Foram encontradas 40 questões.
Consoante à Lei Orgânica do Município de Uberaba, assinale a alternativa correta.
Provas
A tomografia computadorizada é um excelente método para a avaliação dos ossos temporais, sobretudo as estruturas do ouvido médio e mastoide. Analisando o ouvido direito mostrado na imagem a seguir, qual anomalia congênita da cadeia ossicular pode ser observada?

Provas
Após o tumor de Wilms, o neuroblastoma é o tumor maligno abdominal mais comum em crianças. De acordo com os achados de imagem no diagnóstico de neuroblastoma, é correto afirmar que
Provas
Os angiomiolipomas são os tumores renais benignos mais comuns. Eles possuem quantidades variáveis de tecido adiposo maduro. Sobre esse tema, assinale a alternativa correta.
Provas
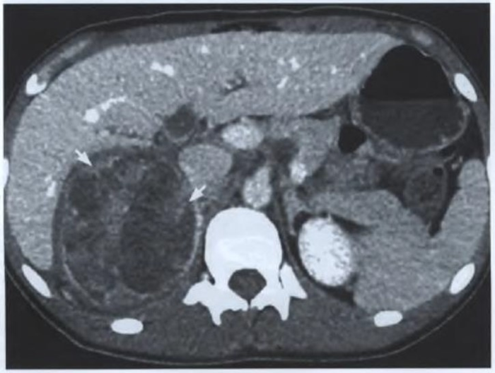
Mulher de 45 anos, apresentando sinais de virilização, procura atendimento endocrinológico e, na primeira consulta, alguns exames laboratoriais e de imagem são solicitados. O ultrassom de rotina, realizado semanas antes da referida consulta, descreve massa na adrenal direita e sugere prosseguimento da investigação. O endocrinologista solicita tomografia abdominal com contraste. De acordo com a imagem tomográfica mostrada a seguir, extraída da tomografia da paciente do caso relatado, assinale a alternativa INCORRETA.

Provas
Ao realizar o ultrassom de mamas de uma paciente do sexo feminino, 36 anos, assintomática, você detecta nódulo hipoecogênico oval, de contornos regulares, com o maior eixo paralelo à pele, sem sombra acústica posterior ou calcificações, que mede 1.6 x 0.9 x 0.6 cm, localizado no QIM da mama esquerda. A paciente não possui exames anteriores para análise comparativa/evolutiva. De acordo com o BI-RADS, qual é o seguimento mais adequado desse achado?
Provas
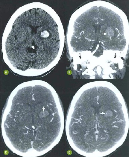
Paciente do sexo masculino, 57 anos, hipertenso e diabético, chega ao PA relatando cefaleia intensa, de início súbito, por vezes associada à tontura. Ao exame físico, nota-se pico hipertensivo.
Com base nas imagens tomográficas a seguir, é correto afirmar que

Provas
Qual é a melhor descrição para o princípio ALARA?
Provas
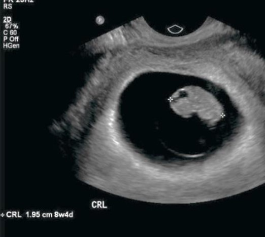
Paciente, na 8ª semana de gestação, procura atendimento após sangramento via vaginal. De acordo com a imagem a seguir, é correto afirmar que

Provas
Paciente, funcionário de montadora automobilística, chega ao ultrassom alegando “Síndrome do Manguito Rotador”. Quais são os músculos que deverão ser atentamente analisados na suspeição dessa condição, por constituírem o manguito rotador?
Provas
Caderno Container