Foram encontradas 4.100 questões.
Provas

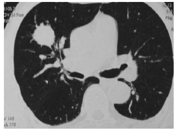
Considerando o caso clínico de um paciente cujo exame de imagem é reproduzido acima, julgue os próximos itens.
Provas

Considerando o caso clínico de um paciente cujo exame de imagem é reproduzido acima, julgue os próximos itens.
Provas

Considerando o caso clínico de um paciente cujo exame de imagem é reproduzido acima, julgue os próximos itens.
Provas

Considerando o caso clínico de um paciente cujo exame de imagem é reproduzido acima, julgue os próximos itens.
Provas

Considerando o caso clínico de um paciente cujo exame de imagem é reproduzido acima, julgue os próximos itens.
Provas
Um paciente com 60 anos de idade, grande fumante (40 maços por ano), etilista (meia garrafa de destilado por dia), apresenta história de disfagia há cerca de 6 meses, com piora progressiva. Endoscopia respiratória mostrou lesão vegetante de cerca de 4 cm, sem obstrução total da luz, a cerca de 25 cm da ADS. Uma biópsia foi realizada, confirmando neoplasia maligna.
Considerando esse quadro clínico, julgue os itens que se seguem.
Provas
Um paciente com 60 anos de idade, grande fumante (40 maços por ano), etilista (meia garrafa de destilado por dia), apresenta história de disfagia há cerca de 6 meses, com piora progressiva. Endoscopia respiratória mostrou lesão vegetante de cerca de 4 cm, sem obstrução total da luz, a cerca de 25 cm da ADS. Uma biópsia foi realizada, confirmando neoplasia maligna.
Considerando esse quadro clínico, julgue os itens que se seguem.
Provas
Um paciente com 60 anos de idade, grande fumante (40 maços por ano), etilista (meia garrafa de destilado por dia), apresenta história de disfagia há cerca de 6 meses, com piora progressiva. Endoscopia respiratória mostrou lesão vegetante de cerca de 4 cm, sem obstrução total da luz, a cerca de 25 cm da ADS. Uma biópsia foi realizada, confirmando neoplasia maligna.
Considerando esse quadro clínico, julgue os itens que se seguem.
Provas
Um paciente com 60 anos de idade, grande fumante (40 maços por ano), etilista (meia garrafa de destilado por dia), apresenta história de disfagia há cerca de 6 meses, com piora progressiva. Endoscopia respiratória mostrou lesão vegetante de cerca de 4 cm, sem obstrução total da luz, a cerca de 25 cm da ADS. Uma biópsia foi realizada, confirmando neoplasia maligna.
Considerando esse quadro clínico, julgue os itens que se seguem.
Provas
Caderno Container