Foram encontradas 1.358 questões.
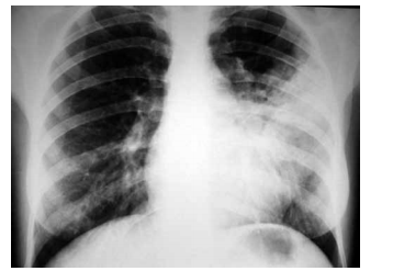
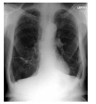
A imagem mostrada a seguir é observada em qual das seguintes doenças?

Provas

Com esses dados, é correto prescrever
Provas

O anti-hipertensivo que mais provavelmente justifica os achados é
Provas

O diagnóstico da principal hipótese pode ser feito com
Provas

Assinale a alteração ao exame físico que é mais provável de ser encontrada.
Provas

A conduta inicial recomendada é
Provas

Nesse momento, além de oxigênio, é correto prescrever:
Provas
Leia o enunciado a seguir e responda a questão.
Paciente do sexo feminino, 66 anos, com antecedentes de tabagismo, hipertensão arterial sistêmica e diabetes mellitus tipo 2, procura atendimento médico com queixa de desconforto retroesternal tipo queimação e opressão que se iniciou há 1 mês, desencadeado aos grandes esforços. Há 1 semana passou a apresentar os mesmos sintomas em repouso, associados à dispneia, com duração de até 8 minutos e melhora espontânea. A paciente faz uso de valsartana 80 mg, glimepirida 4 mg e metformina 1000 mg. O exame físico é normal, PA = 150x85 mmHg e frequência cardíaca de 96 bpm. O eletrocardiograma está ilustrado a seguir.

Provas
Leia o enunciado a seguir e responda a questão.
Paciente do sexo feminino, 66 anos, com antecedentes de tabagismo, hipertensão arterial sistêmica e diabetes mellitus tipo 2, procura atendimento médico com queixa de desconforto retroesternal tipo queimação e opressão que se iniciou há 1 mês, desencadeado aos grandes esforços. Há 1 semana passou a apresentar os mesmos sintomas em repouso, associados à dispneia, com duração de até 8 minutos e melhora espontânea. A paciente faz uso de valsartana 80 mg, glimepirida 4 mg e metformina 1000 mg. O exame físico é normal, PA = 150x85 mmHg e frequência cardíaca de 96 bpm. O eletrocardiograma está ilustrado a seguir.

Provas
Homem, 46 anos, com antecedente de infarto agudo do miocárdio, é portador de miocardiopatia isquêmica e insuficiência cardíaca. Atualmente recebe tratamento otimizado para insuficiência cardíaca, no entanto permanece em classe funcional III (NYHA). O ecocardiograma mostra diâmetro diastólico do ventrículo esquerdo = 72 mm e fração de ejeção do VE = 34%. Holter de 24 horas: extrassístoles ventriculares frequentes, quatro episódios de taquicardia ventricular não sustentada e um episódio de taquicardia ventricular sustentada com 1 minuto de duração. O eletrocardiograma está ilustrado a seguir.

Assinale a alternativa correta em relação à redução de morbimortalidade do paciente em questão.
Provas
Caderno Container