Foram encontradas 374 questões.
Julgue os itens que se seguem, relativos aos tecidos vegetais.
I Os tecidos de suporte são constituídos por células que apresentam as paredes espessas, o que lhes confere rigidez.
II O parênquima é um tecido encontrado exclusivamente na medula das raízes.
III O colênquima, devido à plasticidade e à capacidade de alongar-se, adapta-se à sustentação das folhas e caules em crescimento.
IV O esclerênquima é o primeiro tecido que aparece nos vegetais.
Estão certos apenas os itens
Provas

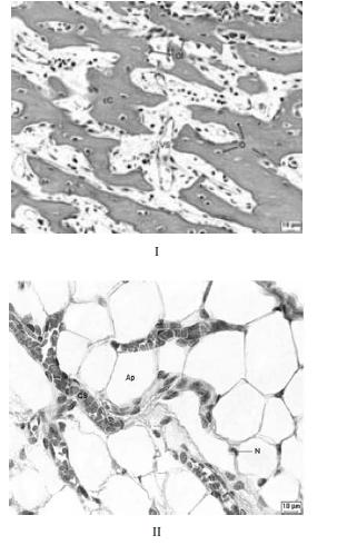
Assinale a opção que, respectivamente, melhor expressa as funções dos tecidos ilustrados nas fotomicrografias I e II.
Provas

Os eventos do ciclo celular, a quiescência, a diferenciação e a morte celular são coordenados por diversas proteínas. Acerca desse assunto e com o auxílio da figura acima, assinale a opção correta.
Provas

Com o auxílio da figura acima, julgue os itens a seguir.
I A figura ilustra uma célula fotografada ao microscópio de luz.
II As células produtoras de hormônios protéicos apresentam a estrutura 1 desenvolvida.
III As células musculares estriadas cardíacas possuem pequenas quantidades de estruturas como a representada em 3.
IV As estruturas 2 e 4 inexistem em células procarióticas.
Estão certos apenas os itens
Provas
Disciplina: Atualidades e Conhecimentos Gerais
Banca: CESPE / CEBRASPE
Orgão: SEDUC-MT
As conseqüências da expansão da produção modernizada de grãos verificada no estado de Mato Grosso não incluem o(a)
Provas
Disciplina: Atualidades e Conhecimentos Gerais
Banca: CESPE / CEBRASPE
Orgão: SEDUC-MT
A cidade de Cuiabá, que cresceu rapidamente a partir da década de 60 do século XX, reúne cerca de 20% da população do estado de Mato Grosso. Quanto às características dessa cidade, assinale a opção correta.
Provas
Disciplina: Atualidades e Conhecimentos Gerais
Banca: CESPE / CEBRASPE
Orgão: SEDUC-MT
O assoreamento e a turbidez dos corpos hídricos são formas de degradação ambiental encontradas no estado de Mato Grosso. As causas desses problemas não incluem o(a)
Provas
Disciplina: Atualidades e Conhecimentos Gerais
Banca: CESPE / CEBRASPE
Orgão: SEDUC-MT
Há, nas terras do estado de Mato Grosso, potencial para o cultivo de grãos em grande escala devido, entre outros fatores,
Provas
Disciplina: Atualidades e Conhecimentos Gerais
Banca: CESPE / CEBRASPE
Orgão: SEDUC-MT
Em vez de reproduzir, como nas antigas áreas de incorporação agrícola, estruturas produtivas preexistentes, a expansão recente da fronteira agropecuária na Amazônia Legal constitui, antes de mais nada, uma fronteira tecnológica na qual a inovação científica é o elemento central de explicação do novo perfil agrorregional.

Considerando o texto acima, assinale a opção correta acerca das transformações vividas pelo estado de Mato Grosso nas últimas décadas.
Provas
Em outubro de 1977, foi sancionada a Lei Complementar que criou o estado de Mato Grosso do Sul pelo desmembramento de área do estado de Mato Grosso. A respeito do processo que resultou nessa divisão, assinale a opção correta.
Provas
Caderno Container