Foram encontradas 820 questões.
Disciplina: Medicina
Banca: UNIOESTE
Orgão: Pref. Santo Antonio Platina-PR
Paciente de 70 anos, com mal-estar, desconforto precordial em queimação com irradiação para membro superior esquerdo, associado a falta de ar súbita e sudorese deu entrada em um pronto atendimento. Qual conjunto de ações deve ser executado pelo plantonista?
Provas
Disciplina: Medicina
Banca: UNIOESTE
Orgão: Pref. Santo Antonio Platina-PR
Quais são as incidências radiológicas indicadas na investigação de um quadro de abdome agudo?
Provas
Disciplina: Medicina
Banca: UNIOESTE
Orgão: Pref. Santo Antonio Platina-PR
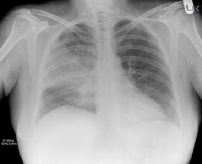
Mário, 35 anos, vai ao PS com queixa de tosse produtiva associada a febre aferida de até 40ºC com início há 3 dias. Apresenta dor torácica ventilatória dependente e é previamente hígido.
Apresentava-se com PA 120x80, FC 110, Sat 94% A/A, FR 34irpm, Glasgow 15. Ao exame pulmonar, subcrepitantes em 1/3 médio de hemitórax direito e uso de musculatura acessória. Demais achados do exame físico normais. Considerando o Rx de tórax a seguir, qual é a conduta CORRETA?

Provas
Disciplina: Medicina
Banca: UNIOESTE
Orgão: Pref. Santo Antonio Platina-PR
Maria, 47 anos, previamente hígida, tabagista, sem internamentos prévios ou uso de medicações contínuas, exceto anticoncepcional oral. Havia discutido com o namorado intensamente no dia anterior. Foi levada ao pronto-socorro por apresentar cefaleia súbita 1 hora antes, descrita como a pior cefaleia que já sentiu. Apresentava-se torporosa (Glasgow 12) com PA 170x110mmHg, FC 110, T 39ºC, Sat 98% em A/A. Apresentava rigidez de nuca ao exame neurológico e a tomografia de crânio era normal. Qual é a hipótese diagnóstica mais provável e conduta?
Provas
Disciplina: Medicina
Banca: UNIOESTE
Orgão: Pref. Santo Antonio Platina-PR
Mário, 49 anos, portador de gota há muitos anos, refere que parou o tratamento há 1 ano e apresentou crise aguda de artrite em joelho três dias após reiniciar a medicação hipourecimiante.A conduta a ser tomada é:
Provas
Disciplina: Medicina
Banca: UNIOESTE
Orgão: Pref. Santo Antonio Platina-PR
Em relação ao diagnóstico do AVC, assinale a alternativa CORRETA:
Provas
Disciplina: Medicina
Banca: UNIOESTE
Orgão: Pref. Santo Antonio Platina-PR
Quais as principais formas de acometimento patológico na neuropatia diabética?
Provas
Disciplina: Medicina
Banca: UNIOESTE
Orgão: Pref. Santo Antonio Platina-PR
Sobre a Insuficiência venosa crônica (IVC), assinale a alternativa CORRETA.
Provas
Disciplina: Medicina
Banca: UNIOESTE
Orgão: Pref. Santo Antonio Platina-PR
Dermatite genética, crônica e que se apresenta com pele seca, erupções que coçam e crostas, mais comumente nas dobras dos braços e da parte de trás dos joelhos podendo estar associada a rinite alérgica e com manifestação clínica variável. Trata-se de:
Provas
Disciplina: Medicina
Banca: UNIOESTE
Orgão: Pref. Santo Antonio Platina-PR
A causa mais frequente da DPOC no nosso meio é:
Provas
Caderno Container