Foram encontradas 1.422 questões.
Representa o estreitamento da aorta, mais comumente no
nível da aorta torácica proximal. O quadro clínico é
marcado por redução dos pulsos em membros inferiores,
pulsos amplos e níveis pressóricos elevados em membros
superiores, sopro sistólico e hiperfonese de B2 em focos
aórtico e mitral:
Provas
Questão presente nas seguintes provas
A tetralogia de Fallot é marcada por estenose pulmonar,
comunicação interventricular, dextroposição ou
cavalgamento da aorta e hipertrofia do ventrículo
esquerdo. A obstrução na via de saída do ventrículo
esquerdo e direito gera aumento da pressão durante a
sístole, shunt direita-esquerda entre os ventrículos e
presença de hipofluxo pulmonar e hipoxemia severa.
Neste caso, a afirmativa acima está incorreta porque:
Neste caso, a afirmativa acima está incorreta porque:
Provas
Questão presente nas seguintes provas
A tetralogia de Fallot consiste em 4 anomalias, uma delas
refere-se à:
Provas
Questão presente nas seguintes provas
Principais manifestações clínicas das cardiopatias
congênitas:
Provas
Questão presente nas seguintes provas
A cardiomiopatia hipertrófica congênita é quase sempre
causada por um defeito genético. O defeito pode ser:
I- Mutação genética espontânea. II- Defeito genético hereditário. III- Transmissão doença de chagas.
I- Mutação genética espontânea. II- Defeito genético hereditário. III- Transmissão doença de chagas.
Provas
Questão presente nas seguintes provas
Sobre a cardiomiopatia de Takotsubo NÃO é correto
afirmar que:
Provas
Questão presente nas seguintes provas
A cardiomiopatia arritmogênica do ventrículo direito
(CAVD) é uma doença cardíaca genética que afeta
principalmente o ventrículo direito, causando
taquiarritmias ventriculares e risco aumentado de morte
súbita. Os sintomas incluem:
I. Dor abdominal intensa. II. Palpitações. III. Síncope. IV. Parada cardíaca. V. Hemorragia interna. VI. Vômitos persistentes.
Estão corretas as afirmativas:
I. Dor abdominal intensa. II. Palpitações. III. Síncope. IV. Parada cardíaca. V. Hemorragia interna. VI. Vômitos persistentes.
Estão corretas as afirmativas:
Provas
Questão presente nas seguintes provas
Os valores de TAPSE de =1.9cm (nl>1,6cm) onda S 13(nl>
10), indicam:
Provas
Questão presente nas seguintes provas
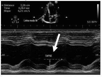
Observe a imagem abaixo:

A seta na imagem indica TAPSE que consiste:
Provas
Questão presente nas seguintes provas
A ecocardiografia bidimensional (2D) tem sido um dos
métodos mais utilizados para a avaliação anatômica e
funcional do ventrículo direito, mas apresenta o
inconveniente de não poder estimar os volumes para o
cálculo da fração de ejeção devido às características
geométricas da cavidade. Assim, o cálculo da fração de
ejeção pode ser realizado por:
Provas
Questão presente nas seguintes provas
Cadernos
Caderno Container