Foram encontradas 80 questões.
No que diz respeito ao planejamento e orçamento previstos na Lei Orgânica da Saúde (Lei nº 8.080/90), assinale a alternativa correta.
Provas
- SUSLei 8.080/1990: Lei Orgânica da SaúdeSistema Único de SaúdeSubsistemasArt.19-J e 19-L: Subsistema de Acompanhamento Durante o Trabalho de Parto
Acerca do Subsistema de Acompanhamento Durante o Trabalho de Parto, Parto e Pós-Parto Imediato previsto na Lei Orgânica da Saúde (Lei nº 8.080/90), assinale a alternativa correta.
Provas
De acordo com a Resolução nº 553/2017 do Conselho Nacional de Saúde, que dispõe sobre a carta dos direitos e deveres da pessoa usuária da saúde, assinale a alternativa incorreta.
Provas
Com relação aos serviços privados de assistência à saúde e as disposições da Lei Orgânica da Saúde (Lei nº 8.080/90), analise as afirmativas abaixo.
I. Quando as suas disponibilidades forem insuficientes para garantir a cobertura assistencial à população de uma determinada área, o Sistema Único de Saúde poderá recorrer aos serviços ofertados pela iniciativa privada.
II. A participação complementar dos serviços privados será formalizada mediante contrato ou convênio, observadas, a respeito, as normas de direito público.
III. Aos proprietários, administradores e dirigentes de entidades ou serviços contratados é vedado exercer cargo de chefia ou função de confiança no Sistema Único de Saúde.
Estão corretas as afirmativas:
Provas
- SUSLei 8.080/1990: Lei Orgânica da SaúdeSistema Único de SaúdeSubsistemasArts. 19-A ao 19-H: Subsistema de Atenção à Saúde Indígena
De acordo com a Lei Orgânica da Saúde (Lei nº 8.080/90) e as disposições sobre o Subsistema de Atenção à Saúde Indígena, analise as afirmativas abaixo e dê valores de Verdadeiro (V) ou Falso (F).
( ) Caberá à União, com seus recursos próprios, financiar o Subsistema de Atenção à Saúde Indígena.
( ) Os Estados, Municípios, outras instituições governamentais e não-governamentais poderão atuar complementarmente no custeio e execução das ações.
( ) As populações indígenas devem ter acesso garantido ao SUS, em âmbito local, regional e de centros especializados, de acordo com suas necessidades, compreendendo apenas a atenção primária à saúde.
Assinale a alternativa que apresenta a sequência correta de cima para baixo.
Provas
Em relação ao tratamento da osteoporose, assinale a alternativa que apresenta uma medicação para a qual pode ser realizado “Drug Holiday” durante o tratamento.
Provas
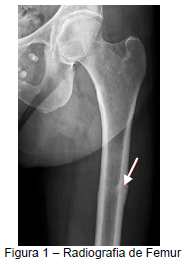
L.M.F, 60 anos, feminino, queixa dor persistente em quadril esquerdo de início há meses. Nega ter apresentado trauma local ou outros sintomas associados. Familiares sem histórico de fratura óssea, nega tabagismo, nega doenças associadas e nega uso prévio de corticoides. Relata que aos 50 anos realizou Densitometria Mineral Óssea sendo encontrado naquela ocasião: L1-L4: T Score -2,0. Fêmur total: T Score -1,7. Colo do fêmur: T Score -1,5. Devido a este exame, seu ginecologista iniciou alendronato 70mg uma vez por semana, medicação que vem em uso contínuo desde então. Você solicita nova densitometria óssea: L1-L4: T Score -1,5. Fêmur total: T Score -1,5. Colo do fêmur: T Score -1,5 e radiografia de fêmur (representada na Figura), cujo laudo apontava “reação de stress cortical com consequente espessamento, abaixo do trocanter menor”. Considerando o provável diagnóstico, assinale a conduta mais adequada neste contexto.

Provas
Em relação aos medicamentos utilizados no tratamento da osteoporose, assinale a alternativa que apresenta a associação correta entre a droga e seu mecanismo de ação.
Provas
M.L.S, 35 anos, feminino, 60kg, queixa parestesias e fraqueza há alguns anos. Procura atendimento porque recentemente apresentou contratura espontânea da mão, o que lhe causou preocupação. Ao questionamento, relata que sintomas iniciaram após tratamento cirúrgico de Doença de Graves, realizado há 3 anos. Desde a cirurgia utiliza apenas Levotiroxina 100mcg. Ao exame físico, sinal de Trosseau e Chvostek presentes. Em relação ao provável diagnóstico, assinale a alternativa incorreta.
Provas
F.J, 45 anos, 60kg, feminino, encaminhada ao endocrinologista devido a alteração de PTH e níveis de cálcio. Você solicita novamente exames de metabolismo ósseo, confirmando: Cálcio total 10,7mg/dL (VR 8,5-10,2mg/dL), fósforo 2,7 mg/dL (VR 2,5-4,5 mg/dL), PTH 90 pg/mL (VR 15-65pg/mL), creatinina 0,6mg/dL, albumina 4,2 g/dL (VR 3,5-5,2), cálcio urinário de 24h 100mg, creatina urinária de 24h 1000mg. Em relação a este caso, assinale a alternativa correta.
Provas
Caderno Container