Foram encontradas 374 questões.
- Reino AnimalFisiologia Animal
- Reino AnimalAnatomiaSistema Endócrino
- Reino AnimalAnatomiaSistema Reprodutor
Considerando-se o diagrama ao lado, que representa um ciclo menstrual regular de 28 dias, é correto afirmar que, no período compreendido entre o 17.º e o 28.º dias após o início da menstruação, o ovário produz o hormônio

Provas
Considerando a figura ao lado e a morfofisiologia do sistema digestório humano, julgue os itens a seguir.

I A bile, produzida pelo órgão identificado por 1, tem como função emulsionar as gorduras.
II A estrutura identificada por 2 produz hormônios envolvidos no metabolismo da glicose.
III A absorção de nutrientes ocorre principalmente na estrutura identificada por 3.
IV Enzimas do suco gástrico são ativas em pH alcalino.
Estão certos apenas os itens
Provas
A partir de estudo pormenorizado, verifica-se que o ciclo celular é dividido em duas etapas principais, cujas seqüências estão ilustradas na figura ao lado. Acerca das fases do ciclo celular, julgue os itens que se seguem, considerando a referida figura.

I A duração da fase G1 é variável, pois depende da freqüência com que as células de um tecido se dividem.
II A fase G2, em que ocorre a síntese de RNA, é aquela na qual as células que acabaram de se dividir permanecem até iniciarem outro ciclo mitótico.
III A síntese de DNA ocorre durante a fase S.
IV A telófase caracteriza-se pela reconstrução dos núcleos das células filhas.
A quantidade de itens certos é igual a
Provas

Com relação à estrutura celular ilustrada na figura acima, é correto afirmar que a mesma
Provas

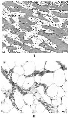
Referentemente a histologia animal, é correto afirmar que os tecidos ilustrados nas figuras I e II acima são, respectivamente,
Provas

É correto afirmar que as cinco espécies ilustradas na figura acima,
Provas

O esquema ilustrado acima representa o ciclo de vida de um organismo pertencente ao grupo das
Provas
Considere as características morfofisiológicas a seguir.
I Animais simples com tecidos parcialmente diferenciados, sem órgãos internos e que se reproduzem sexuada ou assexuadamente conforme as condições ambientais.
II São os primeiros animais na escala evolutiva com sistema nervoso e cavidade digestiva; vivem isolados ou em colônias; habitam o meio aquático.
As características acima apresentadas nos itens I e II referem-se, respectivamente, aos organismos pertencentes aos filos
Provas
Participantes de diversas teias alimentares, crustáceos e aracnídeos constituem dois grupos do filo artrópode. Enquanto os crustáceos são importantes componentes dos ecossistemas aquáticos, os aracnídeos ocupam ecossistemas terrestres. Acerca das características morfofisiológicas comuns a esses dois grandes grupos, assinale a opção correta.
Provas

A figura acima ilustra um exemplo de teia alimentar do pantanal. Considerando essa teia de alimentação e com relação a esse assunto, assinale a opção correta.
Provas
Caderno Container