Foram encontradas 625 questões.
Qual é o neurotransmissor que tem sido associado ao Transtorno de Déficit de Atenção e Hiperatividade (TDAH)?
Provas
Paciente do sexo feminino, 51 anos, antecedente de migrânea em uso de topiramato regularmente há 2 anos. Há dois meses iniciou dor facial à direita, intensa, súbita e com irradiação para a região temporal e mandibular ipisilateral. Estes episódios duravam alguns minutos, ocorriam várias vezes ao dia e impediam a realização de atividades de vida diária. Frequência semanal. Exame físico geral e neurológico normais.
A respeito do quadro clínico apresentado, assinale a alternativa correta.
Provas
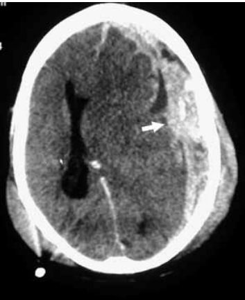
Analise a imagem tomográfica.

(https://www.google.com/ url?sa=i&url=https%3A%2F%2Fpt.wikipedia.org%2Fwiki%)
O diagnóstico correto é:
Provas
Assinale a alternativa correta sobre os distúrbios do sono.
Provas
A alternativa correta referente aos itens fundamentais a serem avaliados no exame físico de um paciente em coma é:
Provas
Assinale a alternativa que contempla, corretamente, um efeito colateral comum dos fármacos antiepiléticos.
Provas
Homem de 27 anos, tabagista, queixa-se de cefaleia caracterizada por dor intensa, unilateral, principalmente ao redor do olho e da região temporal direita, com duração de 3 minutos a 1 hora, associada a hiperemia no olho ipsilateral e rinorreia. O quadro se repete periodicamente. Refere já ter feito tomografia de crânio, que foi normal. Assinale a alternativa que contempla, corretamente, a causa mais comum que desencadeia esse tipo de cefaleia apresentada por esse paciente.
Provas
Assinale a alternativa que apresenta o tipo mais comum de tumor intracerebral e intraparenquimatoso primário em adultos.
Provas
A respeito do envolvimento do sistema nervoso na criptococose, assinale a alternativa correta.
Provas
Sobre os meningiomas intraraquianos, é correto afirmar:
Provas
Caderno Container