Foram encontradas 428 questões.
Os fatores predisponentes para o desenvolvimento de peritonite bacteriana espontânea (PBE) não incluem
Provas
Entre as alternativas a seguir, assinale a que não apresenta um dos critérios diagnósticos de síndrome torácica aguda em pacientes com anemia falciforme.
Provas
Paciente do sexo masculino, de 20 anos de idade, com diagnóstico de DM1 há cerca de 12 anos, chega ao pronto-socorro com quadro de astenia, taquipneia, rebaixamento do nível de consciência e desidratação com início há 12 horas. Familiares referem que o paciente estava fazendo uso irregular da insulina nos últimos dias e que já apresentou quadro semelhante quando interrompeu o tratamento de diabetes. Com base nesse caso clínico, assinale a alternativa que apresenta, respectivamente, a hipótese diagnóstica mais provável para esse quadro e o(s) melhor(es) exame(s) a ser(em) solicitado(s) no momento.
Provas
Homem de 60 anos de idade refere início, há 4 meses, de bradicinesia, passos curtos, tremores e dificuldade para realização das suas atividades diárias. Refere uso de cinarizina e lorazepam. Com base nesse caso clínico, assinale a alternativa que apresenta, respectivamente, o diagnóstico mais provável e a melhor conduta.
Provas
Quanto à intoxicação exógena, considere as seguintes possibilidades de quadros clínicos, agentes causadores e medidas de tratamento específicas.
|
paciente A: |
pupilas rapidamente variáveis, convulsão, pele fria, bradicardia |
|
paciente B: |
pupilas mióticas, broncorreia, hipersalivação, bradicardia |
|
paciente C: |
pupilas muito mióticas, hipoventilação, bradipneia |
|
agente 1: |
opioide |
|
agente 2: |
betabloqueador |
|
agente 3: |
organofosforado |
|
medida X: |
glucagon, gluconato de cálcio |
|
medida X: |
naloxone |
|
medida Z: |
atropina e pralidoxima |
A partir dessas informações, assinale a alternativa que apresenta a correlação mais adequada entre o quadro clínico, o agente causador e a medida de tratamento.
Provas
Mulher de 52 anos de idade, hipertensa, diabética e tabagista procurou o pronto-socorro de um hospital terciário com quadro de dor precordial de início súbito há cerca de duas horas, de forte intensidade, associada a diaforese e dispneia. Ao exame físico, apresenta-se sudoreica, com palidez cutânea, PA = 80 mmHg × 60 mmHg, FC = 64 bpm, FR = 28 ipm, saturação de oxigênio = 98% em ar ambiente, turgência jugular a 45°, com bulhas rítmicas, normofonéticas, sem sopros. À ausculta pulmonar, observa-se murmúrio vesicular presente em cada hemitórax, com estertores crepitantes em terço inferior bilateralmente. Constatam-se extremidades frias, com tempo de enchimento capilar prolongado. Foi realizado o eletrocardiograma a seguir.

Internet: <assinantes.medicinanet.com.br>.
Assinale a alternativa que apresenta, respectivamente, o correto diagnóstico e a conduta adequada, nesse caso clínico.
Provas
Caso clínico para a questão.
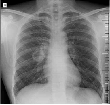
Paciente do sexo feminino, de 39 anos de idade, natural e procedente de São Paulo – SP, sem comorbidades, procura atendimento no Centro de Saúde Escola por quadro de perda ponderal de 8 kg em 4 meses, tosse produtiva, febre baixa no início da noite, fadiga e nodulações cervicais. Ao exame, revela-se emagrecida, descorada 2+/4+, afebril, com nodulações endurecidas em cadeias cervicais anterior e posterior, com ausculta cardíaca sem alterações e estertores crepitantes em ápice direito. Realizou a radiografia de tórax apresentada a seguir.

Internet: <radiopaedia.org>.
Considere que, após confirmação do diagnóstico do quadro pulmonar, a paciente receba o resultado de dois testes rápidos positivos para HIV e, posteriormente, seja realizada carga viral de 10.000 cópias/mL e contagem de linfócitos T CD4+ = 150 células/mL. Nesse caso, em relação ao tratamento do HIV e da patologia pulmonar, deve-se iniciar,
Provas
Caso clínico para a questão.
Paciente do sexo feminino, de 39 anos de idade, natural e procedente de São Paulo – SP, sem comorbidades, procura atendimento no Centro de Saúde Escola por quadro de perda ponderal de 8 kg em 4 meses, tosse produtiva, febre baixa no início da noite, fadiga e nodulações cervicais. Ao exame, revela-se emagrecida, descorada 2+/4+, afebril, com nodulações endurecidas em cadeias cervicais anterior e posterior, com ausculta cardíaca sem alterações e estertores crepitantes em ápice direito. Realizou a radiografia de tórax apresentada a seguir.

Com base nesse caso clínico, assinale, entre as alternativas a seguir, aquela que apresenta a principal hipótese diagnóstica do quadro pulmonar e seu exame confirmatório, respectivamente.
Provas
Uma mulher de 82 anos de idade, com antecedentes pessoais de diabetes melito não insulino-dependente e doença de Alzheimer em fase moderada, foi levada ao pronto-socorro com história de diarreia líquida sem sangue ou muco há 3 dias, além de queda do estado geral, sem febre. Evoluiu com piora há 1 dia, apresentando apatia e lentificação. Ao exame, encontra-se desidratada, hemodinamicamente estável e eupneica e apresenta déficit de atenção e sonolência, sem déficits neurológicos focais. Outros dados da paciente: saturação de oxigênio = 97% e glicemia capilar = 110 mg/dL.
Considerando-se esse caso clínico, é correto afirmar que, de acordo com as possibilidades diagnósticas, a conduta inicial deverá incluir, além de hidratação endovenosa e teste para covid-19,
Provas
Um homem de 63 anos de idade, com antecedente pessoal de hipertensão arterial sistêmica, em uso irregular de enalapril 20 mg/dia, compareceu ao pronto atendimento com queixa de dispneia aos esforços piorada há 1 semana, com dispneia aos mínimos esforços atualmente. Relata ortopneia e dispneia paroxística noturna, além de edema de membros inferiores, sem febre ou dor torácica. Refere tosse seca e nega tabagismo. Assinale a alternativa que apresenta o diagnóstico provável do paciente nesse caso clínico hipotético.
Provas
Caderno Container