Foram encontradas 39 questões.
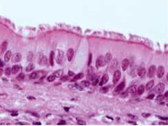
O tecido epitelial é caracterizado por possuir pouca quantidade de material intercelular, apresentando, portanto, células justapostas. Sabendo que a imagem a seguir representa um tipo de tecido epitelial retirado do trato respiratório, podemos classificá-lo, segundo a forma e o arranjo, como:

(http://mol.icb.usp.br/wp-content/uploads/2-28.jpg Data de acesso: 11 de abril de 2019)
Provas
Questão presente nas seguintes provas
Observe a imagem e o texto a seguir e responda o que se pede.

(https://static.lvengine.net/portaldadialise2/Imgs/pages/page_914/shutterstock_203588125-compressor.jpg Data de acesso: 11 de abril de 2019)
“Quando os rins deixam de funcionar, a hemodiálise surge como uma opção de tratamento que permite remover as toxinas e o excesso de água do seu organismo. Nesta técnica depurativa, uma membrana artificial é o elemento principal de um dispositivo designado dialisador, comumente conhecido por “rim artificial”. O objetivo da diálise é substituir as funções excretoras dos rins.”
(https://www.portaldadialise.com/portal/o-que-e-hemodialise. Data de acesso: 11 de abril de 2019)
Considerando que a hemodiálise tem como objetivo substituir as funções do sistema urinário, um conjunto de órgãos responsável pela filtração do sangue, assinale a alternativa em que se encontra o local onde o sangue é filtrado nesse sistema do corpo humano.
Provas
Questão presente nas seguintes provas
Apesar de ser um mecanismo que ajuda o sistema imunológico a combater infecções, a febre, em alguns casos, precisa ser acompanhada por um médico. A febre pode ser um forte indício de uma infecção viral ou bacteriana, por exemplo. E, por isso, é muito importante ter um termômetro em casa. Após perceberem que seu filho Lucas, de 2 anos, estava com a temperatura corporal em 38,5ºC, Heitor e Poliana decidiram que se a febre ultrapassasse os 39ºC ou se Lucas apresentasse diarreia, então eles iriam levar Lucas ao Hospital para que profissionais o avaliassem. Sabendo que Heitor e Poliana levaram Lucas ao Hospital, é possível afirmar logicamente que:
Provas
Questão presente nas seguintes provas
Qual das alternativas representa o 11º e o 12º termos da sequência lógica a seguir?

Provas
Questão presente nas seguintes provas
Antônia, Luísa e Maria são irmãs. Sabe-se que Luísa e Maria são gêmeas e que a idade de Antônia é 1/3 da idade de Maria. Sabe-se também que o produto das idades de Antônia, Luísa e Maria é 1125.
Qual é o valor da soma das idades das três meninas?
Provas
Questão presente nas seguintes provas
Rafael está organizando uma festa para comemorar os seus 40 anos. Ele decidiu servir três bebidas alcoólicas (cerveja, pinga e whisky) e três bebidas não alcoólicas (água, água de coco e refrigerante). No final da festa, constatou-se que todos que beberam pinga também beberam cerveja. Constatou-se também que nenhum convidado que bebeu cerveja tomou whisky. Sabese ainda que 20 pessoas beberam pinga, 50 beberam cerveja e 30 beberam whisky. Além disso, sabe-se que 10% das pessoas que beberam, das bebidas alcoólicas, apenas cerveja, também beberam refrigerante e que 2/3 dos convidados que beberam whisky também beberam água de coco. Diante desta situação de consumo, é possível afirmar que a quantidade de convidados que beberam somente bebida alcoólica foi:
Provas
Questão presente nas seguintes provas
Segundo a Autoridade Europeia para a Segurança dos Alimentos (EFSA), uma dose de 300 mg de cafeína ao dia pode ajudar a melhorar o rendimento de atividades físicas e intelectuais. A xícara de café da casa de Juliana contém 147 mg de cafeína. Quando Juliana toma uma xícara de café em sua casa, qual é o percentual de cafeína da dose diária recomendada pela EFSA que ela está ingerindo?
Provas
Questão presente nas seguintes provas
A Polícia Militar (PM) de uma cidade de Minas Gerais verificou que vários moradores da cidade estavam sendo vítimas de estelionatários e caindo em golpes, como, por exemplo, o “Sequestro Virtual”, com o qual o infrator finge que algum parente da vítima foi sequestrado e, surpreendida pela notícia, a vítima faz o pagamento exigido na ligação e/ou mensagens recebidas para que o parente seja liberado. A PM, então, decidiu alertar a população sobre esses golpes e emitiu o seguinte alerta:
“Se receber uma ligação de um número que você não conhece, não forneça seu nome nem o número de sua conta bancária.”
Com a informação, Francisco, morador da cidade, assustado com a situação, decidiu acatar o conselho da PM. Ao receber uma determinada ligação, Francisco forneceu sua conta bancária à pessoa que estava do outro lado da linha. É possível afirmar logicamente que Francisco
Provas
Questão presente nas seguintes provas
Se V representa a verdade e F a falsidade, analise os valores lógicos ocultos da última coluna da tabela-verdade abaixo.
| P | Q | R | S | !$ P \rightarrow Q \lor R \leftrightarrow S \land \sim P \rightarrow R. !$ |
| V | V | F | V | |
| F | V | F | F | |
| V | F | F | F | F |
| F | F | V | V | |
| V | F | V | F | |
| F | V | F | V |
Indique a alternativa que responde CORRETAMENTE:
Provas
Questão presente nas seguintes provas
Precisamos falar sobre o direito à cidade
por Mariana de Freitas e Souza para o Portal Geledés - 22/04/2019
Sob a ótica constitucional, o conceito de direito à cidade está relacionado a construção de direitos relativos à moradia e ao meio ambiente sustentável, assim, discutir esse tema é de fundamental importância para a classe trabalhadora e deve ser responsabilidade de todos os lados: gestores, urbanistas, sujeitos jurídicos, incorporadores, mercado, sociedade. O acesso à moradia, mesmo sendo um direito reconhecido no ordenamento jurídico não é uma realidade para todos. Segundo pesquisa da Fundação João Pinheiro, o Brasil possui mais de 6,9 milhões de famílias sem habitação e nesse cenário há cerca de 6,05 milhões de imóveis desocupados. Essa situação evidencia que o poder público muitas vezes está alheio às dinâmicas sociais, a preocupação com os direitos humanos no discurso dos gestores, fica apenas nisso: no discurso. Quando analisadas as desigualdades sob a perspectiva de gênero e raça, podemos notar vários desafios para a autonomia e o exercício de direitos. De acordo com Censo de 2010, estima-se que 11,4 milhões de brasileiros vivam em favelas (aproximadamente 6% da população) e esses moradores também são maioria pretos ou pardos (68%).
Os movimentos sociais se constituem como um importante espaço no processo de luta pela constituição desse direito. A narrativa dada pela grande imprensa, como forma de acionar demandas repressivas, não é novidade. Ao contrário do que é apresentado, tais movimentos são formados pela resistência de trabalhadores(as) que estão no espaço periférico e que conhecem no dia a dia a ausência do Estado no que diz respeito à provisão de infraestrutura e serviços públicos básicos, enquanto as áreas centrais ou nobres da cidade recebem investimentos privados como públicos, em um processo contínuo de reprodução do capital. Como afirma Harvey:
O direito à cidade significa o direito de todos nós a criarmos cidades que satisfaçam as necessidades humanas, as nossas necessidades (…) O direito à cidade não é simplesmente o direito ao que já existe na cidade, mas o direito de transformar a cidade em algo radicalmente diferente, quando eu olho para a história, vejo que as cidades foram regidas pelo capital, mais que pelas pessoas. Assim, nessa luta pelo direito à cidade haverá também uma luta contra o capital. (HARVEY, 2011, p. 1).
Neste processo de produção espacial, evidencia-se a associação entre o capital imobiliário e o Estado com o intuito de viabilizar interesses privados e não por iniciativa voltada à melhoria dos serviços públicos e infraestrutura urbana para a população, o que gera variadas consequências sociais e tende a se acentuar no governo vigente.
Por fim, nos cabe buscar apreender as características da nossa formação sócio-histórica sob o modo de produção capitalista que materializa hierarquizações bem como nesse contexto entender a atuação dos movimentos sociais, enquanto espaço de resistência política no que se refere à luta pela garantia de direitos e exercício da cidadania em termos de políticas públicas, pela efetivação da mobilidade urbana, à proteção ambiental e demais usos de utilidade pública e interesse social do espaço, afinal “o direito à cidade não é um presente”.
(HARVEY, 2013, p. 43).
Assinale a alternativa que melhor representa a adequação à norma culta dos trechos do texto 7, com relação à pontuação e à concordância verbal:
Provas
Questão presente nas seguintes provas
Cadernos
Caderno Container