Foram encontradas 600 questões.
Mulher de 47 anos é avaliada por um histórico de três
anos de dor em todos os músculos e articulações. Ela
é motorista de caminhão comercial. Seu sono é ruim, e
ela acorda sem se sentir revigorada. O questionário diagnóstico de fibromialgia é preenchido e atende aos critérios para fibromialgia. Refere ansiedade e depressão,
com histórico de transtorno por abuso de opioides. Nega
uso de medicamentos. Os sinais vitais são normais. Os
achados do exame físico limitam-se a uma sensibilidade
muscular generalizada com força normal. A avaliação
laboratorial revela uma velocidade de hemossedimentação de 19 mm/h, nível de proteína C reativa sanguínea
de 0,3 mg/L (normal: < 1 mg/L) e TSH de 1,6 mU/mL (normal: 0,5 a 5,0). Exercícios aeróbicos de baixo impacto
são recomendados.
Uma vez optado por tratamento farmacológico, a medicação de escolha é
Uma vez optado por tratamento farmacológico, a medicação de escolha é
Provas
Questão presente nas seguintes provas
Homem de 20 anos apresenta quadro de poliartralgias
há seis meses. Os sintomas começaram após uma viagem às praias do Nordeste durante o verão e incluem
rigidez e inchaço intermitente nas mãos, especialmente
após o repouso e pela manhã. Ele se sente mais cansado e precisa dormir durante o dia. Relata também perda
de cabelo irregular. O histórico é positivo para infecções
sinusais frequentes desde uma hospitalização por pneumonia há um ano. Refere tomar ibuprofeno 400 mg duas
vezes ao dia, o que alivia os sintomas. Os exames básicos revelam anemia hemolítica e linfopenia discreta, com
anormalidades leves nos testes de função hepática, com
função renal normal.
Com o objetivo de identificar o diagnóstico subjacente, deve ser solicitado exame de
Com o objetivo de identificar o diagnóstico subjacente, deve ser solicitado exame de
Provas
Questão presente nas seguintes provas
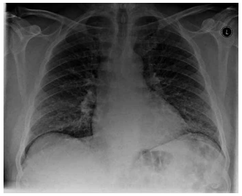
Homem de 50 anos é internado com quadro de tosse há
duas semanas, com expectoração clara associada a febre, anorexia e mal-estar. Não há antecedente mórbido,
mas é fumante atual de vinte cigarros por dia há vinte
anos. Ao exame físico: SatO2: 91% em ar ambiente; taquipneico; há sibilos bilaterais leves à ausculta. Exames
séricos à chegada: proteína C reativa: 170 mg/L (normal:
até 10); hemoglobina: 11,7 g/dL; neutrófilos: 24.000/mm3.
A radiografia de tórax do paciente na admissão é mostrada a seguir:
(Arquivo pessoal; imagem usada com autorização)
No quinto dia de internação, a hemoglobina é 6,7 g/dL (normocrômico e normocítico). O esfregaço sanguíneo mostra acentuada aglutinação de hemácias com esferócitos, policromasia e hemácias nucleadas. Demais exames séricos: reticulócitos: 10%; lactato desidrogenase: 910 U/L; bilirrubina direta: 3,7 mg/dL; teste de antiglobulina direta é fortemente positivo (4+) para anti-C3d, mas negativo para anti-IgG.
Com esses dados descritos, qual é a principal hipótese diagnóstica ?
(Arquivo pessoal; imagem usada com autorização)
No quinto dia de internação, a hemoglobina é 6,7 g/dL (normocrômico e normocítico). O esfregaço sanguíneo mostra acentuada aglutinação de hemácias com esferócitos, policromasia e hemácias nucleadas. Demais exames séricos: reticulócitos: 10%; lactato desidrogenase: 910 U/L; bilirrubina direta: 3,7 mg/dL; teste de antiglobulina direta é fortemente positivo (4+) para anti-C3d, mas negativo para anti-IgG.
Com esses dados descritos, qual é a principal hipótese diagnóstica ?
Provas
Questão presente nas seguintes provas
Mulher de 53 anos, com histórico de hipotireoidismo e
doença celíaca, é atendida no ambulatório por diarreia
há um ano. Ela apresenta dez evacuações líquidas
por dia, com episódios ocasionais de incontinência. Há
dois dias, apresentou quadro de distensão abdominal
e diarreia, ocasião em que a endoscopia digestiva alta
revelou achatamento das vilosidades do duodeno e as
biópsias confirmaram o diagnóstico de doença celíaca.
A distensão abdominal melhorou com uma dieta sem glúten e também houve melhora da diarreia. A repetição da
endoscopia digestiva alta no mês passado mostrou vilosidades normais, e as biópsias não apresentaram alterações, mas ela continua com diarreia com uma dieta sem
glúten. A transglutaminase tecidual sérica e os exames
fecais são normais. A colonoscopia é realizada na semana anterior, revelando mucosa colônica e íleo terminal
normais. Ela se sente bem, e a única medicação em uso
é levotiroxina.
Com maior probabilidade, a causa mais provável da diarreia é
Com maior probabilidade, a causa mais provável da diarreia é
Provas
Questão presente nas seguintes provas
Mulher de 32 anos, primigesta, grávida de 10 semanas,
apresenta quadro de dois dias consistindo de dor abdominal aguda do lado direito associada a febre e hematúria. Ao exame físico: temperatura: 38 ºC; pressão arterial: 110 x 70 mmHg; abdome: dor em flanco esquerdo.
Creatinina sérica: 1,24 mg/dL. Ultrassonografia dos rins:
hidronefrose do lado direito com um cálculo de 9 mm na
pelve renal; rim esquerdo normal. Ceftriaxona intravenosa é iniciada.
O próximo passo mais apropriado no manejo dessa paciente é
O próximo passo mais apropriado no manejo dessa paciente é
Provas
Questão presente nas seguintes provas
Mulher de 27 anos se apresenta para acompanhamento
de hipotireoidismo primário devido à tireoidite de Hashimoto. A patologia foi diagnosticada há quatro anos, e a
levotiroxina foi iniciada na época. Embora os valores séricos de TSH da paciente tenham se normalizado após o
início da levotiroxina, ela relata intolerância persistente
ao frio, fadiga e dificuldade de concentração. O regime foi
posteriormente transferido para terapia combinada com
levotiroxina (100 mcg por dia) e liotironina (5 mcg duas
vezes ao dia). Após o início desse novo regime, seus sintomas desapareceram, e ela permanece com o mesmo
tratamento. Ela tomava pílula anticoncepcional oral, mas
parou há dois meses devido ao desejo de engravidar.
A última menstruação foi há três dias. Ao exame físico:
IMC: 25,8 kg/m2; pressão arterial: 112 x 65 mmHg;
frequência cardíaca: 62 bpm; a glândula tireoide é normal à palpação, sem nódulos; os reflexos são 2+ e
simétricos em todos os aspectos. Exames séricos atuais:
2,8 TSH: mUI/L (normal: 0,5 a 5,0 mUI/L). O teste de gravidez é negativo.
O próximo passo de escolha no manejo dessa paciente é
O próximo passo de escolha no manejo dessa paciente é
Provas
Questão presente nas seguintes provas
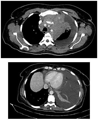
Mulher de 52 anos apresenta quadro de quatro semanas
de dispneia progressiva, dor torácica do lado esquerdo
e tosse seca. O histórico é relevante para histerectomia
para miomas uterinos há três anos. A oximetria de pulso
é de 93% em ar ambiente. Exames séricos: hemoglobina: 9,8 g/dL; d-dímero: 770 ng/mL. O ultrassom mostra
derrame pleural esquerdo, e a toracocentese revela:
líquido amarelado e levemente turvo; proteína: 6,1 g/dL;
lactato desidrogenase: 5.910 UI/L; pH: 7,44; adenosina deaminase: 12,1 UI/L; contagem de leucócitos:
157.109 células/mm3
(78% linfócitos); coloração de Gram
e cultura para bactérias e fungos permanecem negativos;
a citologia mostra linfócitos abundantes sem células malignas. Imagens da tomografia realizada são mostradas
a seguir:
(Arquivo pessoal; imagem usada com autorização)
Considerando a principal hipótese diagnóstica, o exame que mais provavelmente pode estabelecer o diagnóstico é
(Arquivo pessoal; imagem usada com autorização)
Considerando a principal hipótese diagnóstica, o exame que mais provavelmente pode estabelecer o diagnóstico é
Provas
Questão presente nas seguintes provas
Homem de 26 anos apresenta quadro progressivo de
cefaleia, calafrios, febre e rigidez de nuca há oito dias. Não
há histórico médico significativo. Ele fuma um maço por
dia, bebe três cervejas diariamente e tem relações sexuais
desprotegidas com múltiplos parceiros do sexo masculino
(cerca de cinco a seis parceiros no último ano). O paciente
trabalha em empresa de pintura comercial e recentemente
concluiu a limpeza e a pintura de um viaduto. Ao exame físico: temperatura: 39,4 °C; frequência cardíaca: 110 bpm;
pressão arterial: 102 x 62 mmHg; frequência respiratória:
18 irpm; SatO2: 95% em ar ambiente. Tomografia de crânio sem contraste: sem alteração relevante. Uma punção
lombar com análise do líquor é realizada e mostra: pressão de abertura: 40 cmH2O; contagem de leucócitos:
40/mm3
(21% de polimorfonucleares e 79% de células
mononucleares); adenosina deaminase: 2,9 U/L; glicose:
30 mg/dL; proteínas: 102 mg/dL.
A principal hipótese diagnóstica é
A principal hipótese diagnóstica é
Provas
Questão presente nas seguintes provas
Homem de 70 anos é avaliado para investigação de anormalidades urinárias. O histórico é positivo para hipertensão arterial e diabetes mellitus tipo 2 complicada por retinopatia, tratada com fotocoagulação a laser há um ano.
Os medicamentos em uso são: insulina, ramipril, anlodipino, atorvastatina e doxazosina. Ele consome dezesseis latas de cerveja por semana e fuma dez cigarros
por dia há 45 anos. Ao exame físico: pressão arterial:
151 x 88 mmHg; frequência cardíaca: 72 bpm; o restante
do exame não é contributivo. Exames séricos: creatinina:
2,6 mg/dL; hemoglobina A1c: 10,5%. Razão proteína urinária/creatinina: 192 mg/mmol (normal: < 30). O exame
de urina é positivo para sangue 3+ e proteína 1+ (semelhante em exames repetidos); leucócitos: 3 por campo (normal: até 10); hemácias: acima de 100 por campo
(normal: até 5). Ultrassonografia de abdome: rim esquerdo: 9 cm; rim direito: 8 cm; não há obstrução.
Constitui o próximo passo diagnóstico de maior relevância:
Constitui o próximo passo diagnóstico de maior relevância:
Provas
Questão presente nas seguintes provas
Homem de 31 anos é avaliado após um diagnóstico
recente de espondilite anquilosante. Ele apresenta dor
lombar e pélvica que interrompe seu sono. O paracetamol
não ajudou. Ao exame físico: os sinais vitais são normais;
o teste Faber (flexão, abdução e rotação externa) do quadril revela dor em ambas as articulações sacroilíacas; a
amplitude de movimento da coluna lombar é ligeiramente
limitada; há boa amplitude de movimento da coluna cervical e das articulações periféricas, incluindo os quadris;
não há edema ou sensibilidade nas articulações periféricas. Radiografias da coluna lombar mostram sacroileíte
bilateral. O paciente é encaminhado para fisioterapia.
Nesse momento, o tratamento adicional mais adequado é o uso de
Nesse momento, o tratamento adicional mais adequado é o uso de
Provas
Questão presente nas seguintes provas
Cadernos
Caderno Container