Magna Concursos

Foram encontradas 600 questões.

Paciente de 10 anos de idade, antecedente de diagnóstico de diabetes mellitus tipo 1 há 2 anos, chega à sala de emergência com história contada pelos pais de vômitos, dor abdominal e sonolência progressiva de inicio há 18h. Ao exame fisico: FC: 138 bpm, PA: 94/62 mmHg, FR: 32 irpm, com padrão de respiração de Kussmaul, SpO2: 97%, Glasgow 14, perfusão lentificada.
O paciente apresentava exames laboratoriais: gasometria arterial: pH: 7,08; PaCO2: 20; HCO3 : 6; AG: 28. Glicemia: 456 mg/dL. Na+ corrigido: 134 mEq/L. K+: 4,8 mEq/L. Cetose positiva. Lactato: 2,0.
As medidas iniciais foram realizadas com hidratação e insulina endovenosa, porém a criança evolui 4h depois com rebaixamento do nível de consciência, para Glasgow 10, antecedido de cefaleia intensa, sem hipotensão ou convulsão, porém com bradicardia relativa (FC: 92 bpm).
Quais são o diagnóstico da complicação e a conduta imediata?
 

Provas

Questão presente nas seguintes provas
Em um paciente com hiponatremia grave (Na < 120 mEq/L), qual sequência fisiopatológica e diagnóstica orienta a conduta inicial segundo as diretrizes?
 

Provas

Questão presente nas seguintes provas
Leia o caso clínico a seguir para responder à questão:
Paciente, sexo masculino, de 16 anos de idade, há 6 dias com febre, com melhora há 24 h, associada a cefaleia, sonolência, sangramento gengival, mialgia, vômitos, dor abdominal intermitente e tontura ao levantar, chega à UPA. Ao exame físico: PA: 100 × 66 mmHg; FC: 112 bpm; abdome com hepatomegalia 2 cm; dor à palpação em FID, sem sinais de irritação peritoneal. Petéquias discretas, prova do laço positiva. Exames complementares iniciais: Ht: 44% (prévio 38% há 48 h); Hb: 13,8 g/dL; plaquetas: 58.000/mm3; leucócitos: 3.100/mm3; Na+: 132 mEq/L; K+: 3,6; Cr: 0,8; TGO/ TGP: 68/74 U/L. Albumina: 3,1 g/dL. Ultrassom: discreto derrame pleural direito e traço de líquido livre em fossa ilíaca direita.
O paciente persiste com baixo débito urinário, perfusão periférica diminuída e hipoperfusão.

Qual é a estratégia imediata de fluidoterapia?
 

Provas

Questão presente nas seguintes provas
Leia o caso clínico a seguir para responder à questão:
Paciente, sexo masculino, de 16 anos de idade, há 6 dias com febre, com melhora há 24 h, associada a cefaleia, sonolência, sangramento gengival, mialgia, vômitos, dor abdominal intermitente e tontura ao levantar, chega à UPA. Ao exame físico: PA: 100 × 66 mmHg; FC: 112 bpm; abdome com hepatomegalia 2 cm; dor à palpação em FID, sem sinais de irritação peritoneal. Petéquias discretas, prova do laço positiva. Exames complementares iniciais: Ht: 44% (prévio 38% há 48 h); Hb: 13,8 g/dL; plaquetas: 58.000/mm3; leucócitos: 3.100/mm3; Na+: 132 mEq/L; K+: 3,6; Cr: 0,8; TGO/ TGP: 68/74 U/L. Albumina: 3,1 g/dL. Ultrassom: discreto derrame pleural direito e traço de líquido livre em fossa ilíaca direita.
Qual é a hipótese diagnóstica associada ao caso clínico?
 

Provas

Questão presente nas seguintes provas
Em emergência hipertensiva com lesão de órgão-alvo, qual meta inicial de redução pressórica é adequada?
 

Provas

Questão presente nas seguintes provas
Em pacientes com SDRA moderada a grave em ventilação mecânica invasiva, qual estratégia ventilatória está mais associada à redução de mortalidade segundo as diretrizes?
 

Provas

Questão presente nas seguintes provas
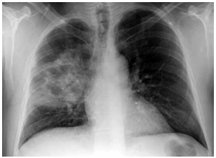
Paciente do sexo masculino, 72 anos de idade, extabagista, DPOC (GOLD II), chega ao pronto-socorro com febre, tosse purulenta, dispneia progressiva e confusão mental. Ao exame físico: PA: 82 × 50 mmHg; FC: 118 bpm; FR: 28 irpm; SpO2: 90% com cateter 3 L/min; T: 38,7 ºC; tempo de enchimento capilar de 5 s; extremidades frias. Na abordagem terapêutica inicial, o paciente recebeu ringer lactato (2.100 mL EV) em 45 minutos e antibioticoterapia de amplo espectro (piperacilina-tazobactam 4,5 g EV).

Porém, após a reposição volêmica, o paciente apresenta PA: 86 × 52 mmHg; FC: 116 bpm; saturação venosa de O2: 61%; lactato: 4,6 mmol/L (antes 4,9). Gasometria venosa: pH: 7,31; PvCO2: 46 mmHg; HCO3: 22 mEq/L. Creatinina: 2,2 mg/dL (baseline 1,0); bilirrubinas normais; leucócitos: 17.800/mm3; PCR: 22 mg/dL. Realizou-se a radiografia de tórax a seguir:
Enunciado 4482331-1 (Arquivo pessoal; imagem usada com autorização)

Qual é a intervenção hemodinâmica apropriada nesse momento?
 

Provas

Questão presente nas seguintes provas
3986439 Ano: 2025
Disciplina: Medicina
Banca: VUNESP
Orgão: SES-SP
Mulher de 74 anos apresenta quadro de cefaleia e febre há quatro dias. Ela tem diabetes tipo 2 e hipertensão e está em uso de metformina e anlodipino. Não há viagem recente. O histórico é positivo para erupção cutânea com penicilina. Ao exame físico: sonolenta, confusa; temperatura: 38,2 ºC; pressão arterial: 142 x 92 mmHg; frequência cardíaca: 98 bpm; há rigidez de nuca; fundo de olho sem papiledema; não há déficit neurológico focal. O líquor evidencia pleocitose com predomínio de polimorfonucleares.
Além da ceftriaxona, o agente antibacteriano que deve ser administrado é
 

Provas

Questão presente nas seguintes provas
3986438 Ano: 2025
Disciplina: Medicina
Banca: VUNESP
Orgão: SES-SP
Mulher de 48 anos, na pós-menopausa, é avaliada em consulta de retorno por diabetes mellitus tipo 2, hipertensão, obesidade e dislipidemia (HDL baixo; LDL e triglicérides elevados). Relata estar sobrecarregada com a pouca melhora do controle glicêmico, mas se sente bem. Ela segue a dieta mediterrânea e faz exercícios desde a última consulta; perdeu 6% do peso corporal, mas agora atingiu um platô. O tratamento atual inclui: metformina, dapagliflozina, enalapril, anlodipino, indapamida e rosuvastatina. A hemoglobina A1c recente é 7,9%, abaixo dos 8,4% anteriores à perda de peso. Exame físico: pressão arterial: 128 x 72 mmHg; IMC: 34,2 kg/m2, circunferência abdominal: 97 cm. Exames séricos: hemograma e coagulograma normais; albumina: 4,4 g/dL; aspartato aminotransferase: 42 U/L; alanina aminotransferase: 36 U/L; creatinina: 0,8 mg/dL; eletrólitos normais.
Para essa paciente, a conduta correta é
 

Provas

Questão presente nas seguintes provas
3986437 Ano: 2025
Disciplina: Medicina
Banca: VUNESP
Orgão: SES-SP
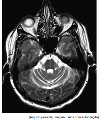
Homem de 56 anos apresenta quadro de tremor de repouso bilateral nos membros superiores há seis meses. Ao exame físico, apresentava tremor de repouso bilateral de frequência moderada, ligeiramente mais acentuado no membro superior direito do que no esquerdo, e rigidez em roda dentada bilateral, que parecia ser igual em ambos os membros; bradicinesia significativa que afeta ambos os lados do corpo. Foi-lhe prescrita levodopa, que teve pouco efeito sobre os sintomas. No acompanhamento, um ano depois, ele relata instabilidade significativa na marcha. Nesse momento, o exame mostra dismetria bilateral, e sua marcha é ampla e ligeiramente cambaleante. Uma ressonância magnética (imagem axial ponderada em T2) é realizada e mostrada a seguir:
Enunciado 4918966-1
Qual é o diagnóstico mais provável para esse paciente?
 

Provas

Questão presente nas seguintes provas