Foram encontradas 648 questões.
Adolescente, 14 anos de idade, apresentou quadro
de cefaleia há 3 semanas, persistente, intensa e com
piora progressiva, com náuseas pela manhã, associada à
fotofobia e diplopia. Ela negou febre ou alteração do nível
de consciência. Exame físico: IMC 32 kg/m2; bom estado
geral, orientada, ativa, déficit na abdução do olho direito,
papiledema bilateral ao exame de fundo de olho e sem
sinais meníngeos.
LCR: 2 células/mm3, proteinorraquia 15 mg/dl, glicorraquia 58 mg/dL, gram-ausente, pressão de abertura 60 cmH2O. RM de crânio sem alterações.
Com base nessa situação hipotética, assinale a alternativa que apresenta a hipótese diagnóstica e o tratamento adequado.
LCR: 2 células/mm3, proteinorraquia 15 mg/dl, glicorraquia 58 mg/dL, gram-ausente, pressão de abertura 60 cmH2O. RM de crânio sem alterações.
Com base nessa situação hipotética, assinale a alternativa que apresenta a hipótese diagnóstica e o tratamento adequado.
Provas
Questão presente nas seguintes provas
Considerando-se a segurança e a eficácia dos repelentes
em crianças, determinadas pela ANVISA, é correto
afirmar que
Provas
Questão presente nas seguintes provas
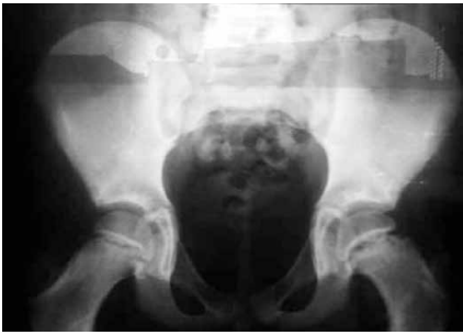
Um adolescente, 12 anos de idade, relatou sentir
dor no quadril esquerdo há 3 meses, com piora progressiva.
Exame físico com rotação externa do quadril esquerdo
em decúbito dorsal, teste de mobilidade com limitação
da rotação interna. Sinal de Trendelenburg ausente.
IMC zcore +2.8. Realizado raio X de quadril.
Com base nessa situação hipotética, assinale a alternativa que apresenta a hipótese diagnóstica adequada.
Com base nessa situação hipotética, assinale a alternativa que apresenta a hipótese diagnóstica adequada.
Provas
Questão presente nas seguintes provas
A respeito da profilaxia pré-exposição (PrEP) à infecção
pelo HIV para adolescentes, é correto afirmar que
Provas
Questão presente nas seguintes provas
Lactente, 4 meses, previamente hígido, deu
entrada no pronto atendimento com quadro de tosse e
coriza há quatro dias, evoluindo com dificuldade para
mamar, cansaço e piora da tosse. Exame físico: regular
estado geral, congestão nasal e coriza, ausculta pulmonar
com roncos e sibilos difusos, FR: 60 irpm, com retrações
torácicas discretas e sat 02 93% em ar ambiente. Exames:
raios X de tórax com retificação de arcos costais.
Com base nessa situação hipotética, assinale a alternativa correta.
Com base nessa situação hipotética, assinale a alternativa correta.
Provas
Questão presente nas seguintes provas
No Brasil, a Anvisa coloca o canabidiol (CBD) na lista C1 de
medicamentos e o Conselho Federal de Medicina aprova
o uso da Cannabis para o tratamento de crianças e de
adolescentes com condições refratárias ao tratamento
convencional. Assinale a alternativa que apresenta as
situações em que o CBD foi considerado efetivo e aprovado.
Provas
Questão presente nas seguintes provas
Recém-nascido, sexo masculino, idade gestacional
39 semanas, adequado para idade gestacional, filho de
mãe com sífilis adquirida durante a gestação. Histórico
da genitora: iniciou pré-natal com 5 semanas de gestação
com teste rápido para sífilis positivo e VDRL 1:128, negou
sintomas prévios de sífilis, fez tratamento com penicilina
G benzatina IM, 1 vez por semana, durante 3 semanas.
Após o tratamento fez coletas regulares de VDRL: final do
1º trimestre: 1:32; 2º trimestre: 1:8, 3º trimestre 1:4, parto:
1:8. recém-nascido com exame físico normal e VDRL de 1:4.
Com base nessa situação hipotética, assinale a alternativa correta.
Com base nessa situação hipotética, assinale a alternativa correta.
Provas
Questão presente nas seguintes provas
Uma lactente, 11 meses de vida, apresentou
quadro de febre alta, tosse, coriza e conjuntivite bilateral
há três dias, os pais procuraram o pronto atendimento
referindo piora dos sintomas, piora da febre e surgimento
de lesões avermelhadas em face. Exame físico com
conjuntivite não purulenta bilateral, congestão nasal, coriza,
tosse, mucosa oral com leões pequenas brancoazuladas
com halo eritematoso, pele com exantema maculopapular
difuso, acometendo palma das mãos e planta dos pés.
Com base nessa situação hipotética, assinale a alternativa que apresenta a hipótese diagnóstica.
Com base nessa situação hipotética, assinale a alternativa que apresenta a hipótese diagnóstica.
Provas
Questão presente nas seguintes provas
Há predisposição na formação de aneurismas aórticos
associados a um defeito na produção do colágeno tipo III e
mutação no cariótipo (X0) na síndrome de
Provas
Questão presente nas seguintes provas
Em relação à síndrome da veia cava superior, assinale a
alternativa correta.
Provas
Questão presente nas seguintes provas
Cadernos
Caderno Container