Foram encontradas 648 questões.
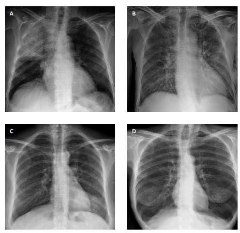
Uma mulher de 63 anos de idade, obesa, hipertensa, diabética e dislipidêmica, em uso irregular de anlodipino,
metformina e sinvastatina, compareceu ao pronto-socorro com relato de tosse, febre aferida de 38,2 oC, coriza, mialgia e
espirros há três dias, porém, nos últimos dois dias também percebeu edema de membros inferiores e dispneia importante que
a fizeram procurar o pronto-socorro. Ela relatou que realizou um teste recente na farmácia, influenza A positivo. Na admissão,
apresentou: temperatura de 37,7 oC; glasgow 15; PA 180 x 110; FC 118 irpm; e FR 26 irpm. A paciente segurava-se à grade do
leito devido à ortopneia, havia presença de estase jugular, pulso com ritmo irregular e ausculta com estertores de base até terço
ápice bilateralmente. O eletrocardiograma da paciente apresentou: ausência de onda P; RR irregular; QRS estreito; e
FC 118 bpm.


Assinale a alternativa que corresponda ao exame de imagem compatível ao caso clínico apresentado.
Provas
Questão presente nas seguintes provas
Uma mulher de 63 anos de idade, obesa, hipertensa, diabética e dislipidêmica, em uso irregular de anlodipino,
metformina e sinvastatina, compareceu ao pronto-socorro com relato de tosse, febre aferida de 38,2 oC, coriza, mialgia e
espirros há três dias, porém, nos últimos dois dias também percebeu edema de membros inferiores e dispneia importante que
a fizeram procurar o pronto-socorro. Ela relatou que realizou um teste recente na farmácia, influenza A positivo. Na admissão,
apresentou: temperatura de 37,7 oC; glasgow 15; PA 180 x 110; FC 118 irpm; e FR 26 irpm. A paciente segurava-se à grade do
leito devido à ortopneia, havia presença de estase jugular, pulso com ritmo irregular e ausculta com estertores de base até terço
ápice bilateralmente. O eletrocardiograma da paciente apresentou: ausência de onda P; RR irregular; QRS estreito; e
FC 118 bpm.
Provas
Questão presente nas seguintes provas
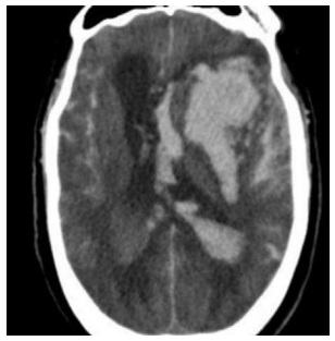
Uma mulher de 32 anos de idade, com antecedentes de ansiedade e enxaqueca, compareceu ao pronto-socorro
trazida por uma viatura do SAMU acompanhada por uma amiga, com relato de cefaleia holocraniana intensa, que teve início
duas horas antes, além de vômitos intensos, mal-estar e rebaixamento do nível de consciência durante o transporte. A seguir,
consta a tomografia computadorizada do crânio.
Assinale a alternativa adequada.
Assinale a alternativa adequada.
Provas
Questão presente nas seguintes provas
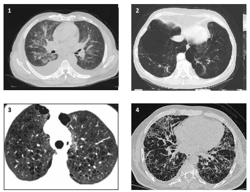
Correlacionar imagens tomográficas com quadro clínico.
A homem de meia idade, tabagista, dispneia progressiva aos esforços com meses de evolução, espirometria com vef1/cvf > 70, estertores predominando no final da inspiração ao exame físico
B mulher de 67 anos de idade, tabagista, tosse crônica, dispneia aos esforços, policitemia no hemograma, tempo expiratório prolongado, ausculta pulmonar com murmúrios vesicular reduzidos globalmente
C homem de 68 anos de idade, hipertenso mal-controlado, cardiopata, piora de dispneia, edema de membros inferiores, ortopneia, ausculta abolida em bases e estertores em ápice pulmonar
D jovem de 27 anos de idade, com antecedente de hepatopatia em investigação, com relatos de dispneia durante os esforços físicos, ausculta com murmúrios vesiculares diminuído em bases pulmonares

A homem de meia idade, tabagista, dispneia progressiva aos esforços com meses de evolução, espirometria com vef1/cvf > 70, estertores predominando no final da inspiração ao exame físico
B mulher de 67 anos de idade, tabagista, tosse crônica, dispneia aos esforços, policitemia no hemograma, tempo expiratório prolongado, ausculta pulmonar com murmúrios vesicular reduzidos globalmente
C homem de 68 anos de idade, hipertenso mal-controlado, cardiopata, piora de dispneia, edema de membros inferiores, ortopneia, ausculta abolida em bases e estertores em ápice pulmonar
D jovem de 27 anos de idade, com antecedente de hepatopatia em investigação, com relatos de dispneia durante os esforços físicos, ausculta com murmúrios vesiculares diminuído em bases pulmonares

Provas
Questão presente nas seguintes provas
Uma mulher de 18 anos de idade, sem
antecedentes pessoais e familiares relevantes, dirigiu-se
ao pronto-socorro de um hospital municipal com náusea,
vômitos, diarreia líquida sem produtos patológicos, mialgia,
sensação febril e astenia. Esse quadro teve início dois
dias antes da admissão, com piora no dia atual, com sete
episódios de fezes líquidas nas últimas 24 horas. A paciente
relatou inapetência e dificuldade para ingerir líquidos
e comprimidos. Ao exame físico: afebril; regular estado
geral; levemente desidratada; bem perfundida e com
extremidades quentes; abdome flácido; um pouco de dor
à palpação profunda difusamente; sem sinais de peritonite;
e sinais vitais marcando PA de 110 x 75 mmHg e FC de
87 bpm.
Com base nessa situação hipotética, assinale a conduta adequada, considerando esse quadro clínico.
Provas
Questão presente nas seguintes provas
Uma mulher de 18 anos de idade, sem
antecedentes pessoais e familiares relevantes, dirigiu-se
ao pronto-socorro de um hospital municipal com náusea,
vômitos, diarreia líquida sem produtos patológicos, mialgia,
sensação febril e astenia. Esse quadro teve início dois
dias antes da admissão, com piora no dia atual, com sete
episódios de fezes líquidas nas últimas 24 horas. A paciente
relatou inapetência e dificuldade para ingerir líquidos
e comprimidos. Ao exame físico: afebril; regular estado
geral; levemente desidratada; bem perfundida e com
extremidades quentes; abdome flácido; um pouco de dor
à palpação profunda difusamente; sem sinais de peritonite;
e sinais vitais marcando PA de 110 x 75 mmHg e FC de
87 bpm.
Com base nessa situação hipotética, assinale a alternativa que apresenta a conduta adequada a ser seguida pela equipe do hospital, no momento atual.
Provas
Questão presente nas seguintes provas
Uma mulher de 18 anos de idade, sem
antecedentes pessoais e familiares relevantes, dirigiu-se
ao pronto-socorro de um hospital municipal com náusea,
vômitos, diarreia líquida sem produtos patológicos, mialgia,
sensação febril e astenia. Esse quadro teve início dois
dias antes da admissão, com piora no dia atual, com sete
episódios de fezes líquidas nas últimas 24 horas. A paciente
relatou inapetência e dificuldade para ingerir líquidos
e comprimidos. Ao exame físico: afebril; regular estado
geral; levemente desidratada; bem perfundida e com
extremidades quentes; abdome flácido; um pouco de dor
à palpação profunda difusamente; sem sinais de peritonite;
e sinais vitais marcando PA de 110 x 75 mmHg e FC de
87 bpm.
Provas
Questão presente nas seguintes provas
Um homem de 57 anos de idade, acometido por
cirrose hepática de etiologia alcoólica com hepatocarcinoma
associado, foi internado devido ao aumento de volume
abdominal, dor abdominal e confusão mental. Foi
realizada uma punção diagnóstica, com 375 neutrófilos
no líquido puncionado, albumina soro 1,9 e albumina do
líquido ascítico 0,6 e culturas em andamento. Foi, então,
iniciada antibioticoterapia empírica e diureticoterapia
com furosemida e espironolactona. No terceiro dia de
internação, a paciente evoluiu com oligoanúria, teve piora
do edema periférico, creatinina de 2,9 (na entrada, era de
0,8), ureia de 93, potássio 5,7, gasometria com pH 7,28 e
bicarbonato 15.
Provas
Questão presente nas seguintes provas
Um homem de 57 anos de idade, acometido por
cirrose hepática de etiologia alcoólica com hepatocarcinoma
associado, foi internado devido ao aumento de volume
abdominal, dor abdominal e confusão mental. Foi
realizada uma punção diagnóstica, com 375 neutrófilos
no líquido puncionado, albumina soro 1,9 e albumina do
líquido ascítico 0,6 e culturas em andamento. Foi, então,
iniciada antibioticoterapia empírica e diureticoterapia
com furosemida e espironolactona. No terceiro dia de
internação, a paciente evoluiu com oligoanúria, teve piora
do edema periférico, creatinina de 2,9 (na entrada, era de
0,8), ureia de 93, potássio 5,7, gasometria com pH 7,28 e
bicarbonato 15.
Provas
Questão presente nas seguintes provas
Um homem de 57 anos de idade, acometido por
cirrose hepática de etiologia alcoólica com hepatocarcinoma
associado, foi internado devido ao aumento de volume
abdominal, dor abdominal e confusão mental. Foi
realizada uma punção diagnóstica, com 375 neutrófilos
no líquido puncionado, albumina soro 1,9 e albumina do
líquido ascítico 0,6 e culturas em andamento. Foi, então,
iniciada antibioticoterapia empírica e diureticoterapia
com furosemida e espironolactona. No terceiro dia de
internação, a paciente evoluiu com oligoanúria, teve piora
do edema periférico, creatinina de 2,9 (na entrada, era de
0,8), ureia de 93, potássio 5,7, gasometria com pH 7,28 e
bicarbonato 15.
Provas
Questão presente nas seguintes provas
Cadernos
Caderno Container