Magna Concursos

Foram encontradas 648 questões.

3530617 Ano: 2024
Disciplina: Medicina
Banca: QUADRIX
Orgão: SES-SP
Qual item correlaciona adequadamente o nome da classificação com a sua descrição
I Classificação de Forrest consiste no sistema de classificação para úlceras pépticas hemorrágicas.
II Classificação de Hinchey consiste no sistema de classificação para diverticulite crônica.
III Classificação de Parks consiste no sistema de classificação para esofagite.
IV Classificação de Los Angeles consiste no sistema de classificação para fístulas perianais.
V Classificação TNM consiste no sistema de classificação para tumores malignos.

Assinale a alternativa correta.
 

Provas

Questão presente nas seguintes provas
3530616 Ano: 2024
Disciplina: Medicina
Banca: QUADRIX
Orgão: SES-SP
Assinale a alternativa incorreta acerca das úlceras de pressão.
 

Provas

Questão presente nas seguintes provas
3530615 Ano: 2024
Disciplina: Medicina
Banca: QUADRIX
Orgão: SES-SP
Um homem de 88 anos de idade compareceu ao pronto-socorro, trazido pela esposa, que relatou que o cônjuge possui Alzheimer. Nos últimos meses, evoluiu com piora cognitiva progressiva e diminuição da aceitação oral. O paciente fazia acompanhamento ambulatorial com neurologista, que já havia afirmado a progressão da doença. O paciente é totalmente dependente para executar atividades básicas e, nos últimos meses, ele encontra-se acamado. Ao exame físico: paciente severamente desidratado; emagrecido; perfusão periférica limítrofe; FC 112; PA 85 x 55 mmHg; glicemia 88; não contactuante; sonolento; e reage apenas a estímulo tátil.
Com base nessa situação hipotética, assinale a alternativa correta.
 

Provas

Questão presente nas seguintes provas
3530614 Ano: 2024
Disciplina: Medicina
Banca: QUADRIX
Orgão: SES-SP
Uma mulher de 27 anos de idade, doente renal crônica dialítica devido à nefrite lúpica, com perdas de duas gestações prévias e AVC isquêmico há um ano, compareceu ao hospital com edema assimétrico de membro inferior esquerdo, realizou usg Doppler, confirmando diagnóstico de tvp. A paciente apresentou os seguintes valores para os sinais vitais: PA 145 x 95; FC 89 bpm; sat. 99% em ar ambiente; FR 15 irpm; e livedo reticular notado em membros inferiores. Estava consciente e orientada, e com extremidades quentes. Ainda em ambiente de observação no pronto-socorro, a paciente relatou que possuía condições financeiras para a compra de medicamentos e desejava tratar-se em casa.
Ainda a respeito da situação hipotética apresentada, considere-se que após o manejo inicial, o hematologista tenha suspeitado de uma condição pró-trombótica associada à doença de base e, devido a esse acontecimento, solicitou-se
 

Provas

Questão presente nas seguintes provas
3530613 Ano: 2024
Disciplina: Medicina
Banca: QUADRIX
Orgão: SES-SP
Uma mulher de 27 anos de idade, doente renal crônica dialítica devido à nefrite lúpica, com perdas de duas gestações prévias e AVC isquêmico há um ano, compareceu ao hospital com edema assimétrico de membro inferior esquerdo, realizou usg Doppler, confirmando diagnóstico de tvp. A paciente apresentou os seguintes valores para os sinais vitais: PA 145 x 95; FC 89 bpm; sat. 99% em ar ambiente; FR 15 irpm; e livedo reticular notado em membros inferiores. Estava consciente e orientada, e com extremidades quentes. Ainda em ambiente de observação no pronto-socorro, a paciente relatou que possuía condições financeiras para a compra de medicamentos e desejava tratar-se em casa.
Considerando a situação hipotética apresentada, assinale a alternativa correta.
 

Provas

Questão presente nas seguintes provas
3530612 Ano: 2024
Disciplina: Medicina
Banca: QUADRIX
Orgão: SES-SP
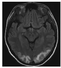
Uma mulher de 54 anos de idade, diabética, hipertensa e dislipidêmica, em uso irregular de medicações, compareceu ao pronto-socorro com cefaleia intensa, vômitos, náusea, turvação visual e escotomas. O acompanhante relatou que o quadro evoluiu paulatinamente durante os últimos dias, com piora importante no dia atual. Na admissão, foram notados os seguintes sinais vitais: FC 117 bpm; PA 210 x 145 mmHg; FR 21 irpm; e dextro 120.
Enunciado 4079866-1
Ainda com base na situação hipotética apresentada, e na imagem da ressonância magnética de crânio acima, assinale a alternativa correta.
 

Provas

Questão presente nas seguintes provas
3530611 Ano: 2024
Disciplina: Medicina
Banca: QUADRIX
Orgão: SES-SP
Uma mulher de 54 anos de idade, diabética, hipertensa e dislipidêmica, em uso irregular de medicações, compareceu ao pronto-socorro com cefaleia intensa, vômitos, náusea, turvação visual e escotomas. O acompanhante relatou que o quadro evoluiu paulatinamente durante os últimos dias, com piora importante no dia atual. Na admissão, foram notados os seguintes sinais vitais: FC 117 bpm; PA 210 x 145 mmHg; FR 21 irpm; e dextro 120.
Considerando essa situação hipotética, assinale a alternativa correta.
 

Provas

Questão presente nas seguintes provas
3530610 Ano: 2024
Disciplina: Medicina
Banca: QUADRIX
Orgão: SES-SP
Uma mulher de 23 anos de idade, com antecedentes de lúpus eritematoso sistêmico com atividade articular bem controlada, em uso de hidroxicloroquina, compareceu ao pronto-socorro com quadro agudo de tosse, dispneia, febre, náusea e mal-estar, desidratação, piora das dores articulares e rash malar. Nos exames admissionais, constatou-se ureia de 88 e creatinina de 2,1. Foi notada a presença de consolidação em base direita nos raios X de tórax. A paciente fez exames ambulatoriais recentes que não apresentaram alteração na função renal.
Com base nessa situação hipotética, quanto à investigação da etiologia da injúria renal apresentada, assinale a alternativa que apresenta o tratamento correto.
 

Provas

Questão presente nas seguintes provas
3530609 Ano: 2024
Disciplina: Medicina
Banca: QUADRIX
Orgão: SES-SP
Um homem de 63 anos de idade, com antecedente de doença diverticular colônica, compareceu ao pronto-socorro com queixa de fraqueza e tontura. Nos exames admissionais, apresentou hemoglobina de 6,5, ht a 30 %, vcm e hcm no limite inferior da normalidade e rdw aumentado. O paciente relatou sangue vivo nas fezes durante as últimas semanas. A equipe médica solicitou reticulócitos, com valor de absoluto de 65.000 e 2,2% em índice (referência da normalidade 20.000 a 100.000 absoluto e 1 a 2 % de índice).
Com base nessa situação hipotética, assinale a alternativa correta.
 

Provas

Questão presente nas seguintes provas
3530608 Ano: 2024
Disciplina: Medicina
Banca: QUADRIX
Orgão: SES-SP
Uma mulher de 63 anos de idade, obesa, hipertensa, diabética e dislipidêmica, em uso irregular de anlodipino, metformina e sinvastatina, compareceu ao pronto-socorro com relato de tosse, febre aferida de 38,2 oC, coriza, mialgia e espirros há três dias, porém, nos últimos dois dias também percebeu edema de membros inferiores e dispneia importante que a fizeram procurar o pronto-socorro. Ela relatou que realizou um teste recente na farmácia, influenza A positivo. Na admissão, apresentou: temperatura de 37,7 oC; glasgow 15; PA 180 x 110; FC 118 irpm; e FR 26 irpm. A paciente segurava-se à grade do leito devido à ortopneia, havia presença de estase jugular, pulso com ritmo irregular e ausculta com estertores de base até terço ápice bilateralmente. O eletrocardiograma da paciente apresentou: ausência de onda P; RR irregular; QRS estreito; e FC 118 bpm.
Após a execução das ações iniciais, a paciente evoluiu em melhora clínica e realizou-se um ecocardiograma que apresentou os seguintes achados mais relevantes: coração em ritmo irregular; fração de ejeção 56%; aumento moderado de átrio esquerdo; e aumento moderado na pressão de artéria pulmonar, com e/e’ > 9.
Com base nessa situação hipotética, e nas informações apresentadas acima, assinale a alternativa correta.
 

Provas

Questão presente nas seguintes provas