Foram encontradas 740 questões.
No exame físico a presença de clônus indica
Provas
Em relação à pesquisa de bandas oligoclonais no diagnóstico da esclerose múltipla na população pediátrica, assinale a alternativa correta.
Provas
Paciente de 11 meses deixou de apresentar ganhos motores desde os 8 meses (à época já conseguia sentar). Ao exame apresenta hipotonia, fraqueza muscular global de predomínio proximal, arreflexia e atrofia com fasciculações de língua. Em relação à principal hipótese diagnóstica, é correto afirmar:
Provas
Em relação à neurofibromatose tipo 1, assinale a alternativa correta.
Provas
Paciente do sexo masculino, 9 anos, com febre e cefaleia há 10 dias. No dia da admissão no hospital evoluiu com diplopia e sonolência. Ao exame apresenta papiledema e paralisia da abdução do olho esquerdo. A tomografia de crânio com contraste evidenciou hidrocefalia leve e realce leptomeníngeo cisternal. O líquor tem o seguinte resultado: 55 células (70% monócitos, 20% neutrófilos e 10% monócitos), proteína 350 mg/dl e glicose 22 (glicemia no momento da coleta era de 74).
O provável agente etiológico é
Provas
Paciente com diplopia após traumatismo cranioencefálico leve. Ao exame, apresenta inclinação da cabeça para a esquerda e discreta hipertropia do olho direito, que piora com a inclinação da cabeça para a direita. O diagnóstico é
Provas
Paciente de 11 anos apresenta quadro agudo de perda visual e dor à movimentação em olho direito. Tem antecedente de mielite longitudinalmente extensa há 1 ano. Ao exame, apresenta acuidade visual 20/400, defeito pupilar aferente e edema de papila, todos à direita. Assinale a alternativa que apresenta o anticorpo mais comumente associado a essa condição.
Provas
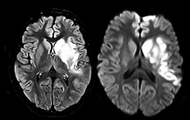
Paciente do sexo feminino, 9 anos, apresentou quadro súbito de dificuldade de fala e fraqueza à direita há 1 dia. Ao exame, apresenta afasia de expressão e hemiparesia à direita. Realizou a ressonância de crânio mostrada a seguir.

O diagnóstico é
Provas
Paciente do sexo masculino, 9 anos, com diagnóstico de transtorno déficit de atenção e hiperatividade (TDAH). Após o tratamento farmacológico, psicoterapia e reforço escolar, houve melhora dos sintomas do TDAH, mas mantém dificuldade importante para leitura e escrita (está na fase pré-silábica). Não tem dificuldades para atividades de vida diária. Sobre esse paciente, podemos afirmar:
Provas
Na investigação etiológica de um paciente com deficiência intelectual, é correto afirmar:
Provas
Caderno Container