Magna Concursos

Foram encontradas 1.282 questões.

1663870 Ano: 2019
Disciplina: Medicina
Banca: UPENET/IAUPE
Orgão: SES-PE

Escolar de 9 anos, masculino, é levado à emergência Pediátrica com queixa de febre, cefaleia, anorexia, dor abdominal difusa e náuseas há 8 dias. Mora na zona rural de Igarassu, cidade do litoral de Pernambuco, em casa de taipa, sem água encanada nem saneamento básico, tendo o hábito de jogar futebol descalço em campo de barro ao lado do rio, onde toma banho com os amigos. Ao exame apresenta palidez 1+/4+, abdome levemente doloroso à palpação em hipocôndrio direito, com fígado palpável a cerca de 4 cm do RCD.

Diante das possibilidades de diagnóstico diferencial, qual a melhor combinação de exames complementares e tratamento?

 

Provas

Questão presente nas seguintes provas
1663869 Ano: 2019
Disciplina: Medicina
Banca: UPENET/IAUPE
Orgão: SES-PE

Adolescente de 15 anos, feminino, procura Unidade Básica de Saúde com queixa de ferida em vulva há 7 dias. Relata sexarca aos 13 anos, 5 parcerias sexuais nos últimos 6 meses e não usa preservativos. Faz uso regular de anticonceptivo hormonal injetável, última menstruação há 15 dias. Exame físico da região genital: presença de úlcera indolor, endurecida, sem secreção em grande lábio esquerdo. Linfonodos inguinais palpáveis, fibroelásticos, móveis indolores, o maior medindo 2,0x2,0cm. Não há disponibilidade para realização de exame bacterioscópico da lesão.

Qual a conduta mais adequada para o caso?

 

Provas

Questão presente nas seguintes provas
1663868 Ano: 2019
Disciplina: Medicina
Banca: UPENET/IAUPE
Orgão: SES-PE

Gestante procura serviço de urgência com queixa de contrações dolorosas e perda de líquido amniótico há 6 horas. Realizou 4 consultas de pré-natal e traz VDRL 1:8 no segundo trimestre com registro de duas doses de penicilina benzatina há 2 meses. No momento, encontra-se com 34 semanas de idade gestacional pela DUM. Trabalho de parto evolui sem intercorrências, e bebê nasce bem, com choro forte e movimentação ativa dos 4 membros. Durante exame físico do recém-nascido com 24h de vida, observam-se as seguintes alterações: icterícia, hepatoesplenomegalia e rash vesicular em tronco e membros. Resultados dos exames: Hemoglobina 14 g/dL; Leucócitos 18.600/mm3; Plaquetas 130.000/mm3. VDRL 1:16. Glicemia 60 mg/dL. LCR com 60 leucócitos/mm3 (100% linfócitos); proteínas 260 mg/dL e VDRL positivo.

Qual o tratamento mais adequado para o recém-nascido?

 

Provas

Questão presente nas seguintes provas
1663867 Ano: 2019
Disciplina: Medicina
Banca: UPENET/IAUPE
Orgão: SES-PE

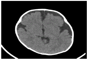
Lactente de sete meses de idade está em consulta de rotina de puericultura. A mãe teve uma gestação e parto sem intercorrências e nasceu com um perímetro cefálico de 35 cm. Ao exame neurológico, foi evidenciada uma fontanela ampla e depressível, perímetro cefálico de 48 cm, com marcos do desenvolvimento normais.

Na investigação, foi realizada tomografia computadorizada de crânio (ver abaixo).

enunciado 1663867-1

Qual é o diagnóstico?
 

Provas

Questão presente nas seguintes provas
1663866 Ano: 2019
Disciplina: Medicina
Banca: UPENET/IAUPE
Orgão: SES-PE

Em relação à síndrome de West, assinale a alternativa INCORRETA.

 

Provas

Questão presente nas seguintes provas
1663865 Ano: 2019
Disciplina: Medicina
Banca: UPENET/IAUPE
Orgão: SES-PE

Adolescente apresenta quadro cutâneo de nove máculas difusas, acastanhadas, maiores que 15 mm e tumores pediculados e violáceos. As regiões axilares são mostradas na figura ao lado.

enunciado 1663865-1

Qual o diagnóstico?
 

Provas

Questão presente nas seguintes provas
1663863 Ano: 2019
Disciplina: Medicina
Banca: UPENET/IAUPE
Orgão: SES-PE

Sobre os exames de imagem na encefalopatia crônica não evolutiva, assinale a alternativa INCORRETA.

 

Provas

Questão presente nas seguintes provas
1663860 Ano: 2019
Disciplina: Medicina
Banca: UPENET/IAUPE
Orgão: SES-PE

A Amiotrofia Muscular Espinhal (AME) 5q não tem cura, e sua progressão leva a manifestações clínicas graves, diminuindo consideravelmente a qualidade e expectativa de vida dos pacientes. Pessoas que vivem com a doença rara AME 5q do tipo 1 terão acesso, no Sistema Único de Saúde (SUS), ao medicamento ____________. Este é o primeiro fármaco disponível no país para tratar a enfermidade. Ele vai integrar a linha de cuidados multidisciplinares ofertados pelo Ministério da Saúde, conforme orientação do Protocolo Clínico e Diretrizes Terapêuticas para a doença.

Fonte: CONITEC. Publicado: 25/04/19

A qual medicamento o artigo se refere?

 

Provas

Questão presente nas seguintes provas
1663858 Ano: 2019
Disciplina: Medicina
Banca: UPENET/IAUPE
Orgão: SES-PE

Idoso, 68 anos, comerciante aposentado, dez anos de escolaridade, sem doenças prévias, há 3 anos começou com lapsos de memória ocasionais e dificuldade leve na administração dos negócios e obrigações financeiras em casa. Duas vezes se sentiu perdido em locais habituais, mas não comentou com familiares. Filha referiu que, no último ano, vem com discurso repetitivo, esquece fatos recentes, apresenta descuido com a higiene pessoal e, nos últimos meses, irritabilidade ocasional, confundiu o filho com familiar já falecido e também não tem reconhecido o neto. Os últimos fatos são negados pelo paciente. O exame neurológico foi normal e fez 16/30 pontos do miniexame do estado mental, sem conseguir desenhar um relógio. A fluência verbal estava diminuída.

Sobre esse paciente, é CORRETO afirmar que

 

Provas

Questão presente nas seguintes provas
1663857 Ano: 2019
Disciplina: Medicina
Banca: UPENET/IAUPE
Orgão: SES-PE

Sobre as demências de início precoce, é CORRETO afirmar que

 

Provas

Questão presente nas seguintes provas