Foram encontradas 600 questões.
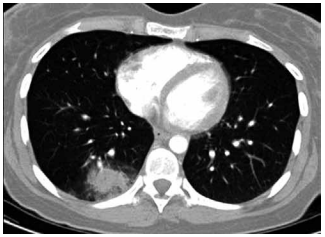
Mulher de 72 anos é atendida em consulta de retorno. O
histórico é positivo para tabagismo de 25 anos-maço e
DPOC (grau 3; grupo B). Recentemente, ela teve pneumonia com infiltrado persistente no lobo inferior direito
observado na radiografia de tórax. A paciente foi tratada
com antibiótico. Seu peso permaneceu estável, e ela não
apresentou febre ou sudorese noturna. Após seis semanas, uma radiografia de tórax de acompanhamento não
apresentou alterações. Uma tomografia é então realizada
e mostrada a seguir (a parte sólida do nódulo é de 7 mm):
(Arquivo pessoal; imagem usada com autorização)
Quanto a essa paciente, o próximo passo mais apropriado é
(Arquivo pessoal; imagem usada com autorização)
Quanto a essa paciente, o próximo passo mais apropriado é
Provas
Questão presente nas seguintes provas
Mulher de 38 anos, sem histórico médico prévio, procura
o pronto-socorro com queixa de falta de ar e palpitações
há dois dias. O eletrocardiograma mostra bloqueio do
ramo direito e bloqueio fascicular anterior esquerdo. A angiotomografia de tórax é negativa para embolia pulmonar.
O ecocardiograma revela: disfunção ventricular esquerda
(VE) com fração de ejeção de 35%; tamanho normal de
VE; espessura septal de VE de 1,4 cm. Ela é internada
e inicia o tratamento com inibidor da ECA oral e furosemida intravenosa. Nos dois dias subsequentes, apesar
da diurese, a dispneia piora. A telemetria mostra vários
episódios de taquicardia ventricular não sustentada, e a
troponina I é de 0,81 ng/mL (normal: < 0,03 ng/mL). No
quarto dia de internação, ela desenvolve hipotensão progressiva, o que leva à transferência para a unidade de
terapia intensiva. Um novo ecocardiograma mostra uma
fração de ejeção de VE de 20%.
O teste diagnóstico mais apropriado nesse momento é
O teste diagnóstico mais apropriado nesse momento é
Provas
Questão presente nas seguintes provas
Mulher de 25 anos é avaliada por causa de uma mudança
de personalidade nos últimos seis meses, relatada pelo
marido. Ele afirma que ela frequentemente fica excessivamente preocupada com um único tema, muitas vezes
de natureza religiosa (não era uma pessoa religiosa anteriormente). Refere que ela frequentemente persevera em
um tema enquanto fala e que é excessivamente inclusiva
em suas descrições. Por fim, ele observa que, embora
antes os dois tivessem uma vida sexual satisfatória, agora a paciente parece não ter nenhum desejo sexual. O
médico também considera a paciente muito intensa emocionalmente. O exame físico é normal.
Quanto a essa paciente, a principal hipótese diagnóstica é
Quanto a essa paciente, a principal hipótese diagnóstica é
Provas
Questão presente nas seguintes provas
Homem de 55 anos, com histórico de abuso de álcool,
apresenta piora da dor epigástrica nos últimos dois dias.
O abdome está sensível à palpação no epigástrio. Os
exames laboratoriais revelam elevação da amilase e da
lipase. A tomografia revela pancreatite intersticial com
alterações inflamatórias peripancreáticas sem necrose. O paciente é internado, recebe fluidos intravenosos,
analgesia e é mantido sem outra medicação. Ele melhora
nas 72 horas seguintes e recebe alta. Dois meses após, é
atendido em consulta de retorno e relata desconforto epigástrico leve, sem náuseas, vômitos ou perda de peso.
Uma nova tomografia revela uma nova lesão cística de
baixa atenuação, com uma parede fina adjacente ao
corpo do pâncreas, medindo 7 cm.
O próximo passo mais apropriado na condução clínica desse paciente é
O próximo passo mais apropriado na condução clínica desse paciente é
Provas
Questão presente nas seguintes provas
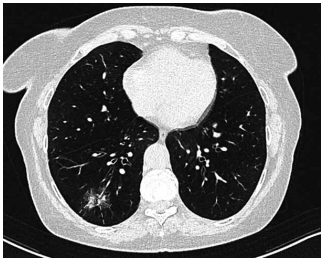
Mulher de 31 anos, recentemente diagnosticada com
leucemia mieloide aguda, é internada com neutropenia
febril doze dias após o primeiro ciclo de quimioterapia de
consolidação com citarabina em altas doses. Ela é tratada adequadamente com cefepima intravenosa. Sete
dias após, as hemoculturas são negativas e a contagem
de leucócitos está começando a se recuperar. Ela agora
apresenta febre de 38 °C, tosse e desconforto torácico
pleurítico. Os níveis séricos de galactomanana e beta-glucana estão elevados. A tomografia de tórax realizada
agora é mostrada a seguir:
(Arquivo pessoal; imagem usada com autorização)
Com maior probabilidade, o diagnóstico é de
(Arquivo pessoal; imagem usada com autorização)
Com maior probabilidade, o diagnóstico é de
Provas
Questão presente nas seguintes provas
Homem de 67 anos, com histórico de doença arterial
coronariana, para a qual foi submetido à cirurgia de revascularização do miocárdio há cinco anos, realiza um
ecocardiograma que mostra um ventrículo esquerdo (VE)
levemente aumentado com fração de ejeção de VE de
25%. Ele consegue se exercitar quatro vezes por semana
durante uma hora e também faz caminhadas por algumas horas todos os fins de semana. Ele está em terapia
medicamentosa com doses otimizadas de carvedilol, lisinopril, espironolactona, aspirina e atorvastatina. O eletrocardiograma mostra ritmo sinusal com bloqueio de ramo
direito e duração do QRS de 138 ms.
A recomendação de escolha para esse paciente é
A recomendação de escolha para esse paciente é
Provas
Questão presente nas seguintes provas
Homem de 55 anos, com hipertensão arterial e apneia
obstrutiva do sono, é encaminhado para avaliação de
doença arterial periférica (DAP) após ser submetido a
índices tornozelo-braquiais (ITBs). Ele não se exercita
regularmente, mas consegue realizar as atividades
diárias sem limitações. Os medicamentos em uso são:
aspirina em baixa dose e anlodipino (10 mg/dia). Ao exame físico: frequência cardíaca: 68 bpm; pressão arterial:
118 x 70 mmHg; IMC: 32 kg/m2; não há sopros cardíacos, e os pulmões estão limpos à ausculta; as extremidades estão quentes, sem edema; os pulsos pedioso e
tibial posterior são 1+ à direita e normais à esquerda; os
pulsos femoral e poplíteo são 2+ bilateralmente. Exames
séricos: sódio: 142 mEq/L; potássio: 4,0 mEq/L; creatinina: 1,0 mg/dL; hemoglobina A1c: 5,9%; colesterol total:
158 mg/dL; HDL: 38 mg/dL; LDL: 71 mg/dL; triglicerídeos:
250 mg/dL; aspartato aminotransferase: 42 U/L; alanina
aminotransferase: 56 U/L. Os ITBs são 1,1 à esquerda e
0,8 à direita.
O medicamento que mais provavelmente trará maior benefício e esse paciente é a
O medicamento que mais provavelmente trará maior benefício e esse paciente é a
Provas
Questão presente nas seguintes provas
Homem de 53 anos está interessado em fazer cirurgia
bariátrica. Relata que consegue perder peso ao seguir
uma dieta estruturada e uma rotina de atividade física,
mas recupera peso quando não segue o plano de forma
consistente. Ele se descreve como um comedor emocional. Várias vezes por mês, ele se envolve em uma “compulsão alimentar”, quando come grandes quantidades de
comida. Refere que não tem controle sobre sua ingestão
alimentar durante esses episódios e se sente culpado
depois, mas não falou sobre esses episódios com ninguém e teme que o ganho de peso contínuo possa afetar negativamente sua saúde. Ao exame físico: pressão
arterial: 142 x 82 mmHg; frequência cardíaca: 70 bpm;
altura: 161,3 cm; peso: 106,1 kg; não há edema periférico; a circunferência abdominal é aumentada, com
extremidades relativamente magras; ausência de gordura dorsocervical. Medicamentos em uso: lisinopril
(20 mg/ dia); atorvastatina (20 mg/ dia); mirtazapina
(45 mg ao deitar para insônia); omeprazol (20 mg/ dia).
Além de uma avaliação psicológica, o próximo passo de escolha é
Além de uma avaliação psicológica, o próximo passo de escolha é
Provas
Questão presente nas seguintes provas
Mulher de 81 anos, com antecedentes de doença renal crônica (creatinina: 3,1 mg/dL), hipertensão arterial e diabetes tipo 2,
é atendida no serviço de urgência com queixa de múltiplos episódios de dor torácica retroesternal opressiva intermitente
nas últimas 24 horas. Refere que o último episódio ocorreu há quatro horas, durou sessenta minutos, mas atualmente
encontra-se assintomática. Ao exame físico, apresenta-se confortável, corada, eupneica; pressão arterial: 145 x 88 mmHg;
frequência cardíaca: 78 bpm; saturação de oxigênio de 98% em ar ambiente; peso: 52 kg; cardiopulmonar sem alteração
relevante. A troponina I de chegada é de 342 ng/L (normal: até 14). Hemoglobina sérica: 9,8 g/dL. O eletrocardiograma
realizado à chegada é mostrado a seguir:
(Arquivo pessoal; imagem usada com autorização)
Quanto a essa paciente, é correto afirmar:
(Arquivo pessoal; imagem usada com autorização)
Quanto a essa paciente, é correto afirmar:
Provas
Questão presente nas seguintes provas
Homem de 21 anos é internado em um centro de desintoxicação devido ao uso de drogas injetáveis com heroína. Ele
relata mal-estar, mas não apresenta febre ou tosse. Ao exame físico: temperatura: 37,1 ºC; pressão arterial: 162 x 82
mmHg; frequência cardíaca: 100 bpm; pele: cicatrizes eritematosas nas mãos e nos braços. Um teste tuberculínico (TT)
é administrado e lido em 48 horas. A área endurecida tem 8 mm de diâmetro, e o eritema tem 15 mm de diâmetro. As
sorologias virais são negativas.
A conduta recomendada é
A conduta recomendada é
Provas
Questão presente nas seguintes provas
Cadernos
Caderno Container