Foram encontradas 245 questões.
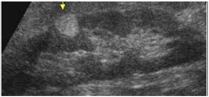
Paciente assintomático, com o seguinte achado na ultrassonografia de abdome. Qual a principal hipótese diagnóstica?

Provas
Paciente do sexo masculino, 12 anos, com queixa de massa cervical, realizou ultrassonografia que evidenciou cisto simples uniloculado na linha média da região cervical anterior. Qual seria a principal hipótese diagnóstica?
Provas
Sobre atenuação do feixe acústico na ultrassonografia, assinale a alternativa correta.
Provas
O cisto de Baker é um aumento da bursa localizado entre as inserções tendíneas dos músculos
Provas
Em relação ao tumor de Wilms, assinale a alternativa correta.
Provas
A presença dos intérpretes de língua de sinais no Brasil se iniciou por volta dos anos 80, em trabalhos religiosos, mas o marco fundamental do processo de reconhecimento e formação do profissional intérprete de Língua de Sinais foi
Provas
O trabalho pedagógico com os alunos com surdez nas escolas comuns deve ser desenvolvido em um ambiente bilíngue, ou seja, em um espaço em que se utilize a Língua de Sinais e a Língua Portuguesa. O Atendimento Educacional Especializado (AEE) acontece na sala de recursos multifuncionais e em horário diferente e, de acordo com os documentos do MEC, os profissionais habilitados para trabalharem no AEE da surdez são
Provas
A Língua Brasileira de Sinais também pode ser difundida e aprendida por , que podem ser pessoas ouvintes especializadas em trabalhar com pessoas surdas. A função destes ainda está em crescimento, mas já foi reconhecida e regulamentada através da Lei nº 12.319/2010. Assinale a alternativa que preenche corretamente a lacuna.
Provas
No tocante à Língua Brasileira de Sinais, assinale a opção incorreta.
Provas
Para se comunicar utilizando a Língua Brasileira de Sinais, além de conhecer , é preciso também conhecer para combinar e estabelecer a comunicação de forma correta e eficaz. Assinale a alternativa que preenche corretamente as lacunas.
Provas
Caderno Container