Magna Concursos

Foram encontradas 390 questões.

Quanto ao Helicobacter pylori nas doenças dispépticas, assinale a alternativa correspondente ao tratamento que faz parte da primeira linha.

 

Provas

Questão presente nas seguintes provas

Enunciado 3141089-1

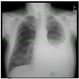
Um paciente comparece ao pronto atendimento com dispneia, tosse, dor torácica pleurítica e febre baixa, após queda na rua ocorrida há uma semana, em que houve trauma torácico. Na ocasião, foram realizados raios X de tórax.

Considerando a análise da imagem, assinale a alternativa que indica o tratamento para o alívio dos sintomas relatados no referido caso hipotético.

 

Provas

Questão presente nas seguintes provas

No adulto com vida sexual ativa, a infecção urinária é comumente causada pela bactéria

 

Provas

Questão presente nas seguintes provas

Um paciente com quadro de febre baixa, mal-estar, faringite, artralgia e perda ponderal foi à unidade básica de saúde, onde recebeu prescrição de analgesia para virose. Ele evoluiu com cefaleia e meningismo, tonturas e diminuição cognitiva. Foi, então, solicitada a avaliação do especialista que indicou a coleta de liquor cefalorraquidiano, o qual mostrou hiperproteinorraquia, pleocitose, hipoglicorraquia e presença de FTA-Abs/TPHA. Nesse caso hipotético, o diagnóstico e o tratamento são, respectivamente,

 

Provas

Questão presente nas seguintes provas
2674858 Ano: 2022
Disciplina: Direitos Humanos
Banca: IADES
Orgão: Pref. São Paulo-SP

Com base na Lei nº 10.216/2001, que dispõe acerca da proteção e dos direitos das pessoas portadoras de transtornos mentais e que redireciona o modelo assistencial em saúde mental, assinale a alternativa correta.

 

Provas

Questão presente nas seguintes provas
2675163 Ano: 2022
Disciplina: Medicina
Banca: IADES
Orgão: Pref. São Paulo-SP

Algumas doenças maternas aumentam a prevalência de cardiopatias congênitas no recém-nascido, sendo a diabetes um exemplo de doença materna que pode aumentar o risco de

Questão Anulada

Provas

Questão presente nas seguintes provas
2675068 Ano: 2022
Disciplina: Medicina
Banca: IADES
Orgão: Pref. São Paulo-SP

Uma paciente de 48 anos de idade compareceu à consulta médica queixando-se de infecção urinária há um ano. Apresentou um exame de raios X de abdome, no qual evidenciou-se um cálculo de 3 cm, com baixa densidade e com formato da pelve e cálices renais, em topografia de rim direito. A urinálise apresenta pH de 7,0 e piúria, e a urocultura cresceu Proteus mirabilis. Qual a hipótese mais provável para a composição do cálculo?

Questão Anulada

Provas

Questão presente nas seguintes provas
2675047 Ano: 2022
Disciplina: Medicina
Banca: IADES
Orgão: Pref. São Paulo-SP

A glomerulopatia pós-infecciosa, principal causa de síndrome nefrítica, costuma apresentar um caráter benigno na maioria dos casos. Assinale a alternativa que corresponde a uma indicação de biópsia renal.

Questão Anulada

Provas

Questão presente nas seguintes provas
2674894 Ano: 2022
Disciplina: Medicina
Banca: IADES
Orgão: Pref. São Paulo-SP

Quanto à hiperglicemia na gestação, assinale a alternativa correta.

Questão Anulada

Provas

Questão presente nas seguintes provas
2674885 Ano: 2022
Disciplina: Medicina
Banca: IADES
Orgão: Pref. São Paulo-SP

Um paciente de 10 meses de vida apresenta evacuações a cada três dias, fezes em cíbalos, endurecidas, com uso frequente de supositório de glicerina. Nascido a termo, teve eliminação de mecônio com 72 horas de vida e aleitamento materno até os 6 meses, com introdução alimentar apropriada e peso adequado para a idade. Em relação ao diagnóstico mais provável, assinale a alternativa correta.

Questão Anulada

Provas

Questão presente nas seguintes provas