Foram encontradas 30 questões.
Edileuza, 64 anos, tabagista e diabética, procura serviço de pronto atendimento com dor precordial há 2 horas e PA
= 149x96 mmHg. A paciente realiza eletrocardiograma, conforme imagem a seguir:

Após a realização do eletrocardiograma, o plantonista institui algumas condutas terapêuticas. Porém, após a utilização de uma das medicações, o quadro de Edileuza evolui para hipotensão acentuada, mal-estar generalizado e sintomas de baixo débito, sem rash cutâneo ou angioedema. Qual medicação poderia justificar o quadro dessa paciente?

Após a realização do eletrocardiograma, o plantonista institui algumas condutas terapêuticas. Porém, após a utilização de uma das medicações, o quadro de Edileuza evolui para hipotensão acentuada, mal-estar generalizado e sintomas de baixo débito, sem rash cutâneo ou angioedema. Qual medicação poderia justificar o quadro dessa paciente?
Provas
Questão presente nas seguintes provas
Antônio Carlos, 60 anos, tabagista 40 anos-maço, realiza TC de tórax como prevenção secundária para câncer de
pulmão. No exame, foi observado nódulo de 6 mm, em vidro fosco, sem componente sólido, em lobo superior direito.
Qual a recomendação CORRETA para esse paciente?
Provas
Questão presente nas seguintes provas
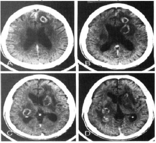
Sr. FS, 39 anos, convive com HIV há 10 anos, faz uso irregular de terapia antirretroviral e não sabe referir seu último
CD4 dosado. Ele procura atendimento no pronto-socorro por quadro de rebaixamento do nível de consciência há três
dias, associado à intensa cefaleia. Apresentou três episódios de convulsões tônico-clônicas generalizadas. O exame
neurológico simplificado demonstrou hemiparesia à esquerda, Glasgow 13, sem sinais de irritação meníngea e com
fundo de olho normal. Foi realizada tomografia, de acordo com a imagem a seguir:

Considere que a principal hipótese diagnóstica foi confirmada. Qual deve ser a conduta CORRETA?

Considere que a principal hipótese diagnóstica foi confirmada. Qual deve ser a conduta CORRETA?
Provas
Questão presente nas seguintes provas
Sr.ª AM, 28 anos, motorista de aplicativo, procurou assistência da clínica médica com quadro de febre persistente,
dor em abdômen superior, perda ponderal de 2 kg em 3 semanas, além de queda do estado geral. Ao exame clínico,
a paciente apresentava palidez cutânea e esplenomegalia.
Baseando na história clínica de Sr.ª AM, assinale a alternativa INCORRETA.
Provas
Questão presente nas seguintes provas
A reposição de levotiroxina (LT4) constitui tratamento consagrado do hipotireoidismo, independentemente da sua
etiologia. Muitas drogas e várias situações clínicas afetam a farmacocinética e o metabolismo do hormônio
tireoidiano; por exemplo, absorção, síntese, secreção, catabolismo, ligação proteica e resposta do tecido-alvo,
reduzindo a resposta terapêutica a LT4. Em qual das alternativas a seguir encontramos situações em que NÃO há
necessidade de aumento da dose de levotiroxina?
Provas
Questão presente nas seguintes provas
JJ, 12 anos, morador de zona rural, ao retornar da escola, percebeu ter sido picado por animal não visualizado por
ele, no membro inferior esquerdo. Em 4 horas, o quadro evoluiu para turvação visual e alteração da ectoscopia,
conforme imagem abaixo:

Qual o achado laboratorial comumente encontrado pela ação do veneno desse animal?

Qual o achado laboratorial comumente encontrado pela ação do veneno desse animal?
Provas
Questão presente nas seguintes provas
O Sr. FB, 72 anos, portador de cardiopatia chagásica dilatada com fração de ejeção de 42% e aumento de ventrículo
esquerdo, comparece à unidade de saúde. O paciente informa uso de captopril, carvedilol, furosemida e digoxina, há
6 meses, e relata que vem notando, nas últimas semanas, visão amarelada, anorexia e náuseas. Qual propedêutica
laboratorial pode contribuir para justificar o quadro clínico apresentado pelo Sr. FB?
Provas
Questão presente nas seguintes provas
Sr. JG, 60 anos, procura o serviço hospitalar com falta de ar e dor torácica iniciada há 40 minutos. Referiu que, na
véspera, começou a se sentir mal e esteve no mesmo hospital, quando foi examinado e realizou radiografia de tórax
e eletrocardiograma. Na ocasião, os médicos lhe disseram que não encontraram anormalidades relevantes e deram
alta a ele, que foi para casa. O paciente possui histórico de tabagismo crônico. Exame físico: FC = 134 bpm, FR+
36irpm, PA = 89x58 mmHg, Oximetria = 85%, sudorético. AR = murmúrio vesicular fisiológico, sem ruídos
adventícios; ACV: bulhas rítmicas e fonéticas. Seguem abaixo as imagens do ECG e TC de tórax.

Qual a conduta CORRETA para esse paciente?

Qual a conduta CORRETA para esse paciente?
Provas
Questão presente nas seguintes provas
De acordo com a Lei Orgânica da Saúde, Lei n.º 8.080/1990, o Sistema Único de Saúde (SUS) pode se organizar em
distritos de forma a integrar e articular recursos, técnicas e práticas voltadas para a cobertura total das ações de
saúde, no nível
Provas
Questão presente nas seguintes provas
INSTRUÇÃO: Leia, com atenção, o texto a seguir para responder à questão que a ele se refere.
Memória das coisas


Fonte: VILELA, Daniel. Memória das coisas. Disponível em: <https://vidasimples.com/conviver/memoria-das-coisas/ >. Acesso em: 20 jun. 2019.
Provas
Questão presente nas seguintes provas
Cadernos
Caderno Container