Foram encontradas 30 questões.
“O lago de Sobradinho é o segundo maior lago artificial do mundo e o primeiro da América Latina, com 828 km² de área e 32200 km³ de água. Situado no norte do estado da Bahia, foi construído na década de 1970, mediante o represamento das águas do rio São Francisco, com vistas ao aproveitamento hidroelétrico do rio através da usina de Sobradinho, a maior do estado e uma das maiores usinas hidrelétricas do Brasil.”
https://rafhatur.com.br
Sobre o texto, é CORRETO afirmar que:
Provas
Sobre as manifestações clínicas da insuficiência respiratória aguda, é CORRETO afirmar que:
Provas
Responda (V) para verdadeiro e (F) para falso para as afirmativas abaixo.
(.....) Em acidentes com himenópteros, no quadro tóxico ocorre quando há mais de 100 picadas; liberação de histamina, rabdomiólise, hemólise, intoxicação adrenérgica.
(.....) Em casos de intoxicação com plantas, a planta Comigo-ninguém-pode, tem como efeitos característicos: vômitos, cólicas, diarréia sanguinolenta, insuficiência renal.
(.....) Animais peçonhentos são todos os animais que produzem veneno (zootoxina) e possui aparato especializado (presas, quelíceras, ferrões) para a sua inoculação em outros animais e no homem.
(.....) Dosagem sérica quantitativa é utilizada quando a substância ingerida é desconhecida, no uso de múltiplas substâncias ou incompatibilidade entre os achados clínicos e a história.
(.....) O uso de carvão ativado pode ser empregado em casos de ingestão de Acetilcisteína, fenotiazinas, ácido acetilsalicílico, paracetamol, Iodetos, antidepressivos tricíclicos, Cloreto de mercúrio, morfina, atropina, cloreto de metiltionínio (azul de metileno).
Assinale a alternativa que representa as respostas das afirmativas acima:
Provas
É considerada uma das complicações do uso de carvão ativado.
Provas
LEIA O RELATO DE CASO ABAIXO:
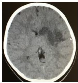
Criança de 8 anos, masculino, branca, acompanhada pela mãe, dá entrada no hospital com afasia mista e hemiplegia a direita. Acompanhante relata que a paciente estava previamente hígida e após atividade física, torneio de basquete e natação que ocorreu na escola do dia anterior (entre 09:00 - 12:00), a paciente se queixou de cefaleia de intensidade acentuada, não soube especificar o tipo e se havia irradiação, associada à dor torácica e dispneia. A mãe a medicou com dipirona, 40 gotas, e a paciente dormiu. Quando despertou às 16 horas apresentava afasia motora e choro gesticulando que permanecia com dor torácica. A mãe fez então massagem com hidratante corporal em todo o corpo da paciente e administrou ½ comprimido de Torsilax®, após isso a paciente adormeceu. No dia seguinte, em torno de 7h a mãe a encontrou caída no chão aos pés da cama, afásica, com desvio da rima labial para a esquerda, hemiplegia à direita e disfagia, teve insucesso na tentativa de levantá-la. Foi então que a levou à Unidade de Pronto Atendimento (UPA) onde foi encaminhada para o Hospital Universitário, lá realizou exames. A paciente apresentava hemiplegia direita e afasia mista e queixava de cefaleia e dor toráxica. Ao exame: pele íntegra, afebril, PA: 120X63 mmHg, FC: 72bpm, FR: 14irpm, SatO2 de 100%, pupilas isocóricas, reflexo fotomotor presente, escala de coma de Glasgow com 11/15 pontos. Sintomas Gerais: Refere ao aumento do peso de 15kg em 1 ano e meio. Nega febre, calafrios, prurido, sudorese ou palidez. Refere à cefaleia e dor ocular, nega redução da acuidade visual, fotofobia ou secreção lacrimal. Refere à otalgia e nega otorragia, hipoacusia e zumbidos. Nega epistaxe, rinorreia e parosmia. Refere a palpitações e dor torácica. Refere à dispneia sem tosse e sem hemoptise. Refere à disfagia e nega náuseas ou vômitos. Nega diarreia ou sintomas urinários. Refere-se também à parestesia braquial e crural esquerda. Nega tremores, convulsões e automatismos. Cartão vacinal atualizado. Durante a investigação foi realizado uma tomografia computadorizada (TC) de crânio no 1º DIH com áreas hipoatenuantes mal delimitadas acometendo substância branca e cinzenta das regiões nucleocapsular, insular/subinsular e frontotemporal à esquerda associadas à redução de amplitude de sulcos corticais e fissuras regionais e a compressão de parte do ventrículo lateral esquerdo. Linha média centrada (Figura1).

(Figura1)
Sobre o caso, responda (V) para verdadeiro e (F) para falso para as alternativas abaixo.
(.....) Trata-se de um caso de AVC hemorrágico.
(.....) Trata-se de um caso de AVC Isquêmico.
(.....) Na tomografia computadorizada (TC) na imagem formada do cérebro, a substância cinzenta fica branca porque ela é rica em corpos de neurônios, ou seja, apresenta grande quantidade celular em relação à gordura.
(.....) Na TC o hematoma subdural é identificado pela coleção de sangue entre a dura-máter e a calota craniana.
(.....) Na avaliação neurológica do paciente, ao observar uma TC é preciso verificar a simetria, linha média, ventrículos, sulcos cerebrais, estrutura óssea.
Assinale a alternativa que representa as respostas das alternativas acima:
Provas
Para garantir atendimento integral às necessidades dos indivíduos, família e comunidade a enfermeira da atenção básica deve realizar ações de promoção, proteção à saúde e assistenciais. Assinale a alternativa INCORRETA em relação à organização da atenção básica.
Provas
A política de saúde no Brasil está no capítulo da seguridade social da Constituição Federal e coloca que o Estado desempenha papel central na administração e financiamento das políticas sociais e de saúde. Assinale a alternativa INCORRETA.
Provas
Assinale a alternativa que descreve o papel da política de Educação Permanente em Saúde no SUS.
Provas
Considerando a concepção, a gestão e a operacionalização do sistema único de saúde (SUS), assinale a opção CORRETA.
Provas
Em navegadores web existe uma funcionalidade capaz de memorizar informações mais detalhadas sobre você, como seus interesses e hábitos de navegação na web. Significa que um site pode te fornecer conteúdo mais direcionado geralmente na forma de anúncios.
O texto acima refere-se a:
Provas
Caderno Container