Foram encontradas 165 questões.
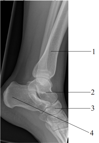
Em relação à anatomia radiográfica do tornozelo, marque a alternativa que corresponda aos pontos indicados na radiografia em perfil
do tornozelo.
Figura 01 -Imagem do tornozelo em perfil
Fonte: NETO et al.(2022, p.67) / Francisco Abaeté Neto; Leonardo M. Lustosa; João Erivan Façanha Barreto. Atlas radiográfico ilustrado: ossos e articulações [recurso eletrônico]. Fortaleza: Editora Caminhar, 2022. Pag. 67.
Figura 01 -Imagem do tornozelo em perfil
Fonte: NETO et al.(2022, p.67) / Francisco Abaeté Neto; Leonardo M. Lustosa; João Erivan Façanha Barreto. Atlas radiográfico ilustrado: ossos e articulações [recurso eletrônico]. Fortaleza: Editora Caminhar, 2022. Pag. 67.
Provas
Questão presente nas seguintes provas
Em relação à proteção radiográfica, julgue as proposições a seguir:
I- Redução da área radiografada por meio de colimadores; proteção plúmbica para gônadas, tireoide e cristalino e redução da exposição (dose de irradiação) são meios de proteção radiológica que visam a evitar efeitos deletérios da radiação.
II- Os dosímetros podem ser usados em vários serviços radiológicos, necessitando apenas de trocas semestrais, e devem ser colocados em qualquer parte do corpo durante o expediente de trabalho.
III- O monitor individual de radiação (dosímetro) é utilizado para medir a quantidade de radiação (cumulativa) que um indivíduo recebe durante um determinado período de tempo.
É CORRETO o que se afirma em:
I- Redução da área radiografada por meio de colimadores; proteção plúmbica para gônadas, tireoide e cristalino e redução da exposição (dose de irradiação) são meios de proteção radiológica que visam a evitar efeitos deletérios da radiação.
II- Os dosímetros podem ser usados em vários serviços radiológicos, necessitando apenas de trocas semestrais, e devem ser colocados em qualquer parte do corpo durante o expediente de trabalho.
III- O monitor individual de radiação (dosímetro) é utilizado para medir a quantidade de radiação (cumulativa) que um indivíduo recebe durante um determinado período de tempo.
É CORRETO o que se afirma em:
Provas
Questão presente nas seguintes provas
Em relação aos conceitos e classificação dos efeitos biológicos da radiação, julgue as proposições a seguir:
I- Os efeitos estocásticos normalmente estão associados a exposições a níveis baixos de radiação durante longo período de tempo.
II- Os efeitos somáticos surgem de danos nas células do corpo e aparecem apenas na pessoa submetida à irradiação, não havendo interferência nas gerações futuras.
III- Os efeitos determinísticos estão associados a níveis de exposição à radiação mais elevados a moderados, quando comparados ao efeito estocástico, porém em períodos de tempo intermediário e curto.
IV- A esterilidade masculina e feminina é um exemplo de efeito estocástico.
V- Os efeitos classificados como agudos ou tardios e crônicos ou imediatos dependem diretamente da dose e da duração da exposição da radiação, porém independem do grau de exposição.
É CORRETO o que se afirma apenas em:
I- Os efeitos estocásticos normalmente estão associados a exposições a níveis baixos de radiação durante longo período de tempo.
II- Os efeitos somáticos surgem de danos nas células do corpo e aparecem apenas na pessoa submetida à irradiação, não havendo interferência nas gerações futuras.
III- Os efeitos determinísticos estão associados a níveis de exposição à radiação mais elevados a moderados, quando comparados ao efeito estocástico, porém em períodos de tempo intermediário e curto.
IV- A esterilidade masculina e feminina é um exemplo de efeito estocástico.
V- Os efeitos classificados como agudos ou tardios e crônicos ou imediatos dependem diretamente da dose e da duração da exposição da radiação, porém independem do grau de exposição.
É CORRETO o que se afirma apenas em:
Provas
Questão presente nas seguintes provas
Em relação à radiação e seus efeitos biológicos, julgue as proposições a seguir:
I- Os glóbulos vermelhos, linfócitos, óvulos e espermatozoides são exemplos de células de alta radiossensibilidade.
II- A radiossensibilidade celular é variável. Quanto mais jovens as células e quanto mais não diferenciadas, mais sensíveis à radiação elas são.
III- São exemplos de células mais radioresistentes, as células nervosas e as células musculares.
É CORRETO o que se afirma em:
I- Os glóbulos vermelhos, linfócitos, óvulos e espermatozoides são exemplos de células de alta radiossensibilidade.
II- A radiossensibilidade celular é variável. Quanto mais jovens as células e quanto mais não diferenciadas, mais sensíveis à radiação elas são.
III- São exemplos de células mais radioresistentes, as células nervosas e as células musculares.
É CORRETO o que se afirma em:
Provas
Questão presente nas seguintes provas
A Síndrome da Fragilidade é comum em que fase do ciclo da vida?
Provas
Questão presente nas seguintes provas
Marque a alternativa que descreve atribuições do Agente Comunitário de Saúde.
Provas
Questão presente nas seguintes provas
Considerando a Saúde nos Ciclos de Vida, o ACS tem importante atuação na infância. Sobre este assunto, leia as afirmativas a seguir:
I- Para fins da Política Nacional de Atenção Integral à Saúde da Criança (PNAISC) no âmbito do Sistema Único de Saúde (SUS), considera-se criança a pessoa na faixa etária de 0 (zero) a 9 (nove) anos.
II- O ACS precisa realizar visita domiciliar ao binômio mãe e RN no contexto da família, ainda na primeira semana de vida da criança, para orientação de todos sobre o cuidado de ambos, bem como para ofertar as ações programadas para a primeira semana de saúde na APS.
III- O Ministério da Saúde recomenda consultas mensais no primeiro ano e anuais no segundo ano de vida das crianças.
É CORRETO o que se afirma em:
I- Para fins da Política Nacional de Atenção Integral à Saúde da Criança (PNAISC) no âmbito do Sistema Único de Saúde (SUS), considera-se criança a pessoa na faixa etária de 0 (zero) a 9 (nove) anos.
II- O ACS precisa realizar visita domiciliar ao binômio mãe e RN no contexto da família, ainda na primeira semana de vida da criança, para orientação de todos sobre o cuidado de ambos, bem como para ofertar as ações programadas para a primeira semana de saúde na APS.
III- O Ministério da Saúde recomenda consultas mensais no primeiro ano e anuais no segundo ano de vida das crianças.
É CORRETO o que se afirma em:
Provas
Questão presente nas seguintes provas
Sobre Sistemas de Informação em Saúde, marque a alternativa CORRETA.
Provas
Questão presente nas seguintes provas
Destacam-se como importantes ações no processo de avaliação de risco e vulnerabilidade na Atenção Básica: o Acolhimento com
Classificação de Risco e a Estratificação de Risco. Neste sentido, leia com atenção as afirmativas a seguir:
I- Considera-se acolhimento com classificação de risco a escuta qualificada e comprometida com a avaliação do potencial de risco, agravo à saúde e grau de sofrimento dos usuários, considerando dimensões de expressão (física, psíquica, social, dentre outras) e gravidade, que possibilita priorizar os atendimentos a eventos agudos (condições agudas e agudizações de condições crônicas) conforme a necessidade, a partir de critérios clínicos e de vulnerabilidade disponíveis em diretrizes e protocolos assistenciais definidos no SUS.
II- A estratificação de risco é o processo pelo qual se utilizam critérios clínicos, sociais, econômicos, familiares e outros, com base em diretrizes clínicas, para identificar subgrupos de acordo com a complexidade da condição crônica de saúde, com o objetivo de diferenciar o cuidado clínico e os fluxos que cada usuário deve seguir na Rede de Atenção à Saúde para um cuidado integral.
III- O processo de trabalho das equipes não precisa estar organizado para atendimentos de urgência/emergência, visto que estes casos devem ser encaminhados às Unidades de Pronto Atendimento (UPAS) ou Hospitais de referência com o auxílio do Serviço de Atendimento Móvel de Urgência (SAMU).
É CORRETO o que se afirma em:
I- Considera-se acolhimento com classificação de risco a escuta qualificada e comprometida com a avaliação do potencial de risco, agravo à saúde e grau de sofrimento dos usuários, considerando dimensões de expressão (física, psíquica, social, dentre outras) e gravidade, que possibilita priorizar os atendimentos a eventos agudos (condições agudas e agudizações de condições crônicas) conforme a necessidade, a partir de critérios clínicos e de vulnerabilidade disponíveis em diretrizes e protocolos assistenciais definidos no SUS.
II- A estratificação de risco é o processo pelo qual se utilizam critérios clínicos, sociais, econômicos, familiares e outros, com base em diretrizes clínicas, para identificar subgrupos de acordo com a complexidade da condição crônica de saúde, com o objetivo de diferenciar o cuidado clínico e os fluxos que cada usuário deve seguir na Rede de Atenção à Saúde para um cuidado integral.
III- O processo de trabalho das equipes não precisa estar organizado para atendimentos de urgência/emergência, visto que estes casos devem ser encaminhados às Unidades de Pronto Atendimento (UPAS) ou Hospitais de referência com o auxílio do Serviço de Atendimento Móvel de Urgência (SAMU).
É CORRETO o que se afirma em:
Provas
Questão presente nas seguintes provas
Sobre o mapeamento de área de atuação da equipe de Saúde da Família, é CORRETO o que se afirma em:
Provas
Questão presente nas seguintes provas
Cadernos
Caderno Container