Magna Concursos

Foram encontradas 732 questões.

3897867 Ano: 2024
Disciplina: Medicina
Banca: IADES
Orgão: SES-DF
Um paciente de 81 anos de idade foi admitido na emergência com fibrilação atrial não valvular. Relatou história prévia de diabetes tipo 2, hipertensão, dislipidemia e DRC G5 (com base em uma TFGe de 12 mL/min/1,73 m²). O paciente tinha uma pontuação CHA2DS2-VASC de 3, e a anticoagulação foi considerada para reduzir o risco de acidente vascular cerebral futuro. Com base na história relatada, assinale a alternativa que indica o anticoagulante oral que corresponde à melhor recomendação para esse paciente.
 

Provas

Questão presente nas seguintes provas
3897866 Ano: 2024
Disciplina: Medicina
Banca: IADES
Orgão: SES-DF
Uma paciente de 27 anos de idade compareceu à consulta de rotina queixando-se de ardor ao urinar, há três dias, com aumento da frequência urinária e desconforto na parte inferior do abdome. Ela relatou ter tido os mesmos sintomas há um ano, e ter sido tratada para ITU. A paciente é saudável, não toma medicamentos, e sua última menstruação foi há duas semanas. Qual é a melhor conduta no tratamento dessa paciente?
 

Provas

Questão presente nas seguintes provas
3897865 Ano: 2024
Disciplina: Medicina
Banca: IADES
Orgão: SES-DF
Caso clínico para responder à questão.
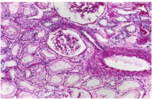
Uma paciente de 17 anos de idade foi internada durante a pandemia da Covid-19. Sete dias antes da admissão, Ela iniciou febre e tosse produtiva com escarro claro, vermelhidão nos olhos, dor de garganta, congestão nasal, rinorreia e mialgias. Dois dias após a admissão, a paciente piorou com desconforto respiratório e escarro com manchas de sangue. Os testes rápidos de antígeno para influenza A e B e Covid-19 foram negativos. A tosse piorava com esforço e respiração profunda, associada a dores no peito e nas costas. Outros sintomas incluíam fadiga e dor em ambos os joelhos ao caminhar. A paciente apresentava crescimento e desenvolvimento normais e havia recebido todas as vacinas infantis de rotina. Estava em tratamento apenas dos sintomas, e não havia alergias medicamentosas conhecidas. Era vegetariana, não bebia álcool, não fumava tabaco e nem usava drogas ilícitas. Tinha pais e irmão saudáveis. A família estava seguindo as recomendações de isolamento social. Ao exame físico, apresentou-se febril, com FC = 124 bpm, PA = 142 mmHg x 62 mmHg, FR = 30 rpm e saturação de oxigênio = 90% em ar ambiente. Os exames realizados apresentaram creatinina = 2,00 mg/dL, proteína C reativa = 77,5 mg/L, hemoglobina = 6,7 g/dL, leucócitos = 11.890 e plaquetas = 526.000. O EAS revelou 3+ sangue e 2+ proteína; com mais de 100 glóbulos vermelhos e 20 glóbulos brancos por campo de grande aumento.
Qual biópsia renal corresponderia perfeitamente ao caso clínico apresentado?
 

Provas

Questão presente nas seguintes provas
3897864 Ano: 2024
Disciplina: Medicina
Banca: IADES
Orgão: SES-DF
Caso clínico para responder à questão.
Uma paciente de 17 anos de idade foi internada durante a pandemia da Covid-19. Sete dias antes da admissão, Ela iniciou febre e tosse produtiva com escarro claro, vermelhidão nos olhos, dor de garganta, congestão nasal, rinorreia e mialgias. Dois dias após a admissão, a paciente piorou com desconforto respiratório e escarro com manchas de sangue. Os testes rápidos de antígeno para influenza A e B e Covid-19 foram negativos. A tosse piorava com esforço e respiração profunda, associada a dores no peito e nas costas. Outros sintomas incluíam fadiga e dor em ambos os joelhos ao caminhar. A paciente apresentava crescimento e desenvolvimento normais e havia recebido todas as vacinas infantis de rotina. Estava em tratamento apenas dos sintomas, e não havia alergias medicamentosas conhecidas. Era vegetariana, não bebia álcool, não fumava tabaco e nem usava drogas ilícitas. Tinha pais e irmão saudáveis. A família estava seguindo as recomendações de isolamento social. Ao exame físico, apresentou-se febril, com FC = 124 bpm, PA = 142 mmHg x 62 mmHg, FR = 30 rpm e saturação de oxigênio = 90% em ar ambiente. Os exames realizados apresentaram creatinina = 2,00 mg/dL, proteína C reativa = 77,5 mg/L, hemoglobina = 6,7 g/dL, leucócitos = 11.890 e plaquetas = 526.000. O EAS revelou 3+ sangue e 2+ proteína; com mais de 100 glóbulos vermelhos e 20 glóbulos brancos por campo de grande aumento.
Qual é o diagnóstico mais provável para essa paciente?
 

Provas

Questão presente nas seguintes provas
3897863 Ano: 2024
Disciplina: Medicina
Banca: IADES
Orgão: SES-DF
Uma paciente de 42 anos de idade, com peso = 50 kg, fadiga e dor de cabeça há duas semanas foi admitida na emergência com confusão mental e erupção cutânea petequial difusa, FC = 115 bpm e PA = 120 mmHg x 65 mmHg. Os resultados dos exames laboratoriais revelaram anemia, com hematócrito = 20%, plaquetopenia = 12.000, creatinina sérica = 1,6 mg/dL (basal de 0,8 mg/dL), DHL = 2.100 U/mL e haptoglobina < 6 mg/dL. Um esfregaço de sangue periférico mostrou 15% de esquistócitos. A plasmaférese foi indicada para tratamento de provável púrpura trombocitopênica trombótica enquanto se aguardava o resultado da atividade ADAMTS13. Qual é o volume plasmático estimado a ser trocado, e qual o fluido de substituição a ser utilizado respectivamente?
 

Provas

Questão presente nas seguintes provas
3897862 Ano: 2024
Disciplina: Medicina
Banca: IADES
Orgão: SES-DF
Uma paciente de 30 anos de idade, portadora de nefropatia membranosa primária confirmada por biópsia renal, com nível de anti-PLA2R de 185 UR/mL (VR menor que 14 UR/mL). Na consulta de retorno de seis meses, os exames laboratoriais mostram creatinina sérica de 1,1 mg/dL, albumina sérica de 2,8 g/dL e proteínúria de 8,6 g na urina de 24 horas. Sua pressão arterial está controlada em 130 mmHg x 78 mmHg em uso de 100 mg de losartana. A nova dosagem de anti-PLA2R foi de 312 UR/mL. Qual é a conduta recomendada para o caso?
 

Provas

Questão presente nas seguintes provas
3897861 Ano: 2024
Disciplina: Medicina
Banca: IADES
Orgão: SES-DF
Enunciado 4863586-1


Caso clínico para responder à questão.
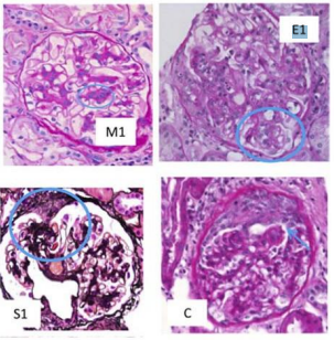
Um paciente de 32 anos de idade foi diagnosticado, recentemente, com hipertensão de diagnóstico (PA = 160 mmHg x 90 mmHg) e hematúria microscópica repetida e confirmada. Exames complementares revelaram creatinina sérica = 1,0 mg/dL e proteinúria na urina de 24 horas = 650 mg. Ele foi submetido a biópsia renal, segundo a figura apresentada, que confirmou o diagnóstico de nefropatia por IgA com pontuação MEST-C M1, E1, S1, T1, С.
Após três meses, o nível da creatinina sérica do paciente piorou gradualmente para 1,5 mg/dL (TFGe = 43 mL/min/1,73 m²), e a proteinúria aumentou de 0,65 g para 2,1 g na urina de 24 horas. O índice de massa corporal (IMC) é de 24 kg/m², a pressão está controlada, e ele não apresenta outras comorbidades. Com base no exposto, qual é o próximo passo?
 

Provas

Questão presente nas seguintes provas
3897860 Ano: 2024
Disciplina: Medicina
Banca: IADES
Orgão: SES-DF
Enunciado 4863585-1


Caso clínico para responder à questão.
Um paciente de 32 anos de idade foi diagnosticado, recentemente, com hipertensão de diagnóstico (PA = 160 mmHg x 90 mmHg) e hematúria microscópica repetida e confirmada. Exames complementares revelaram creatinina sérica = 1,0 mg/dL e proteinúria na urina de 24 horas = 650 mg. Ele foi submetido a biópsia renal, segundo a figura apresentada, que confirmou o diagnóstico de nefropatia por IgA com pontuação MEST-C M1, E1, S1, T1, С.
Qual é o primeiro passo no manejo clínico desse paciente?
 

Provas

Questão presente nas seguintes provas
3897859 Ano: 2024
Disciplina: Medicina
Banca: IADES
Orgão: SES-DF
A intoxicação por alumínio é uma complicação que pode causar neurotoxicidade grave e pode se manifestar de diversas maneiras, por exemplo, crises convulsivas, mioclonias e encefalopatia. Além da otimização da terapia dialítica, o tratamento inclui a (o)
 

Provas

Questão presente nas seguintes provas
3897858 Ano: 2024
Disciplina: Medicina
Banca: IADES
Orgão: SES-DF
Caso clínico para responder à questão.
Durante um turno de hemodiálise, uma paciente apresentou dor abdominal intensa de início súbito, náuseas, vômitos e hipertensão. Ao avaliar o dialisador, notou-se sangue vermelho vivo, sem ruptura das fibras capilares. Então, a sessão de diálise foi encerrada e os exames demonstraram queda importante da hemoglobina de 11 g/dL para 6g/dL e potássio = 6,5mg/dL.
A complicação intradialítica relatada no caso apresentado pode estar relacionada com a
 

Provas

Questão presente nas seguintes provas