Foram encontradas 460 questões.
Menino de 5 anos de idade é trazido ao pronto-socorro por dificuldade para andar, há 2 dias. Na avaliação, a criança só quer permanecer sentada e chora por dor na região lombar e em membros inferiores quando é colocada para andar com apoio. Força muscular é de difícil avaliação em membros inferiores, mas é preservada em membros superiores. Os reflexos osteotendíneos são abolidos globalmente, e o reflexo cutâneo-plantar é em flexão bilateral. A sensibilidade é preservada. Estudo do LCR evidenciou 1 célula e 92 mg/dL de proteínas (valor de referência 15 a 40 mg/dL). Há 1 semana do início dos sintomas, a criança apresentou quadro de gastroenterite com resolução espontânea.
Considerando o diagnóstico mais provável, é correto afirmar que
Provas
Adolescente de 15 anos, do sexo feminino, apresenta episódios recorrentes de enxaqueca há 1 ano, com falta escolar pelo menos uma vez por semana por causa da dor. A cefaleia é exacerbada no período em que tem descompensação do quadro de asma e após brigas com o namorado. À avaliação, apresenta IMC de 28, sem outras alterações. Associado às medidas comportamentais, o fármaco mais adequado para profilaxia da dor, nesse caso, é
Provas
Menino de 9 anos de idade é trazido à consulta por dificuldade escolar. Atualmente, está cursando o 3o ano do ensino fundamental. Ainda não foi alfabetizado e só sabe escrever o próprio nome. Apresenta dificuldade com contas simples de adição e subtração. Tem boa interação social com os colegas, mas prefere brincar com crianças mais novas. Em casa, precisa de auxílio no banho e para se vestir. Tem dificuldade em nomear os meses do ano e não sabe a própria data de aniversário. O diagnóstico mais provável é
Provas
Menino de 6 anos é trazido à consulta pelos pais por queixa de apresentar mau comportamento. Pais relatam que a criança tem dificuldade para seguir ordens e sempre costuma discutir quando solicitado para que realize alguma tarefa. Relatório escolar informa que a criança nunca obedece aos professores e briga constantemente com outros colegas. Em algumas ocasiões, já bateu na tia, a qual toma conta dele nos fins de semana. O diagnóstico mais provável é:
Provas
Em relação à narcolepsia, é correto afirmar que
Provas
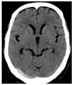
Adolescente do sexo feminino, de 14 anos de idade, é trazida ao pronto-socorro por dor de cabeça. Relata cefaleia persistente há 3 dias, a qual teve início súbito, com piora ao decúbito. Ao exame, apresenta papiledema e restrição na abdução do olho direito. Estudo de imagem demonstra a alteração a seguir.

O diagnóstico mais provável é
Provas
A topografia mais comum do astrocitoma pilocítico é:
Provas
Menino de 2 anos de idade é trazido à consulta por queixa de atraso do desenvolvimento. Na avaliação da pele, observam-se áreas de hipopigmentação em forma de estrias e espirais ao longo das linhas de Blaschko. O diagnóstico mais provável é
Provas
Lactente do sexo masculino, de 9 meses de idade, apresenta regressão do desenvolvimento, hipotonia e macrocefalia. Avaliação oftalmológica revela presença de “mancha vermelho-cereja”. Ao exame neurológico, reação de sobressalto (startle) é proeminente. O diagnóstico mais provável é
Provas
Em relação à paralisia cerebral, é correto afirmar que
Provas
Caderno Container