Foram encontradas 1.282 questões.
Paciente de 62 anos, ex-tabagista com carga tabágica elevada, no entanto há 5 anos sem fumar. Tem diagnóstico de DPOC com tomografia de tórax mostrando enfisema homogêneo. Em acompanhamento com pneumologia, realizou pletismografia que mostra VEF1 de 23% do previsto após uso de broncodilatador e DLCO2: 40%.
Diante dos achados acima, qual a conduta mais adequada para esse paciente?
Provas
O transplante pulmonar é opção terapêutica em muitas doenças pulmonares em fase avançada. O transplante pode ser bilateral, unilateral ou até lobar.
Dentre as doenças abaixo, qual é o melhor paciente a ser submetido a transplante pulmonar unilateral?
Provas
A síndrome do desfiladeiro torácico consiste em um conjunto de sinais e sintomas decorrentes da compressão do feixe neurovascular acima da primeira costela e posteriormente à clavícula.
Sobre seus sinais e sintomas, assinale a alternativa INCORRETA.
Provas
As malformações congênitas das vias aéreas e do pulmão, antigamente denominadas de malformações adenomatoides císticas (MACs), são responsáveis por cerca de 25-30% de todas as malformações pulmonares congênitas. Em relação às MACs, assinale a alternativa CORRETA.
Provas
Considere o enunciado abaixo e a sequência do caso para as questões 35 e 36:
Após parto normal sem intercorrências de um neonato a termo de 38 semanas, a criança passa a evoluir com dispneia progressiva após 20 horas do nascimento. Realizou radiografia de tórax que mostra hipertransparência pulmonar em campo superior de hemitórax esquerdo, porém com visualização de trama vascular em todo HTE, desvio de mediastino para a direita e atelectasia de LIE.
Quanto à patologia abordada no caso acima, é CORRETO afirmar que
Provas
Considere o enunciado abaixo e a sequência do caso para as questões 35 e 36:
Após parto normal sem intercorrências de um neonato a termo de 38 semanas, a criança passa a evoluir com dispneia progressiva após 20 horas do nascimento. Realizou radiografia de tórax que mostra hipertransparência pulmonar em campo superior de hemitórax esquerdo, porém com visualização de trama vascular em todo HTE, desvio de mediastino para a direita e atelectasia de LIE.
Diante do quadro clínico e radiológico, qual a principal hipótese diagnóstica?
Provas
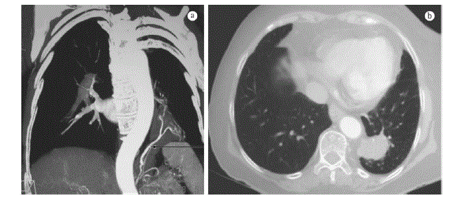
Paciente de 10 anos de idade vem evoluindo com episódios de infecções de repetição no último ano, necessitando de internamento hospitalar no último episódio. Recebeu alta hospitalar e iniciou acompanhamento com pneumopediatra que solicitou tomografia de tórax para investigação.

Diante da imagem da tomografia, qual a principal hipótese diagnóstica e o tratamento a ser instituído?
Provas
Em relação ao sequestro pulmonar, NÃO podemos afirmar que
Provas
É indicação para cirurgia de Eloessser a seguinte situação:
Provas
Em relação à fístula broncopleural no pós-operatório de ressecções pulmonares, assinale a alternativa INCORRETA.
Provas
Caderno Container