana não tem reservatórios animais e, portanto, o esgotamento do parasita no homem, naturalmente ou por medicação, leva à interrupção da transmissão;
III a disponibilidade de um inseticida de efeito residual, de ação por contato superficial — o DDT — viabiliza a eliminação de mosquitos infectados nas zonas endêmicas.
Idem, ibidem.
A partir das informações do texto acima, e dos conhecimentos acerca desse assunto, julgue o item que se segue.
A execução de planos de combate à malária com base no princípio III constitui risco às cadeias alimentares na natureza.
Provas
Nas áreas endêmicas de malária, os princípios que fundamentavam os programas de sua erradicação, no passado, eram os seguintes:
I a transmissão da malária é fundamentalmente intradomiciliar;
II a malária humana não tem reservatórios animais e, portanto, o esgotamento do parasita no homem, naturalmente ou por medicação, leva à interrupção da transmissão;
III a disponibilidade de um inseticida de efeito residual, de ação por contato superficial — o DDT — viabiliza a eliminação de mosquitos infectados nas zonas endêmicas.
Idem, ibidem.
A partir das informações do texto acima, e dos conhecimentos acerca desse assunto, julgue o item que se segue.
O princípio III ainda hoje é válido e a aplicação de inseticida de efeito residual tem sido um instrumento altamente eficaz no combate à malária.
Provas
Nas áreas endêmicas de malária, os princípios que fundamentavam os programas de sua erradicação, no passado, eram os seguintes:
I a transmissão da malária é fundamentalmente intradomiciliar;
II a malária humana não tem reservatórios animais e, portanto, o esgotamento do parasita no homem, naturalmente ou por medicação, leva à interrupção da transmissão;
III a disponibilidade de um inseticida de efeito residual, de ação por contato superficial — o DDT — viabiliza a eliminação de mosquitos infectados nas zonas endêmicas.
Idem, ibidem.
A partir das informações do texto acima, e dos conhecimentos acerca desse assunto, julgue o item que se segue.
A precariedade das habitações contribuiu para descaracterizar o princípio I.
Provas
Caderno Container