Foram encontradas 545 questões.
A cirurgia em Medicina Veterinária abrange
uma ampla variedade de espécies e portes animais,
cada uma com peculiaridades que influenciam
tanto o planejamento quanto a execução dos
procedimentos. Em grandes animais, como
bovinos e equinos, aspectos relacionados ao
manejo, contenção física e anestesia regional
determinam a escolha da técnica. Em pequenos
animais, a atenção recai sobre a assepsia rigorosa,
anestesia geral inalatória e técnicas refinadas de
hemostasia e sutura. A compreensão dessas
diferenças é fundamental para o cirurgião-veterinário, uma vez que erros na escolha da
abordagem podem resultar em complicações
graves, como hemorragias, infecções pós-operatórias ou falhas na cicatrização.
Sobre o texto acima, analise as assertivas a seguir:
I. Em laparotomia em bovinos, a abordagem mais utilizada é pelo flanco esquerdo, permitindo amplo acesso ao rúmen e facilitando procedimentos como rumenotomia.
II. Em ovariohisterectomia em cadelas, a ligadura segura do pedículo ovariano é etapa crítica para evitar hemorragias internas.
III. A castração de equinos é realizada exclusivamente em decúbito lateral sob anestesia geral, não sendo possível a realização em estação.
IV. Em ruminantes, cirurgias de campo frequentemente utilizam bloqueios anestésicos regionais, como o bloqueio em L invertido e o paravertebral proximal, garantindo analgesia adequada sem necessidade de anestesia geral.
Assinale a alternativa CORRETA:
Sobre o texto acima, analise as assertivas a seguir:
I. Em laparotomia em bovinos, a abordagem mais utilizada é pelo flanco esquerdo, permitindo amplo acesso ao rúmen e facilitando procedimentos como rumenotomia.
II. Em ovariohisterectomia em cadelas, a ligadura segura do pedículo ovariano é etapa crítica para evitar hemorragias internas.
III. A castração de equinos é realizada exclusivamente em decúbito lateral sob anestesia geral, não sendo possível a realização em estação.
IV. Em ruminantes, cirurgias de campo frequentemente utilizam bloqueios anestésicos regionais, como o bloqueio em L invertido e o paravertebral proximal, garantindo analgesia adequada sem necessidade de anestesia geral.
Assinale a alternativa CORRETA:
Provas
Questão presente nas seguintes provas
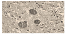
Na análise histopatológica abaixo, observam-se
cistos contendo estruturas arredondadas
compatíveis com protozoários. Esses parasitas
estão associados a zoonoses relevantes e podem
comprometer a qualidade sanitária de produtos de
origem animal.
Sobre o texto e a figura, analise as alternativas e assinale a CORRETA:
Sobre o texto e a figura, analise as alternativas e assinale a CORRETA:
Provas
Questão presente nas seguintes provas
A epidemiologia veterinária aplica métodos de
investigação científica para compreender a
distribuição das doenças nos rebanhos, identificar
fatores de risco e propor medidas de controle. O
domínio dos diferentes tipos de vigilância
epidemiológica e indicadores é fundamental para
interpretar surtos e implantar estratégias de saúde
pública veterinária.
Correlacione CORRETAMENTE os conceitos abaixo com seus respectivos termos:
1. Taxa de ataque
2. Vigilância passiva
3. Estudo de coorte
4. Vigilância ativa
( ) Sistema que depende da notificação espontânea de casos suspeitos ou confirmados, estando sujeito à subnotificação.
( ) Forma de vigilância em que autoridades sanitárias coletam dados de forma sistemática e programada, geralmente por amostragem.
( ) Proporção de indivíduos expostos que adoecem durante um surto, indicando o risco imediato associado à exposição.
( ) Método observacional em que grupos expostos e não expostos a determinado fator são acompanhados ao longo do tempo para análise da incidência de doença.
Correlacione CORRETAMENTE os conceitos abaixo com seus respectivos termos:
1. Taxa de ataque
2. Vigilância passiva
3. Estudo de coorte
4. Vigilância ativa
( ) Sistema que depende da notificação espontânea de casos suspeitos ou confirmados, estando sujeito à subnotificação.
( ) Forma de vigilância em que autoridades sanitárias coletam dados de forma sistemática e programada, geralmente por amostragem.
( ) Proporção de indivíduos expostos que adoecem durante um surto, indicando o risco imediato associado à exposição.
( ) Método observacional em que grupos expostos e não expostos a determinado fator são acompanhados ao longo do tempo para análise da incidência de doença.
Provas
Questão presente nas seguintes provas
A anestesiologia em animais domésticos
envolve a manutenção da homeostase durante o
procedimento cirúrgico, sendo essencial o
monitoramento cardiovascular e respiratório. A
hipotensão arterial é uma das complicações mais
comuns sob anestesia inalatória, exigindo
conhecimento detalhado das causas fisiológicas,
do manejo farmacológico e das medidas
corretivas.
Com base no texto, classifique as afirmativas como VERDADEIRAS (V) ou FALSAS (F):
( ) A primeira conduta frente à hipotensão anestésica é a redução da profundidade anestésica e a instituição de fluidoterapia.
( ) Vasopressores como dopamina e dobutamina podem ser utilizados quando a hipotensão persiste após medidas iniciais.
( ) A administração de vasodilatadores constitui a principal medida para elevar a pressão arterial média em quadros de hipotensão anestésica.
( ) A hipotensão sob anestesia inalatória é sempre irreversível, devendo o procedimento ser interrompido em todos os casos.
Assinale a sequência CORRETA:
Com base no texto, classifique as afirmativas como VERDADEIRAS (V) ou FALSAS (F):
( ) A primeira conduta frente à hipotensão anestésica é a redução da profundidade anestésica e a instituição de fluidoterapia.
( ) Vasopressores como dopamina e dobutamina podem ser utilizados quando a hipotensão persiste após medidas iniciais.
( ) A administração de vasodilatadores constitui a principal medida para elevar a pressão arterial média em quadros de hipotensão anestésica.
( ) A hipotensão sob anestesia inalatória é sempre irreversível, devendo o procedimento ser interrompido em todos os casos.
Assinale a sequência CORRETA:
Provas
Questão presente nas seguintes provas
A farmacologia veterinária é pilar essencial da
clínica, pois o uso inadequado de antibióticos,
antiparasitários e anti-inflamatórios pode gerar
resistência bacteriana, intoxicações e falhas
terapêuticas com impacto direto na saúde animal e
na saúde pública. O conhecimento dos
mecanismos de ação, efeitos adversos e espectro
de atividade de cada grupo farmacológico permite
o uso racional dos fármacos, respeitando-se também os períodos de carência em animais de
produção.
Analise as assertivas a seguir:
I. Os aminoglicosídeos, como a gentamicina, são antibióticos bactericidas que atuam na inibição da síntese proteica e apresentam elevado risco de nefrotoxicidade e ototoxicidade.
II. Os anti-inflamatórios não esteroidais (AINEs), como o flunixin meglumine, inibem a enzima ciclooxigenase, reduzindo a síntese de prostaglandinas, mas podem induzir úlceras gástricas e lesões renais.
III. As lactonas macrocíclicas, como a ivermectina, atuam sobre canais de cloro mediados pelo glutamato em nematoides e artrópodes, mas não são eficazes contra cestódeos e trematódeos.
IV. As penicilinas e cefalosporinas, pertencentes ao grupo dos beta-lactâmicos, possuem ação bactericida dependente do tempo, inibindo a síntese da parede celular bacteriana.
Assinale a alternativa CORRETA:
Analise as assertivas a seguir:
I. Os aminoglicosídeos, como a gentamicina, são antibióticos bactericidas que atuam na inibição da síntese proteica e apresentam elevado risco de nefrotoxicidade e ototoxicidade.
II. Os anti-inflamatórios não esteroidais (AINEs), como o flunixin meglumine, inibem a enzima ciclooxigenase, reduzindo a síntese de prostaglandinas, mas podem induzir úlceras gástricas e lesões renais.
III. As lactonas macrocíclicas, como a ivermectina, atuam sobre canais de cloro mediados pelo glutamato em nematoides e artrópodes, mas não são eficazes contra cestódeos e trematódeos.
IV. As penicilinas e cefalosporinas, pertencentes ao grupo dos beta-lactâmicos, possuem ação bactericida dependente do tempo, inibindo a síntese da parede celular bacteriana.
Assinale a alternativa CORRETA:
Provas
Questão presente nas seguintes provas
Os distúrbios nutricionais em animais de
produção afetam diretamente a eficiência
alimentar, o crescimento, a fertilidade e a
resistência imunológica. A deficiência ou excesso
de determinados minerais e vitaminas pode gerar
síndromes metabólicas complexas, que
comprometem não apenas o desempenho
zootécnico, mas também a sanidade do rebanho e
a qualidade dos produtos de origem animal.
A respeito dos distúrbios nutricionais em animais analise as alternativas e assinale a INCORRETA:
A respeito dos distúrbios nutricionais em animais analise as alternativas e assinale a INCORRETA:
Provas
Questão presente nas seguintes provas
O sistema de Análise de Perigos e Pontos
Críticos de Controle (APPCC) representa uma
metodologia reconhecida internacionalmente para
a garantia da segurança alimentar. Diferente de
abordagens corretivas, trata-se de um sistema
preventivo que atua na identificação,
monitoramento e controle de pontos críticos em
toda a cadeia produtiva, desde o recebimento da
matéria-prima até a distribuição. Sua adoção é
mandatória em frigoríficos sob inspeção federal,
constituindo requisito para comércio
internacional.
O sistema de Análise de Perigos e Pontos Críticos de Controle (APPCC), classifique como V (VERDADEIRO) ou F (FALSO):
( ) O APPCC complementa, mas não substitui, as Boas Práticas de Fabricação (BPF).
( ) O monitoramento documentado dos PCCs é requisito essencial para rastreabilidade e comprovação de conformidade.
( ) O APPCC é facultativo no Brasil, restrito a empresas exportadoras.
( ) A validação e verificação periódica asseguram a eficácia do sistema e a manutenção dos padrões exigidos.
Assinale a sequência CORRETA:
O sistema de Análise de Perigos e Pontos Críticos de Controle (APPCC), classifique como V (VERDADEIRO) ou F (FALSO):
( ) O APPCC complementa, mas não substitui, as Boas Práticas de Fabricação (BPF).
( ) O monitoramento documentado dos PCCs é requisito essencial para rastreabilidade e comprovação de conformidade.
( ) O APPCC é facultativo no Brasil, restrito a empresas exportadoras.
( ) A validação e verificação periódica asseguram a eficácia do sistema e a manutenção dos padrões exigidos.
Assinale a sequência CORRETA:
Provas
Questão presente nas seguintes provas
As doenças de notificação obrigatória
constituem instrumento essencial de vigilância
sanitária, permitindo ações rápidas de prevenção,
controle e erradicação de enfermidades com
impacto na saúde pública e no comércio
internacional.
Sobre as doenças de notificação obrigatória, analise as alternativas e assinale a INCORRETA:
Sobre as doenças de notificação obrigatória, analise as alternativas e assinale a INCORRETA:
Provas
Questão presente nas seguintes provas
O Médico Veterinário atuante em uma fazenda
de corte e de leite, está sofrendo com redução de
ganho de peso, gases abdominais e episódios de
timpanismo na manhã em bovinos adultos. Os
sintomas sugerem distúrbio funcional nos
compartimentos ruminais.
Considerando as funções anatômicas, histológicas e fisiológicas dos compartimentos estomacais (rúmen, retículo, omaso e abomaso), analise as afirmações:
I. O rúmen-retículo atua como câmara de fermentação primária, com intensa atividade microbiana capaz de converter fibras em ácidos graxos voláteis, sendo responsável por cerca de 84% do volume estomacal em bovinos adultos.
II. O omaso participa intensamente na absorção de água, minerais e ácidos graxos voláteis, especialmente em conteúdos alimentares semidigeridos, antes da passagem ao abomaso.
III. O abomaso funciona como “estômago verdadeiro”, produzindo suco gástrico rico em ácido clorídrico, pepsinogênio e enzimas, e tem capacidade de quebrar microrganismos oriundos da fermentação microbiana do rúmen.
IV. A omasotomia é uma abertura cirúrgica natural entre rúmen e omaso, fisiológica, que facilita drenagem de gases e resíduos fermentados durante distúrbios de motilidade.
Assinale a alternativa CORRETA:
Considerando as funções anatômicas, histológicas e fisiológicas dos compartimentos estomacais (rúmen, retículo, omaso e abomaso), analise as afirmações:
I. O rúmen-retículo atua como câmara de fermentação primária, com intensa atividade microbiana capaz de converter fibras em ácidos graxos voláteis, sendo responsável por cerca de 84% do volume estomacal em bovinos adultos.
II. O omaso participa intensamente na absorção de água, minerais e ácidos graxos voláteis, especialmente em conteúdos alimentares semidigeridos, antes da passagem ao abomaso.
III. O abomaso funciona como “estômago verdadeiro”, produzindo suco gástrico rico em ácido clorídrico, pepsinogênio e enzimas, e tem capacidade de quebrar microrganismos oriundos da fermentação microbiana do rúmen.
IV. A omasotomia é uma abertura cirúrgica natural entre rúmen e omaso, fisiológica, que facilita drenagem de gases e resíduos fermentados durante distúrbios de motilidade.
Assinale a alternativa CORRETA:
Provas
Questão presente nas seguintes provas
Uma criança de 4 anos, acompanhada em
puericultura na Unidade de Saúde da Família,
chega para consulta com histórico de episódios
recorrentes de tosse seca noturna, chiado no peito
desencadeado por esforço físico e exposição à
poeira doméstica. A mãe relata que os sintomas
desaparecem completamente entre as crises, a
criança nunca apresentou febre ou sinais de
infecção respiratória grave e mantém bom ganho
ponderoestatural. No exame físico, no momento da
consulta, está assintomática, com ausculta
pulmonar normal e saturação periférica de O₂ de
98%.
Com base no caso descrito, o diagnóstico CORRETO mais provável é:
Com base no caso descrito, o diagnóstico CORRETO mais provável é:
Provas
Questão presente nas seguintes provas
Cadernos
Caderno Container