Foram encontradas 460 questões.
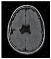
Menino de 3 anos de idade apresenta hemiparesia à esquerda e epilepsia focal. Estudo de imagem por ressonância magnética revela alteração a seguir.

O achado de imagem é compatível com o diagnóstico de
Provas
Adolescente do sexo feminino, de 14 anos de idade, é trazida ao pronto-socorro por episódio de crise epiléptica tônico-clônica generalizada. A crise ocorreu pela manhã, após uma noite em que a paciente teve apenas 5 horas de sono. Paciente refere que há 3 meses tem apresentado episódios de “choques” em membros superiores, principalmente pela manhã, nos quais já derrubou xícaras e talheres. No eletroencefalograma, apresenta descargas epilépticas do tipo poliespícula-onda generalizadas, com frequência maior que 3 Hz, exacerbadas por fotoestimulação. O diagnóstico mais provável é
Provas
Lactente do sexo masculino, com 4 meses de idade, é trazido à consulta por queixa de convulsões. Mãe refere que a criança apresenta episódios recorrentes de extensão do pescoço e do tronco após refeições, associados a choro, irritabilidade, engasgos e vômitos. Apesar da dificuldade de ganho ponderal, apresenta desenvolvimento e exame neurológico normais. O diagnóstico mais provável é
Provas
O padrão de acometimento neurológico mais comum na hanseníase é
Provas
Lactente de 2 meses de vida é trazido à consulta por assimetria da boca notada ao nascimento. Na avaliação, durante o choro, apresenta paralisia do lábio inferior esquerdo. A oclusão ocular é simétrica. Movimentação espontânea dos quatro membros é presente e simétrica, com tônus muscular e reflexos osteotendíneos preservados. O diagnóstico mais provável é
Provas
Em qual das alternativas é apresentada uma causa tóxico-metabólica de coreia em adultos?
Provas
Paciente, 46 anos, hipertensa em uso regular das medicações, estava em casa realizando tarefas domésticas quando sua filha notou que ela estava com fala repetitiva e não conseguia se recordar do que tinha ocorrido naquela manhã. Ao exame neurológico, não havia déficit focal e sinais vitais normais. À realização de exames complementares, exames laboratoriais normais e na ressonância de crânio, havia lesão em hipocampo na sequência DWI – difusão. No dia seguinte, paciente estava assintomática.
Assinale a alternativa correta quanto a possível diagnóstico.
Provas
Paciente jovem vem a uma consulta queixando-se de movimentos torcionais repetidos da cabeça há cerca de 2 meses, e quando apoia sua mão na região do mento, tem a impressão que melhora.
Qual a hipótese diagnóstica.
Provas
Paciente, masculino, 66 anos, hipertenso e diabético mal controlado, há 2 dias iniciou quadro clínico súbito com hemiplegia braquiofacial à esquerda associada a ptose palpebral e desvio do olhar do olho direito que não aduz inclusive na convergência do olhar para perto. Também se queixa de diplopia.
Qual o diagnóstico provável.
Provas
Com relação ao astrocitoma pilocítico, assinale a alternativa correta.
Provas
Caderno Container