Foram encontradas 740 questões.
Em relação à fisiopatologia do traumatismo cranioencefálico em crianças, assinale a alternativa correta.
Provas
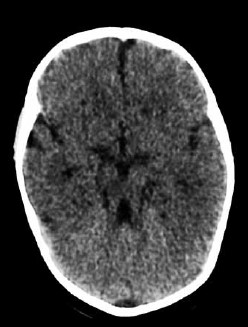
Paciente com atraso global do desenvolvimento, ataxia e apraxia oculomotora apresenta o achado de imagem a seguir.

O diagnóstico é
Provas
Qual das características a seguir sugere que uma cefaleia na infância seja primária?
Provas
Paciente do sexo feminino, 13 anos, com cefaleia com características de enxaqueca há 3 anos, com piora no último ano. Atualmente, tem cerca de 3 crises por semana. Já está em tratamento não farmacológico otimizado. Tem antecedente de asma e sobrepeso. Qual dos fármacos a seguir é a melhor opção para seu tratamento profilático?
Provas
Entre os tumores da fossa posterior na criança, é correto afirmar:
Provas
Paciente de 12 anos, sexo masculino, com diagnóstico de neurofibromatose tipo 1, apresenta neurofibroma plexiforme em raízes e plexo lombossacral e dor crônica secundária a ele. Não há sinais de malignidade. Entre as possibilidades terapêuticas, assinale a alternativa correta.
Provas
Paciente do sexo feminino, 12 anos, iniciou perda visual progressiva aos 7 anos. Há dois anos, apresenta também dificuldade motora fina e instabilidade para deambular, bem como crises epilépticas. Seus genitores são primos de segundo grau. Ao exame observa-se ataxia global, palidez de retina e nervo óptico bilateralmente e não tem percepção luminosa. A principal hipótese diagnóstica é
Provas
Paciente do sexo masculino, 3 anos, iniciou aos 12 meses com crises epilépticas. Inicialmente eram crises febris prolongadas e, após o segundo aniversário, passou a ter crises também sem febre e os eventos se tornaram muito frequentes, com crises mioclônicas e ausências atípicas, muitas vezes desencadeadas por calor. Nesse período, foi observada também regressão do desenvolvimento neurológico. A ressonância de crânio é normal e o eletroencefalograma mostra desorganização da atividade de base e atividade epileptiforme multifocal. Esse fenótipo é geralmente relacionado ao gene
Provas
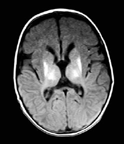
Paciente de dois meses, nascido a termo e com história de anóxia perinatal, realizou a ressonância magnética de crânio mostrada a seguir (imagem ponderada em T1).

As estruturas que comumente são afetadas nessa condição e apresentam hipersinal no exame do paciente são:
Provas
Em relação aos marcos do desenvolvimento neurológico esperados para uma criança de 12 meses, é correto afirmar:
Provas
Caderno Container