Magna Concursos

Foram encontradas 747 questões.

1869571 Ano: 2014
Disciplina: Saúde Pública
Banca: IADES
Orgão: SES-DF
Provas:
Quanto à homeopatia no âmbito do Sistema Único de Saúde (SUS), de acordo com a Portaria no 971/2006, assinale a alternativa correta.
 

Provas

Questão presente nas seguintes provas
1869570 Ano: 2014
Disciplina: Medicina
Banca: IADES
Orgão: SES-DF
Assinale a alternativa incorreta.
 

Provas

Questão presente nas seguintes provas
1869569 Ano: 2014
Disciplina: Medicina
Banca: IADES
Orgão: SES-DF

enunciado 1869569-1

Considerando que, nas amostras ABO1, ABO2, RH1 e ctl, estão as hemácias do paciente e, em A1 e B, está o plasma, é correto afirmar que, em relação à placa da determinação do grupo sanguíneo, o paciente apresenta grupo

 

Provas

Questão presente nas seguintes provas
1869568 Ano: 2014
Disciplina: Medicina
Banca: IADES
Orgão: SES-DF
No que se refere à trombocitemia essencial, assinale a alternativa correta.
 

Provas

Questão presente nas seguintes provas
1869567 Ano: 2014
Disciplina: Medicina
Banca: IADES
Orgão: SES-DF
Com relação ao metabolismo do ferro, é correto afirmar que
 

Provas

Questão presente nas seguintes provas
1869566 Ano: 2014
Disciplina: Medicina
Banca: IADES
Orgão: SES-DF
Quanto à interrupção da aférese terapêutica, que achado não é critério de interrupção?
 

Provas

Questão presente nas seguintes provas
1869565 Ano: 2014
Disciplina: Medicina
Banca: IADES
Orgão: SES-DF
Acerca das consequências da estocagem de glóbulos vermelhos, assinale a alternativa correta.
 

Provas

Questão presente nas seguintes provas
1869564 Ano: 2014
Disciplina: Medicina
Banca: IADES
Orgão: SES-DF
No que se refere à imunologia transfusional, assinale a alternativa correta.
 

Provas

Questão presente nas seguintes provas
1869563 Ano: 2014
Disciplina: Medicina
Banca: IADES
Orgão: SES-DF
Considerando a situação de transplante, é correto afirmar que a
 

Provas

Questão presente nas seguintes provas
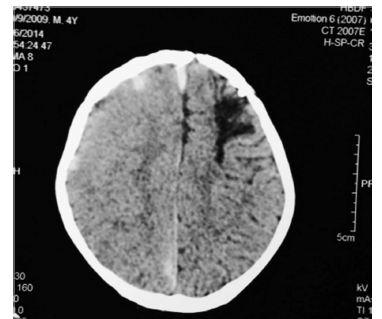
1869562 Ano: 2014
Disciplina: Medicina
Banca: IADES
Orgão: SES-DF

Observe a figura a seguir.

enunciado 1869562-1

Paciente com quatro anos de idade, portador de hemofilia A, com inibidor de alta resposta em alto título (60 unidades Bethesda), apresenta, há 15 dias, queda da própria altura, quadro de náusea, cefaleia e crise convulsiva. A imagem da tomografia de crânio sem contraste mostra-se com o aspecto apresentado na figura. Nessa situação hipotética, o tipo de terapia indicado para o tratamento de urgência do paciente é a reposição de

 

Provas

Questão presente nas seguintes provas