Foram encontradas 428 questões.
Paciente, JVCC, 25 anos de idade, apresentou quadro de dispneia súbita e dessaturação 4 horas após realização de cirurgia intra-abdominal. Após a realização de exames complementares, foi diagnosticada com tromboembolia pulmonar aguda.
A partir desse caso clínico hipotético, assinale a alternativa correta, em relação ao tempo de duração da anticoagulação, segundo a SBACV.
Provas
Paciente, RFO, homem, de 53 anos de idade, sofreu acidente automobilístico há 20 dias, com fratura exposta da tíbia direita, com necessidade de tratamento cirúrgico. Após 10 dias do procedimento, evoluiu com dor local e saída de secreção purulenta no sítio cirúrgico e compareceu em setor de internação com hemograma que evidenciava leucocitose, aumento de marcadores inflamatórios e ressonância magnética com sinais de osteomielite com destruição óssea e envolvimento de tecidos moles adjacentes. Foi feita abordagem cirúrgica local e foi enviado tecido para análise, que evidenciou MSSA no material coletado multissensível.
Assinale a alternativa que apresenta o tratamento mais adequado nesse caso hipotético.
Provas
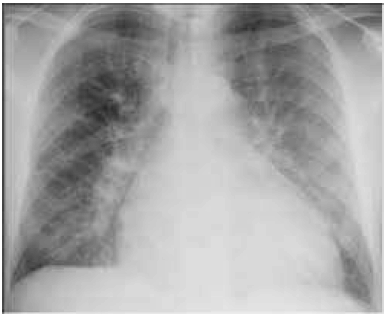
Paciente MDH, homem, de 42 anos de idade, foi internado por dispneia aos esforços há cinco meses, com sensação de opressão no tórax há uma semana. Nega tosse, expectoração ou chiado. Nega tabagismo. Seu exame físico da entrada revelou o seguinte: PA de 110 mmHg × 76 mmHg; FC de 54 bpm; saturação de O2 (ar ambiente) de 91%. Ausculta cardíaca: hiperfonese e desdobramento de segunda bulha em foco pulmonar. Turgência jugular bilateral. Pulmões com estertores bibasais. Apresenta ecocardiograma transtorácico com FEVE de 34% e a radiografia inicial mostrada a seguir. O paciente é estabilizado no terceiro dia da internação e já está com a volemia estável.

A partir desse caso hipotético, assinale a alternativa correta, a respeito do planejamento pós-alta desse paciente, de acordo com a Diretriz Brasileira de Insuficiência Cardíaca Crônica e Aguda.
Provas
Paciente FMN, masculino, de 28 anos de idade, comparece a consulta ambulatorial com queixa de febre aferida acima de 38,5 oC, astenia, tosse produtiva, sem dispneia referida ou aferida, com teste negativo para covid-19. O médico que o atende o diagnostica com pneumonia adquirida na comunidade (PAC).
A PAC constitui a principal causa de morte no mundo; apesar da vasta microbiota respiratória, o Streptococcus pneumoniae permanece sendo a bactéria de maior prevalência entre os agentes etiológicos agudos. Com base no caso clínico apresentado, assinale a alternativa correta, quanto ao nível de atenção em que deve ser realizado o tratamento do referido paciente e quanto à terapia mais indicada nesse caso, seguindo as recomendações para o manejo da pneumonia adquirida na comunidade da SBPT.
Provas
Recomenda-se que, pelo risco que oferece à saúde do indivíduo, o tabagismo passivo seja frequentemente indagado aos usuários dos serviços de saúde (tanto quanto o tabagismo ativo), incluindo também as crianças. Nesse sentido, pode constituir-se como importante estratégia de identificação de fumantes e motivação destes para abandono do tabaco, sendo as principais consequências e efeitos de longo prazo do fumo passivo, o(a)
Provas
Paciente IVM, feminina, de 67 anos de idade, com diagnóstico prévio de osteoporose, compareceu a uma consulta médica com exame que evidenciava concentrações séricas de 25(OH)D abaixo de 20 ng/mL.
A partir desse caso hipotético, assinale a alternativa correta, considerando as Diretrizes Brasileiras para o Diagnóstico e Tratamento da Osteoporose em Mulheres na Pós-Menopausa da Sociedade Brasileira de Reumatologia.
Provas
Uma mulher de 78 anos de idade, com antecedentes pessoais de hipertensão arterial sistêmica e de diabetes melito não insulino-dependente, comparece à consulta médica de rotina em unidade básica de saúde (UBS) acompanhada do filho. Ele refere que sua mãe faz uso correto dos medicamentos, já que ele mesmo os administra para ela há, aproximadamente, 1 ano, pois percebeu que a mãe estava se confundindo para tomá-los assim que houve uma alteração na prescrição. Ele se queixa de que sua mãe está apresentando déficit auditivo, de que está repetitiva e apática. A paciente, por sua vez, não apresenta queixas.
Com relação a esse caso hipotético, assinale a alternativa, entre as apresentadas a seguir, que representa, respectivamente, o diagnóstico provável e a orientação adequada.
Provas
Em relação à iatrogenia, assinale a alternativa incorreta.
Provas
Um homem de 58 anos de idade, obeso, hipertenso e diabético, em uso de atenolol 25 mg/dia, de hidroclorotiazida 25 mg/dia e de metformina 1.000 mg/dia, comparece a uma consulta de rotina trazendo exame de amostra isolada de urina com microalbuminúria e Holter 24 h com bradicardia sinusal, com frequência cardíaca mínima em vigília igual a 45 bpm, assintomático. No momento da consulta, sua frequência cardíaca é 50 bpm. O médico de família indica a troca do atenolol.
Com base nesse caso hipotético, assinale a melhor opção de medicamento entre as alternativas apresentadas a seguir.
Provas
O puerpério é o período que sucede o parto e, do ponto de vista fisiológico, compreende os processos involutivos das modificações gravídicas locais e gerais ocorridas na gestação. Em relação a esse período, assinale a alternativa correta.
Provas
Caderno Container