Paciente de 59 anos, com trombocitemia essencial JAK2-
-positiva, é reavaliado em consulta de retorno. O histórico é negativo para evento tromboembólico. Ele não toma
medicamentos e não tem outros problemas médicos. Hemograma atual: contagem de plaquetas: 1.350.000/mm3;
leucograma e hemoglobina: normais. Constitui a próxima conduta correta:
Homem de 65 anos, com hepatite B crônica e cirrose,
é avaliado no consultório. Ele não está em tratamento
para hepatite B. A ultrassonografia abdominal recente
não mostra nenhuma lesão suspeita no fígado. Exames
séricos: aspartato aminotransferase: 45 U/L; alanina aminotransferase: 34 U/L; razão normalizada internacional:
1,3; bilirrubina total: 1 mg/dL. Perfil sorológico da hepatite
B: HBeAg: negativo; anti-HBe: positivo; anti-HBs: negativo; HBsAg: positivo. DNA do vírus da hepatite B sérico:
3.000 UI/mL. Nesse momento, a conduta de escolha é
Mulher de 24 anos apresenta quadro de dor e edema no
braço esquerdo há cerca de um dia. O histórico é relevante para uso frequente de drogas ilícitas. Ao exame
físico, nota-se eritema na fossa antecubital esquerda e
na parte superior do braço, com dor significativa à palpação. Tomografia do braço esquerdo: há gás observado
em planos fasciais sugestivo de infecção necrotizante de
tecidos moles. Além do desbridamento cirúrgico de emergência, qual é o
regime antibiótico parenteral de escolha?
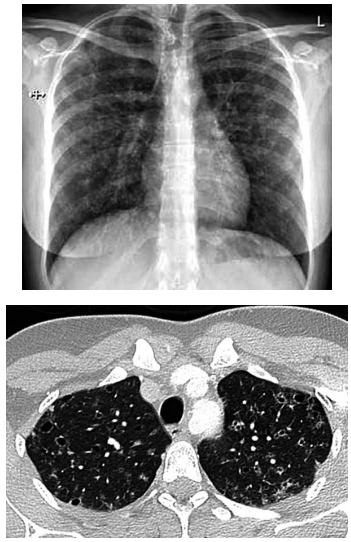
Homem de 76 anos com DPOC é atendido em consulta
de rotina. Ele é ex-fumante há quarenta anos e usa terapia inalatória combinada de tiotrópio e olodaterol. Relata piora progressiva da dispneia e aumento do volume
de escarro nos últimos seis meses, além de sudorese
noturna intermitente e mal-estar geral. Ao exame físico:
SatO2
: 94% em ar ambiente; pulmonar com murmúrio
vesicular reduzido difusamente. A espirometria mostra
(% do previsto): VEF1: 48%; capacidade vital forçada:
81%. Não há achados significativos nos exames de
sangue de rotina. Uma de três amostras de escarro
coletadas em dias separados é positiva para o complexo
Mycobacterium avium. A tomografia de tórax é mostrada
a seguir:Homem de 76 anos com DPOC é atendido em consulta
de rotina. Ele é ex-fumante há quarenta anos e usa terapia inalatória combinada de tiotrópio e olodaterol. Relata piora progressiva da dispneia e aumento do volume
de escarro nos últimos seis meses, além de sudorese
noturna intermitente e mal-estar geral. Ao exame físico:
SatO2: 94% em ar ambiente; pulmonar com murmúrio
vesicular reduzido difusamente. A espirometria mostra
(% do previsto): VEF1: 48%; capacidade vital forçada:
81%. Não há achados significativos nos exames de
sangue de rotina. Uma de três amostras de escarro
coletadas em dias separados é positiva para o complexo
Mycobacterium avium. A tomografia de tórax é mostrada
a seguir:
Considerando a principal hipótese diagnóstica, o próximo
passo mais apropriado no manejo desse paciente é
Mulher de 70 anos é avaliada devido a exames de
sangue anormais. Os antecedentes são notáveis para
hipertensão arterial, doença cardíaca isquêmica, doença
renal crônica estágio 3 e úlcera péptica prévia. Ela está
tomando ramipril, furosemida, suplementos de carbonato
de cálcio e vitamina D. Ela nega sintoma, exceto dor abdominal ocasional e dispepsia frequente. Ao exame físico, ela
está euvolêmica e a pressão arterial é de 110 x 80 mmHg.
Exames séricos: cálcio ajustado: 12,1 mg/dL (normal:
8,5 a 10,5); fosfato: 2,7 mg/dL (normal: 2,3 a 4,6);
bicarbonato: 37 mEq/L (normal: 22 a 26); proteína total:
6,0 g/dL; hormônio da paratireoide: baixo; 25-hidroxicolecalciferol: 50 ng/mL (normal: 20 a 48). Constitui a explicação mais provável para os achados
laboratoriais descritos:
Homem de 72 anos apresenta sangramento prolongado
no local da punção arterial após cateterismo cardíaco. A
heparina intravenosa é descontinuada. 24 horas depois,
ele apresenta um grande hematoma na virilha, e o local
da punção continua a apresentar sangramento, apesar
da compressão. Ele não tem histórico de sangramento
anormal. O perfil metabólico básico é normal. Outros
resultados laboratoriais mostram: hematócrito: 27% (na
admissão: 38%); plaquetas: 210.000/mm3; razão normalizada internacional: 1,2; tempo de tromboplastina parcial
ativada: 85 segundos. A próxima conduta que deve ajudar a determinar a causa
do sangramento nesse paciente é solicitar
Homem de 68 anos, com diabetes e apneia obstrutiva
do sono, desenvolve síndrome do desconforto respiratório agudo (ARDS) relacionada a quase afogamento. Isso
progride para infecção bacteriana sobreposta e sepse. A
angiotomografia de tórax é negativa para embolia pulmonar. O tratamento é realizado com vancomicina e piperacilina-tazobactam. Não há uso de droga vasopressora
e não houve hipotensão durante a evolução. 48 horas
após, ao exame físico, ele está euvolêmico; pressão
arterial: 112 x 67 mmHg; temperatura: 38 ºC. Os exames
séricos atuais são: creatinina: 2,5 mg/dL (à admissão:
0,9 mg/dL); bicarbonato: 14 mEq/L. Exame de urina: sedimento incolor, sem cilindros ou cristais. O sódio urinário
é 40 mEq/L. Qual é a etiologia mais provável para a injúria renal
aguda (IRA)?
Mulher de 45 anos, com doença de Crohn ileal fibroestenótica, é atendida com quadro de diarreia crônica. Ela
foi submetida a uma ressecção ileal há três anos para
tratamento de obstrução do intestino delgado. Há dois
meses, uma ileocectomia para obstrução recorrente foi
realizada. A revisão de suas anotações cirúrgicas indica
que aproximadamente 120 cm de íleo foram ressecados.
Desde então, ela tem evacuado diariamente, com fezes
múltiplas, soltas e fétidas. Não há hematoquezia ou melena. A paciente refere perda de peso de 3,6 kg nos últimos três meses e nega tabagismo ou consumo de álcool.
Ao exame físico: sinais vitais normais; IMC: 20 kg/m2;
abdome: notam-se cicatrizes cirúrgicas de aspecto normal, sem dor. A causa mais provável da diarreia é
Mulher de 26 anos tem história de tosse crônica com secreção amarelada associada a dispneia ao subir escadas
rapidamente. Ela fuma trinta cigarros por dia, com histórico de 13 anos-maço. Os testes de função pulmonar
revelam (% do previsto): VEF1: 94%; capacidade vital
forçada: 94%; capacidade pulmonar total: 107%; capacidade pulmonar de difusão de monóxido de carbono
(TLCO): 57%. A radiografia e tomografia realizadas são
mostradas a seguir: O exame que mais provavelmente deve confirmar a principal hipótese diagnóstica é