Magna Concursos

Foram encontradas 1.358 questões.

505635 Ano: 2018
Disciplina: Medicina
Banca: VUNESP
Orgão: Pref. Serrana-SP
Provas:

Durante o atendimento de vítima em parada cardiorrespiratória, foi realizada, no segundo ciclo, uma desfibrilação com 200 J e administrado 1 mg de adrenalina. Após manutenção das manobras de ressuscitação cardiorrespiratória e nova análise do ritmo (registro a seguir), foi realizada uma nova desfibrilação.

enunciado 505635-1

Qual o próximo medicamento que deverá ser administrado?

 

Provas

Questão presente nas seguintes provas
505634 Ano: 2018
Disciplina: Medicina
Banca: VUNESP
Orgão: Pref. Serrana-SP
Provas:

Homem, 77 anos, hipertenso e diabético, em uso regular de losartana, hidroclorotiazida e metformina, queixa-se de palpitação e pré-síncope nos últimos 3 meses. O exame físico é normal e o ecocardiograma mostra função biventricular preservada e ausência de alterações da contratilidade segmentar. O eletrocardiograma dinâmico, durante exacerbação dos sintomas, está apresentado a seguir.

enunciado 505634-1

Assinale a alternativa que contém o diagnóstico e a conduta terapêutica correta.

 

Provas

Questão presente nas seguintes provas
505633 Ano: 2018
Disciplina: Medicina
Banca: VUNESP
Orgão: Pref. Serrana-SP
Provas:

Leia o enunciado a seguir e responda a questão.

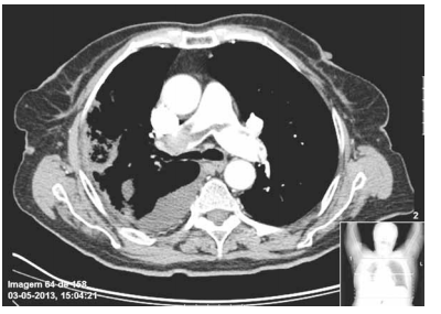
Mulher, 68 anos, sem antecedentes mórbidos, apresenta dor torácica ventilatório-dependente, de forte intensidade com piora à inspiração profunda e dispneia intensa. Recebeu alta há 15 dias após internação para cirurgia de correção de fratura de colo de fêmur. Exame físico: bom estado geral, taquipneica leve, afebril, PA = 120x70 mmHg, saturação periférica de oxigênio = 89% em ar ambiente, ausculta cardíaca normal e ausculta pulmonar com estertores crepitantes finos em bases. Realizados eletrocardiograma e tomografia computadorizada de tórax com contraste, ilustrados a seguir.

enunciado 505633-1

enunciado 505633-2

Assinale a alternativa que contém a causa fisiopatológica mais provável da intercorrência apresentada.
 

Provas

Questão presente nas seguintes provas
505632 Ano: 2018
Disciplina: Medicina
Banca: VUNESP
Orgão: Pref. Serrana-SP
Provas:

Leia o enunciado a seguir e responda a questão.

Mulher, 68 anos, sem antecedentes mórbidos, apresenta dor torácica ventilatório-dependente, de forte intensidade com piora à inspiração profunda e dispneia intensa. Recebeu alta há 15 dias após internação para cirurgia de correção de fratura de colo de fêmur. Exame físico: bom estado geral, taquipneica leve, afebril, PA = 120x70 mmHg, saturação periférica de oxigênio = 89% em ar ambiente, ausculta cardíaca normal e ausculta pulmonar com estertores crepitantes finos em bases. Realizados eletrocardiograma e tomografia computadorizada de tórax com contraste, ilustrados a seguir.

enunciado 505632-1

enunciado 505632-2

Após internação e monitorização, houve rebaixamento súbito do nível de consciência. A paciente ficou desacordada, sem responder a estímulos verbais ou dolorosos e sem apresentar pulsos centrais e movimentos respiratórios. Uma tira de ritmo cardíaco obtida nesse momento está ilustrada a seguir.

enunciado 505632-3

Assinale a alternativa que contém a primeira conduta a ser adotada imediatamente.

 

Provas

Questão presente nas seguintes provas
505631 Ano: 2018
Disciplina: Medicina
Banca: VUNESP
Orgão: Pref. Serrana-SP
Provas:

Leia o enunciado a seguir e responda a questão.

Mulher, 68 anos, sem antecedentes mórbidos, apresenta dor torácica ventilatório-dependente, de forte intensidade com piora à inspiração profunda e dispneia intensa. Recebeu alta há 15 dias após internação para cirurgia de correção de fratura de colo de fêmur. Exame físico: bom estado geral, taquipneica leve, afebril, PA = 120x70 mmHg, saturação periférica de oxigênio = 89% em ar ambiente, ausculta cardíaca normal e ausculta pulmonar com estertores crepitantes finos em bases. Realizados eletrocardiograma e tomografia computadorizada de tórax com contraste, ilustrados a seguir.

enunciado 505631-1

enunciado 505631-2

Considerando os achados clínicos e de exames complementares, assinale a alternativa que contém a abordagem terapêutica correta.
 

Provas

Questão presente nas seguintes provas
505630 Ano: 2018
Disciplina: Medicina
Banca: VUNESP
Orgão: Pref. Serrana-SP
Provas:

Analise as imagens a seguir, obtidas de exames de ecocardiografia.

enunciado 505630-1

O achado propedêutico mais provável de ser encontrado nesses pacientes é

 

Provas

Questão presente nas seguintes provas
505629 Ano: 2018
Disciplina: Medicina
Banca: VUNESP
Orgão: Pref. Serrana-SP
Provas:

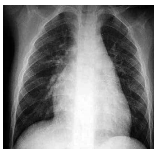
Homem, 35 anos, apresenta os seguintes achados: ventrículo direito palpável, sopro sistólico em borda esternal esquerda alta e desdobramento fixo de segunda bulha. Eletrocardiograma: bloqueio de ramo direito. A radiografia de tórax está ilustrada a seguir.

enunciado 505629-1

O diagnóstico é compatível com

 

Provas

Questão presente nas seguintes provas
505628 Ano: 2018
Disciplina: Medicina
Banca: VUNESP
Orgão: Pref. Serrana-SP
Provas:

Homem, 43 anos, é atendido em serviço de pronto-atendimento com quadro de sudorese, fraqueza, mal-estar, palidez cutâneo-mucosa, hipotensão arterial (PA = 70x50 mmHg) e palpitação. O eletrocardiograma realizado no momento de sua admissão encontra-se ilustrado a seguir.

enunciado 505628-1

Assinale a alternativa que contém a abordagem terapêutica correta.

 

Provas

Questão presente nas seguintes provas
505627 Ano: 2018
Disciplina: Medicina
Banca: VUNESP
Orgão: Pref. Serrana-SP
Provas:

Paciente do sexo masculino, 22 anos, jogador de futebol, hígido e assintomático, durante avaliação de rotina na pré-temporada, apresenta o eletrocardiograma a seguir.

enunciado 505627-1

Em relação ao diagnóstico desse paciente, assinale a alternativa correta.

 

Provas

Questão presente nas seguintes provas
505626 Ano: 2018
Disciplina: Medicina
Banca: VUNESP
Orgão: Pref. Serrana-SP
Provas:

Mulher, 44 anos, após aula de spinning em academia, percebe o coração acelerado associado à sensação desconfortável de pulsação no pescoço. Procura o pronto-atendimento, onde é realizado o eletrocardiograma que está ilustrado a seguir. O exame físico realizado na admissão da paciente revela: PA = 120x70 mmHg, SpO2 = 97% e auscultas cardíaca e pulmonar normais.

enunciado 505626-1

Assinale a alternativa que contém a primeira opção medicamentosa para a resolução do quadro descrito.

 

Provas

Questão presente nas seguintes provas