Foram encontradas 195 questões.
Percloreto Férrico é um fármaco classificado como
Provas
Assinale a alternativa que apresenta o achado vinculado ao grupo C, de acordo com a Classificação TASC II – segmento femoropoplíteo.
Provas
De acordo com a classificação de Fontaine para obstrução arterial periférica, a claudicação intermitente limitante é observada no estágio
Provas
De acordo com a classificação de Rutherford para obstrução arterial periférica, a categoria 6 indica
Provas
Sobre a embolia, é correto afirmar que
Provas
Assinale a alternativa que apresenta a principal causa de trombose arterial.
Provas

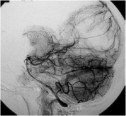
A angiotomografia digital cerebral demonstra a fase
Provas
Oclusão intensamente calcificada da Artéria Ilíaca Externa (AIE), unilateral, com ou sem envolvimento das origens da ilíaca interna e/ou artéria femoral comum é um achado, indicado pela Classificação TASC II – segmento aortoilíaco, no grupo
Provas

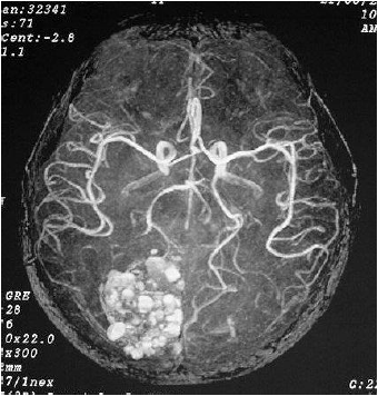
O efeito em massa apresentado demonstra compressão no corno
Provas
A angiografia pulmonar convencional costumava ser o padrão-ouro para o diagnóstico de embolia pulmonar; atualmente, foi amplamente substituída pela angiografia pulmonar por
Provas
Caderno Container